Skip to main content

ER alpha/NR3A1 Antibody

Novus Biologicals, part of Bio-Techne | Catalog # NB100-81909

Novus Biologicals, part of Bio-Techne
Catalog #
Availability
Size / Price
Qty
Loading...
NB100-81909
NB100-81909-0.025ml

Key Product Details

Species Reactivity

Human, Mouse, Rat

Applications

Immunohistochemistry, Immunohistochemistry-Paraffin, Western Blot, Immunocytochemistry/ Immunofluorescence, Simple Western

Label

Unconjugated

Antibody Source

Polyclonal Rabbit IgG

Concentration

1.0 mg/ml

Product Specifications

Immunogen

The antiserum was produced against synthesized peptide derived from human ER alpha/NR3A1.

Specificity

Detects endogenous levels of total ER alpha/NR3A1 protein.

Clonality

Polyclonal

Host

Rabbit

Isotype

IgG

Theoretical MW

66 kDa.
Disclaimer note: The observed molecular weight of the protein may vary from the listed predicted molecular weight due to post translational modifications, post translation cleavages, relative charges, and other experimental factors.

Scientific Data Images for ER alpha/NR3A1 Antibody

Western Blot: ER alpha/NR3A1 Antibody [NB100-81909]

Western Blot: ER alpha/NR3A1 Antibody [NB100-81909]

Western Blot: ER alpha/NR3A1 Antibody [NB100-81909] - Western blot analysis of extracts from MCF7 cells using NB100-81909 and the same antibody preincubated with blocking peptide.
Immunocytochemistry/ Immunofluorescence: ER alpha/NR3A1 Antibody [NB100-81909]

Immunocytochemistry/ Immunofluorescence: ER alpha/NR3A1 Antibody [NB100-81909]

Immunocytochemistry/Immunofluorescence: ER alpha/NR3A1 Antibody [NB100-81909] - ICC/IF showing estrogen receptor alpha (green) in human cervical stromal cells. Nuclei are stained with DAPI (blue). Antibody at 1:200 in 3% BSA. ICC/IF image submitted by a verified customer review.

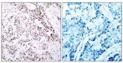
Immunohistochemistry-Paraffin: ER alpha/NR3A1 Antibody [NB100-81909] -

Immunohistochemistry-Paraffin: ER alpha/NR3A1 Antibody [NB100-81909] - Analysis of paraffin-embedded human breast carcinoma tissue using NB100-81909 (left) or the same antibody preincubated with blocking peptide(right).

Applications for ER alpha/NR3A1 Antibody

Application
Recommended Usage

Immunocytochemistry/ Immunofluorescence

1:200-1:1000

Immunohistochemistry

1:100-1:300

Immunohistochemistry-Paraffin

1:50 - 1:100

Simple Western

1:10

Western Blot

1:500-1:2000
Application Notes
This ER alpha/NR3A1 Antibody is validated for ICC/IF from a verified customer review.
See Simple Western Antibody Database for Simple Western validation: Tested in Mouse Adipose Tissue, separated by Size, antibody dilution of 1:10, apparent MW was 65 kDa

Reviewed Applications

Read 5 reviews rated 2.4 using NB100-81909 in the following applications:

Formulation, Preparation, and Storage

Purification

Immunogen affinity purified

Formulation

PBS, 50% glycerol, 0.5% BSA

Preservative

0.02% Sodium Azide

Concentration

1.0 mg/ml

Shipping

The product is shipped with polar packs. Upon receipt, store it immediately at the temperature recommended below.

Stability & Storage

Store at 4C short term. Aliquot and store at -20C long term. Avoid freeze-thaw cycles.

Background: ER alpha/NR3A1

Estrogen Receptor alpha is a 65 kDa protein and a member of the steroid family of nuclear receptors. Estrogen Receptor alpha is a ligand-activated transcription factor that, when bound to estrogen, induces a conformational change that allows dimerization and binding to estrogen response element sequences. When bound to DNA, Estrogen Receptor alpha can positively or negatively regulate gene transcription. Like other steroid hormone receptors, Estrogen Receptors are intracellular proteins. Estrogen Receptors play an important role in regulating mammary gland growth and differentiation. Breast tumors that are ER positive may also show a more favorable response to anti-estrogen therapies

Long Name

Estrogen Receptor alpha

Alternate Names

ESR1, NR3A1

Entrez Gene IDs

2099 (Human); 13982 (Mouse)

Gene Symbol

ESR1

UniProt

Additional ER alpha/NR3A1 Products

Product Documents for ER alpha/NR3A1 Antibody

Certificate of Analysis

To download a Certificate of Analysis, please enter a lot number in the search box below.

Product Specific Notices for ER alpha/NR3A1 Antibody

This product is for research use only and is not approved for use in humans or in clinical diagnosis. Primary Antibodies are guaranteed for 1 year from date of receipt.

Loading...
Loading...
Loading...
Loading...