Skip to main content

ER alpha/NR3A1 Antibody (CL1196) - Azide and BSA Free

Novus Biologicals, part of Bio-Techne | Catalog # NBP3-43926

Novus Biologicals, part of Bio-Techne

Key Product Details

Validated by

Knockout/Knockdown

Species Reactivity

Human

Applications

Immunohistochemistry-Paraffin, Western Blot, Immunocytochemistry/ Immunofluorescence

Label

Unconjugated

Antibody Source

Monoclonal Mouse IgG1 Clone # CL1196

Format

Azide and BSA Free

Concentration

LYOPH mg/ml

Product Specifications

Immunogen

This antibody was generated using a recombinant protein sequence of P03372, with the exact immunogen sequence remaining proprietary.

Clonality

Monoclonal

Host

Mouse

Isotype

IgG1

Description

Novus Biologicals Mouse ER alpha/NR3A1 Antibody (CL1196) - Azide and BSA Free (NBP2-34478) is a monoclonal antibody validated for use in IHC, WB and ICC/IF. All Novus Biologicals antibodies are covered by our 100% guarantee.

Scientific Data Images for ER alpha/NR3A1 Antibody (CL1196) - Azide and BSA Free

ER alpha/NR3A1 Antibody (CL1196) - Azide and BSA Free Western Blot: ER alpha/NR3A1 Antibody [NBP3-43926]

Western Blot: ER alpha/NR3A1 Antibody [NBP3-43926]

Lane 1: Marker [kDa]
Lane 2: Human cell line MCF-7
Lane 3: Human cell line SK-BR-3
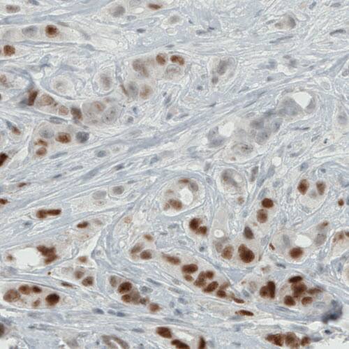
ER alpha/NR3A1 Antibody (CL1196) - Azide and BSA Free Immunohistochemistry-Paraffin: ER alpha/NR3A1 Antibody [NBP3-43926]

Immunohistochemistry-Paraffin: ER alpha/NR3A1 Antibody [NBP3-43926]

Staining of human breast cancer shows moderate to strong nuclear positivity in a subset of tumor cells.
ER alpha/NR3A1 Antibody (CL1196) - Azide and BSA Free Immunohistochemistry-Paraffin: ER alpha/NR3A1 Antibody [NBP3-43926]

Immunohistochemistry-Paraffin: ER alpha/NR3A1 Antibody [NBP3-43926]

Staining of human fallopian tube shows strong immunoreactivity in epithelial cells.

Applications for ER alpha/NR3A1 Antibody (CL1196) - Azide and BSA Free

Application
Recommended Usage

Immunocytochemistry/ Immunofluorescence

2-10 ug/ml

Immunohistochemistry-Paraffin

1:1000 - 1:2500

Western Blot

1 ug/ml
Application Notes
For IHC-Paraffin, HIER pH 6 retrieval is recommended. For Immunocytochemistry/ Immunofluorescence/IF, PFA/Triton X-100 is recommended for fixation/permeabilization.

Formulation, Preparation, and Storage

Purification

Protein A purified

Reconstitution

Centrifuge the vial of lyophilized antibody at 12,000 x g for 20 seconds. Reconstitute by adding sterile, distilled water to achieve a final antibody concentration of 1mg/ml.

Formulation

Lyophilized from a 0.2 um filtered solution in PBS with Trehalose

Format

Azide and BSA Free

Preservative

No Preservative

Concentration

LYOPH mg/ml

Shipping

The product is shipped at ambient temperature. Upon receipt, store it immediately at the temperature recommended below.

Stability & Storage

Store at 4C short term. Aliquot and store at -20C long term. Avoid freeze-thaw cycles.

Background: ER alpha/NR3A1

Estrogen receptor alpha (ER alpha) is a nuclear protein and member of the steroid hormone receptor family. ER alpha possesses both DNA binding and ligand binding domains, and exerts a significant role in activating the transcription of certain genes (1). Ligand-dependent dimerization and phosphorylation on serines, 104, 106, and 118 function to regulate the transcriptional activation of ER alpha (2). The phosphorylation of the human estrogen receptor (ER) serine residue at position 118 is required for full activity of the ER activation function 1 (AF-1) (3).

Long Name

Estrogen Receptor alpha

Alternate Names

ESR1, NR3A1

Gene Symbol

ESR1

Additional ER alpha/NR3A1 Products

Product Documents for ER alpha/NR3A1 Antibody (CL1196) - Azide and BSA Free

Certificate of Analysis

To download a Certificate of Analysis, please enter a lot number in the search box below.

Product Specific Notices for ER alpha/NR3A1 Antibody (CL1196) - Azide and BSA Free

This product is for research use only and is not approved for use in humans or in clinical diagnosis. Primary Antibodies are guaranteed for 1 year from date of receipt.

Loading...
Loading...
Loading...
Loading...
Loading...