Skip to main content

Endoglin/CD105 Antibody (3A9) - BSA Free

Novus Biologicals, part of Bio-Techne | Catalog # NBP2-22122

Novus Biologicals, part of Bio-Techne
Catalog #
Availability
Size / Price
Qty
Loading...
NBP2-22122SS
NBP2-22122

Key Product Details

Species Reactivity

Validated:

Human, Mouse

Cited:

Human, Mouse

Applications

Validated:

Immunohistochemistry, Immunohistochemistry-Paraffin, Western Blot, ELISA, Immunocytochemistry/ Immunofluorescence

Cited:

Immunohistochemistry, Immunohistochemistry-Paraffin, Western Blot, Immunocytochemistry/ Immunofluorescence

Label

Unconjugated

Antibody Source

Monoclonal Mouse IgG1 Clone # 3A9

Format

BSA Free

Concentration

1.0 mg/ml

Product Specifications

Immunogen

Purified recombinant fragment of human CD105 expressed in E. coli.

Reactivity Notes

Mouse reactivity reported in scientific literature (PMID: 27322553).

Marker

Neo-endothelial Cells Marker

Clonality

Monoclonal

Host

Mouse

Isotype

IgG1

Theoretical MW

71 kDa.
Disclaimer note: The observed molecular weight of the protein may vary from the listed predicted molecular weight due to post translational modifications, post translation cleavages, relative charges, and other experimental factors.

Description

Novus Biologicals Mouse Endoglin/CD105 Antibody (3A9) - BSA Free (NBP2-22122) is a monoclonal antibody validated for use in IHC, WB, ELISA and ICC/IF. Anti-Endoglin/CD105 Antibody: Cited in 7 publications. All Novus Biologicals antibodies are covered by our 100% guarantee.

Scientific Data Images for Endoglin/CD105 Antibody (3A9) - BSA Free

Western Blot: Endoglin/CD105 Antibody (3A9)BSA Free [NBP2-22122]

Western Blot: Endoglin/CD105 Antibody (3A9)BSA Free [NBP2-22122]

Western Blot: Endoglin/CD105 Antibody (3A9) [NBP2-22122] - Whole cell protein from HUVEC was separated on a 7.5% gel polyacrylamide gel and transferred to PVDF membrane. The membrane was probed with anti-CD105 antibody at 2 ug/ml and detected with an anti-mouse HRP labeled secondary antibody using chemiluminescence.
Immunocytochemistry/ Immunofluorescence: Endoglin/CD105 Antibody (3A9) - BSA Free [NBP2-22122]

Immunocytochemistry/ Immunofluorescence: Endoglin/CD105 Antibody (3A9) - BSA Free [NBP2-22122]

Immunocytochemistry/Immunofluorescence: Endoglin/CD105 Antibody (3A9) [NBP2-22122] - Human endometrial stromal cells stained with Endoglin/CD105 antibody. Image from verified customer review.
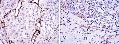
Immunohistochemistry-Paraffin: Endoglin/CD105 Antibody (3A9) - BSA Free [NBP2-22122]

Immunohistochemistry-Paraffin: Endoglin/CD105 Antibody (3A9) - BSA Free [NBP2-22122]

Immunohistochemistry-Paraffin: Endoglin/CD105 Antibody (3A9) [NBP2-22122] - Immunohistochemical staining of endoglin (CD105) in B16F10 murine melanoma tumor model. IHC-P image submitted by a verifed customer review.

Applications for Endoglin/CD105 Antibody (3A9) - BSA Free

Application
Recommended Usage

ELISA

1:10000

Immunocytochemistry/ Immunofluorescence

1:200-1:1000. Use reported by customer review

Immunohistochemistry-Paraffin

1:200-1:1000

Western Blot

1:500-1:2000

Reviewed Applications

Read 3 reviews rated 5 using NBP2-22122 in the following applications:

Formulation, Preparation, and Storage

Purification

Ammonium sulfate precipitation

Formulation

PBS

Format

BSA Free

Preservative

0.03% Sodium Azide

Concentration

1.0 mg/ml

Shipping

The product is shipped with polar packs. Upon receipt, store it immediately at the temperature recommended below.

Stability & Storage

Store at 4C short term. Aliquot and store at -20C long term. Avoid freeze-thaw cycles.

Background: Endoglin/CD105

This gene encodes a homodimeric transmembrane protein which is a major glycoprotein of the vascular endothelium. This protein is a component of the transforming growth factor beta receptor complex and it binds TGFB1 and TGFB3 with high affinity. Mutations in this gene cause hereditary hemorrhagic telangiectasia, also known as Osler-Rendu-Weber syndrome 1, an autosomal dominant multisystemic vascular dysplasia.

Alternate Names

CD105, ENG

Gene Symbol

ENG

UniProt

Additional Endoglin/CD105 Products

Product Documents for Endoglin/CD105 Antibody (3A9) - BSA Free

Certificate of Analysis

To download a Certificate of Analysis, please enter a lot number in the search box below.

Product Specific Notices for Endoglin/CD105 Antibody (3A9) - BSA Free

This product is for research use only and is not approved for use in humans or in clinical diagnosis. Primary Antibodies are guaranteed for 1 year from date of receipt.

Loading...
Loading...
Loading...
Loading...
Loading...