Skip to main content

Endo G Antibody (OTI5F1) - Azide and BSA Free

Novus Biologicals, part of Bio-Techne | Catalog # NBP2-70645

Novus Biologicals, part of Bio-Techne

Key Product Details

Species Reactivity

Human, Mouse, Rat

Applications

Immunohistochemistry, Immunohistochemistry-Paraffin, Western Blot, Flow Cytometry, Immunocytochemistry/ Immunofluorescence, CyTOF-ready

Label

Unconjugated

Antibody Source

Monoclonal Mouse IgG1 Clone # OTI5F1

Format

Azide and BSA Free

Concentration

LYOPH mg/ml

Product Specifications

Immunogen

Full length human recombinant protein of human ENDOG(NP_004426) produced in HEK293T cell.

Reactivity Notes

Please note that this antibody is reactive to Mouse and derived from the same host, Mouse. Mouse-On-Mouse blocking reagent may be needed for IHC and ICC experiments to reduce high background signal. You can find these reagents under catalog numbers PK-2200-NB and MP-2400-NB. Please contact Technical Support if you have any questions.

Clonality

Monoclonal

Host

Mouse

Isotype

IgG1

Theoretical MW

27.7 kDa.
Disclaimer note: The observed molecular weight of the protein may vary from the listed predicted molecular weight due to post translational modifications, post translation cleavages, relative charges, and other experimental factors.

Description

Novus Biologicals Mouse Endo G Antibody (OTI5F1) - Azide and BSA Free (NBP2-01696) is a monoclonal antibody validated for use in IHC, WB, Flow and ICC/IF. All Novus Biologicals antibodies are covered by our 100% guarantee.

Scientific Data Images for Endo G Antibody (OTI5F1) - Azide and BSA Free

Western Blot: Endo G Antibody (OTI5F1)Azide and BSA Free [NBP2-70645]

Western Blot: Endo G Antibody (OTI5F1)Azide and BSA Free [NBP2-70645]

Western Blot: Endo G Antibody (OTI5F1) - Azide and BSA Free [NBP2-70645] - HEK293T cells were transfected with the pCMV6-ENTRY control (Left lane) or pCMV6-ENTRY Endo G (Right lane) cDNA for 48 hrs and lysed. Equivalent amounts of cell lysates (5 ug per lane) were separated by SDS-PAGE and immunoblotted with anti-Endo G.
Immunocytochemistry/ Immunofluorescence: Endo G Antibody (OTI5F1) - Azide and BSA Free [NBP2-70645]

Immunocytochemistry/ Immunofluorescence: Endo G Antibody (OTI5F1) - Azide and BSA Free [NBP2-70645]

Immunocytochemistry/Immunofluorescence: Endo G Antibody (OTI5F1) - Azide and BSA Free [NBP2-70645] - Staining of COS7 cells transiently transfected by pCMV6-ENTRY Endo G.
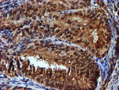
Immunohistochemistry: Endo G Antibody (OTI5F1) - Azide and BSA Free [NBP2-70645]

Immunohistochemistry: Endo G Antibody (OTI5F1) - Azide and BSA Free [NBP2-70645]

Immunohistochemistry: Endo G Antibody (OTI5F1) - Azide and BSA Free [NBP2-70645] - Staining of paraffin-embedded Human pancreas tissue using anti-Endo G mouse monoclonal antibody.

Applications for Endo G Antibody (OTI5F1) - Azide and BSA Free

Application
Recommended Usage

Flow Cytometry

1:100

Immunocytochemistry/ Immunofluorescence

1:100

Immunohistochemistry

1:150

Western Blot

1:500-2000

Formulation, Preparation, and Storage

Purification

Immunogen affinity purified

Reconstitution

we recommend adding 100uL distilled water to a final antibody concentration of about 1 mg/mL. To use this carrier-free antibody for conjugation experiment, we strongly recommend performing another round of desalting process.

Formulation

Lyophilized from PBS (pH 7.3) with 8% Trehalose

Format

Azide and BSA Free

Preservative

No Preservative

Concentration

LYOPH mg/ml

Shipping

The product is shipped with polar packs. Upon receipt, store it immediately at the temperature recommended below.

Stability & Storage

Store at -20C. Avoid freeze-thaw cycles.

Background: Endo G

The fragmentation of nuclear DNA is a hallmark of apoptotic cell death. The activities of caspase and nuclease are involved in the DNA fragmentation. Caspase-activated deoxyribonuclease (CAD), also termed DNA fragmentation factor (DFF40), is one such nuclease, and is capable of inducing DNA fragmentation and chromatin condensation after cleavage by caspase-3 of its inhibitor ICAD/DFF45. Caspase and CAD independent DNA fragmentation also exists. Recent studies demonstrated that another nuclease, endonuclease G (endoG), is specifically activated by apoptotic stimuli and is able to induce nucleosomal fragmentation of DNA independently of caspase and DFF/CAD (1,2). EndoG is a mitochondrion-specific nuclease that translocates to the nucleus and cleaves chromatin DNA during apoptosis. The homologue of mammalian EndoG is the first mitochondrial protein identified to be involved in apoptosis in C. elegans (2). EndooG also cleaves DNA in vitro (4).

Alternate Names

EC 3.1.30.-, Endo G, endonuclease G, endonuclease G, mitochondrial, FLJ27463, mitochondrial endonuclease G

Gene Symbol

ENDOG

Additional Endo G Products

Product Documents for Endo G Antibody (OTI5F1) - Azide and BSA Free

Certificate of Analysis

To download a Certificate of Analysis, please enter a lot number in the search box below.

Product Specific Notices for Endo G Antibody (OTI5F1) - Azide and BSA Free

This product is for research use only and is not approved for use in humans or in clinical diagnosis. Primary Antibodies are guaranteed for 1 year from date of receipt.

Loading...
Loading...
Loading...
Loading...
Loading...
Loading...