Skip to main content

ERK1 Antibody (1E5)

Novus Biologicals, part of Bio-Techne | Catalog # NBP2-22203

Novus Biologicals, part of Bio-Techne
Catalog #
Availability
Size / Price
Qty
Loading...
NBP2-22203-0.025ml
NBP2-22203

Key Product Details

Species Reactivity

Human, Mouse, Rat, Monkey

Applications

Immunohistochemistry, Immunohistochemistry-Paraffin, Western Blot, ELISA, Flow Cytometry, Immunocytochemistry/ Immunofluorescence

Label

Unconjugated

Antibody Source

Monoclonal Mouse IgG1 Clone # 1E5

Concentration

This product is unpurified. The exact concentration of antibody is not quantifiable.

Product Specifications

Immunogen

Purified recombinant fragment of human ERK1 expressed in E. Coli.

Reactivity Notes

Please note that this antibody is reactive to Mouse and derived from the same host, Mouse. Additional Mouse on Mouse blocking steps may be required for IHC and ICC experiments. Please contact Technical Support for more information.

Localization

Cytoplasm

Clonality

Monoclonal

Host

Mouse

Isotype

IgG1

Theoretical MW

44 kDa.
Disclaimer note: The observed molecular weight of the protein may vary from the listed predicted molecular weight due to post translational modifications, post translation cleavages, relative charges, and other experimental factors.

Description

Novus Biologicals Mouse ERK1 Antibody (1E5) (NBP2-22203) is a monoclonal antibody validated for use in IHC, WB, ELISA, Flow and ICC/IF. Anti-ERK1 Antibody: Cited in 1 publication. All Novus Biologicals antibodies are covered by our 100% guarantee.

Scientific Data Images for ERK1 Antibody (1E5)

Western Blot: ERK1 Antibody (1E5)BSA Free [NBP2-22203]

Western Blot: ERK1 Antibody (1E5)BSA Free [NBP2-22203]

Western Blot: ERK1 Antibody (1E5) [NBP2-22203] - Western blot analysis of whole cell lysates from (1) MCF7 (2) NIH3T3 cell lines using ERK1 antibody (clone 1E5) at 1:1000 dilution. The signal was developed using HRP labeled goat-anti Mouse secondary antibody with ECL based detection.
Immunocytochemistry/ Immunofluorescence: ERK1 Antibody (1E5) - BSA Free [NBP2-22203]

Immunocytochemistry/ Immunofluorescence: ERK1 Antibody (1E5) - BSA Free [NBP2-22203]

Immunocytochemistry/Immunofluorescence: ERK1 Antibody (1E5) [NBP2-22203] - Analysis of NIH/3T3 cells using ERK1 mouse mAb (green). Blue: DRAQ5 fluorescent DNA dye. Red: Actin filaments have been labeled with Alexa Fluor-555 phalloidin.
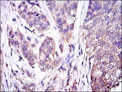
Immunohistochemistry-Paraffin: ERK1 Antibody (1E5) - BSA Free [NBP2-22203]

Immunohistochemistry-Paraffin: ERK1 Antibody (1E5) - BSA Free [NBP2-22203]

Immunohistochemistry-Paraffin: ERK1 Antibody (1E5) [NBP2-22203] - Immunohistochemical analysis of paraffin-embedded breast cancer tissues using ERK1 mouse mAb with DAB staining.

Applications for ERK1 Antibody (1E5)

Application
Recommended Usage

ELISA

1:10000

Flow Cytometry

1:200-1:400

Immunocytochemistry/ Immunofluorescence

1:200-1:1000

Immunohistochemistry

1:10-1:500

Immunohistochemistry-Paraffin

1:200-1:1000

Western Blot

1:500-1:2000

Formulation, Preparation, and Storage

Purification

Unpurified

Formulation

Ascites

Preservative

0.03% Sodium Azide

Concentration

This product is unpurified. The exact concentration of antibody is not quantifiable.

Shipping

The product is shipped with polar packs. Upon receipt, store it immediately at the temperature recommended below.

Stability & Storage

Store at 4C short term. Aliquot and store at -20C long term. Avoid freeze-thaw cycles.

Background: ERK1

The protein encoded by this gene is a member of the MAP kinase family. MAP kinases, also known as extracellular signal-regulated kinases (ERKs), act in a signaling cascade that regulates various cellular processes such as proliferation, differentiation, and cell cycle progression in response to a variety of extracellular signals. This kinase is activated by upstream kinases, resulting in its translocation to the nucleus where it phosphorylates nuclear targets. Alternatively spliced transcript variants encoding different protein isoforms have been described.

Long Name

Extracellular Signal-regulated Kinase 1

Alternate Names

MAPK3, P44ERK1, p44mapk, PRKM3

Gene Symbol

MAPK3

Additional ERK1 Products

Product Documents for ERK1 Antibody (1E5)

Certificate of Analysis

To download a Certificate of Analysis, please enter a lot number in the search box below.

Product Specific Notices for ERK1 Antibody (1E5)

This product is for research use only and is not approved for use in humans or in clinical diagnosis. Primary Antibodies are guaranteed for 1 year from date of receipt.

Loading...
Loading...
Loading...
Loading...
Loading...