ER alpha/NR3A1 Antibody - BSA Free
Novus Biologicals, part of Bio-Techne | Catalog # NBP1-84827
Key Product Details
Validated by
Knockout/Knockdown, Orthogonal Validation, Independent Antibodies
Species Reactivity
Validated:
Human
Cited:
Human
Applications
Validated:
Immunohistochemistry, Immunohistochemistry-Paraffin, Western Blot, Immunocytochemistry/ Immunofluorescence, Knockdown Validated
Cited:
Western Blot
Label
Unconjugated
Antibody Source
Polyclonal Rabbit IgG
Format
BSA Free
Concentration
Concentrations vary lot to lot. See vial label for concentration. If unlisted please contact technical services.
Product Specifications
Immunogen
This antibody was developed against Recombinant Protein corresponding to amino acids: FGSNGLGGFPPLNSVSPSPLMLLHPPPQLSPFLQPHGQQVPYYLENEPSGYTVREAGPPAFYRPNSDNRRQGGRERLASTNDKGSMAMESAKETRYCAVCNDYASGYHYGVWSCEGCKAFFKRSIQGHNDYMCPATNQCTID
Reactivity Notes
Immunogen displays the following percentage of sequence identity for non-tested species: Mouse (88%), Rat (87%).
Clonality
Polyclonal
Host
Rabbit
Isotype
IgG
Description
Novus Biologicals Rabbit ER alpha/NR3A1 Antibody - BSA Free (NBP1-84827) is a polyclonal antibody validated for use in IHC, WB and ICC/IF. Anti-ER alpha/NR3A1 Antibody: Cited in 3 publications. All Novus Biologicals antibodies are covered by our 100% guarantee.
Scientific Data Images for ER alpha/NR3A1 Antibody - BSA Free
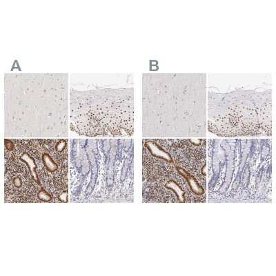
Immunohistochemistry-Paraffin: ER alpha/NR3A1 Antibody [NBP1-84827]
Immunohistochemistry-Paraffin: ER alpha/NR3A1 Antibody [NBP1-84827] - Staining of human cerebral cortex, cervix, uterine, endometrium and gastrointestinal using Anti-ER alpha/NR3A1 antibody NBP1-84827 (A) shows similar protein distribution across tissues to independent antibody NBP1-84826 (B).Immunocytochemistry/ Immunofluorescence: ER alpha/NR3A1 Antibody [NBP1-84827]
Immunocytochemistry/Immunofluorescence: ER alpha/NR3A1 Antibody [NBP1-84827] - Staining of human cell line MCF7 shows localization to nucleus & vesicles. Antibody staining is shown in green.Applications for ER alpha/NR3A1 Antibody - BSA Free
Application
Recommended Usage
Immunocytochemistry/ Immunofluorescence
0.25-2 ug/ml
Immunohistochemistry
1:20 - 1:50
Immunohistochemistry-Paraffin
1:20 - 1:50
Western Blot
0.04-0.4 ug/ml
Application Notes
For IHC-Paraffin, HIER pH 6 retrieval is recommended. ICC/IF Fixation Permeabilization: Use PFA/Triton X-100.
Formulation, Preparation, and Storage
Purification
Immunogen affinity purified
Formulation
PBS (pH 7.2) and 40% Glycerol
Format
BSA Free
Preservative
0.02% Sodium Azide
Concentration
Concentrations vary lot to lot. See vial label for concentration. If unlisted please contact technical services.
Shipping
The product is shipped with polar packs. Upon receipt, store it immediately at the temperature recommended below.
Stability & Storage
Store at 4C short term. Aliquot and store at -20C long term. Avoid freeze-thaw cycles.
Background: ER alpha/NR3A1
Long Name
Estrogen Receptor alpha
Alternate Names
ESR1, NR3A1
Gene Symbol
ESR1
Additional ER alpha/NR3A1 Products
Product Documents for ER alpha/NR3A1 Antibody - BSA Free
Product Specific Notices for ER alpha/NR3A1 Antibody - BSA Free
This product is for research use only and is not approved for use in humans or in clinical diagnosis. Primary Antibodies are guaranteed for 1 year from date of receipt.
Loading...
Loading...
Loading...
Loading...