Skip to main content

ErbB4/Her4 Antibody (5G6B4) - BSA Free

Novus Biologicals, part of Bio-Techne | Catalog # NBP2-52462

Novus Biologicals, part of Bio-Techne
Catalog #
Availability
Size / Price
Qty
Loading...
NBP2-52462
NBP2-52462-0.025mg

Key Product Details

Species Reactivity

Human

Applications

CyTOF-ready, ELISA, Flow Cytometry, Immunohistochemistry, Immunohistochemistry-Paraffin, Western Blot

Label

Unconjugated

Antibody Source

Monoclonal Mouse IgG1 Clone # 5G6B4

Format

BSA Free

Concentration

1 mg/ml

Product Specifications

Immunogen

Purified recombinant fragment of human ErbB4/Her4 (AA: 1159-1308) expressed in E. Coli.

Clonality

Monoclonal

Host

Mouse

Isotype

IgG1

Theoretical MW

146.8 kDa.
Disclaimer note: The observed molecular weight of the protein may vary from the listed predicted molecular weight due to post translational modifications, post translation cleavages, relative charges, and other experimental factors.

Description

Novus Biologicals Mouse ErbB4/Her4 Antibody (5G6B4) - BSA Free (NBP2-52462) is a monoclonal antibody validated for use in IHC, WB, ELISA and Flow. All Novus Biologicals antibodies are covered by our 100% guarantee.

Scientific Data Images for ErbB4/Her4 Antibody (5G6B4) - BSA Free

Western Blot: ErbB4/Her4 Antibody (5G6B4)BSA Free [NBP2-52462]

Western Blot: ErbB4/Her4 Antibody (5G6B4)BSA Free [NBP2-52462]

Western Blot: ErbB4/Her4 Antibody (5G6B4) [NBP2-52462] - Analysis using ErbB4/Her4 mAb against human ERBB4 (AA: 1159-1308) recombinant protein. (Expected MW is 43.3 kDa).
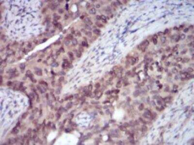
Immunohistochemistry-Paraffin: ErbB4/Her4 Antibody (5G6B4) - BSA Free [NBP2-52462]

Immunohistochemistry-Paraffin: ErbB4/Her4 Antibody (5G6B4) - BSA Free [NBP2-52462]

Immunohistochemistry-Paraffin: ErbB4/Her4 Antibody (5G6B4) [NBP2-52462] - Analysis of paraffin-embedded cervical cancer tissues using ERBB4 mouse mAb with DAB staining.
Flow Cytometry: ErbB4/Her4 Antibody (5G6B4) - BSA Free [NBP2-52462]

Flow Cytometry: ErbB4/Her4 Antibody (5G6B4) - BSA Free [NBP2-52462]

Flow Cytometry: ErbB4/Her4 Antibody (5G6B4) [NBP2-52462] - Analysis of Hela cells using ERBB4 mouse mAb (green) and negative control (red).

Applications for ErbB4/Her4 Antibody (5G6B4) - BSA Free

Application
Recommended Usage

ELISA

1:10000

Flow Cytometry

1:200-1:400

Immunohistochemistry

1:200-1:1000

Immunohistochemistry-Paraffin

1:200-1:1000

Western Blot

1:500-1:2000
Application Notes
This antibody is Cytof ready.

Formulation, Preparation, and Storage

Purification

Protein G purified

Formulation

PBS

Format

BSA Free

Preservative

0.05% Sodium Azide

Concentration

1 mg/ml

Shipping

The product is shipped with polar packs. Upon receipt, store it immediately at the temperature recommended below.

Stability & Storage

Store at 4C short term. Aliquot and store at -20C long term. Avoid freeze-thaw cycles.

Background: ErbB4/Her4

erbB4/HER4 is a receptor tyrosine kinase that belongs to the human epidermal growth factor receptor (EGFR) family. erbB4/HER4 is most predominantly expressed in several breast carcinoma cell lines, and in normal skeletal muscle, heart, pituitary, brain, and cerebellum (1). erbB4/HER4 is activated by neuregulins (NRG), betacellulin (BTC), and heparin-binding EGF-like growth factor (2). Neuregulins regulate the expression of ligand- and voltage-gated channels in neurons and skeletal muscle by the activation of ErbB 1-4. The erbB4/HER4 receptor is unique among these receptors because its C-terminal tail binds to a protein motif known as the PDZ domain (3).

Long Name

Receptor Tyrosine Protein Kinase ErbB4

Alternate Names

HER4

Gene Symbol

ERBB4

Additional ErbB4/Her4 Products

Product Documents for ErbB4/Her4 Antibody (5G6B4) - BSA Free

Certificate of Analysis

To download a Certificate of Analysis, please enter a lot number in the search box below.

Product Specific Notices for ErbB4/Her4 Antibody (5G6B4) - BSA Free

This product is for research use only and is not approved for use in humans or in clinical diagnosis. Primary Antibodies are guaranteed for 1 year from date of receipt.

Loading...
Loading...
Loading...
Loading...
Loading...