Skip to main content

EN-RAGE/S100A12 Antibody (S100A12/8952R)

Novus Biologicals, part of Bio-Techne | Catalog # NBP3-48973

Recombinant Monoclonal Antibody
Novus Biologicals, part of Bio-Techne
Catalog #
Availability
Size / Price
Qty
Loading...
NBP3-48973-100ug
NBP3-48973-20ug

Key Product Details

Species Reactivity

Human

Applications

Immunohistochemistry

Label

Unconjugated

Antibody Source

Recombinant Monoclonal Rabbit IgG Kappa Clone # S100A12/8952R expressed in CHO

Concentration

Please see the vial label for concentration. If unlisted please contact technical services.

Product Specifications

Immunogen

Recombinant fragment (around aa1-95) of human S100A12 protein (exact sequence is proprietary) (Uniprot: P80511)

Localization

Secreted

Clonality

Monoclonal

Host

Rabbit

Isotype

IgG Kappa

Theoretical MW

11 kDa.
Disclaimer note: The observed molecular weight of the protein may vary from the listed predicted molecular weight due to post translational modifications, post translation cleavages, relative charges, and other experimental factors.

Description

Prepared in 10mM PBS with 0.05% BSA & 0.05% azide. Also available WITHOUT BSA & azide at 1.0mg/ml.

Antibody with azide - store at 2 to 8 C. Antibody without azide - store at -20 to -80 C. Antibody is stable for 24 months. Non-hazardous. No MSDS required.

Scientific Data Images for EN-RAGE/S100A12 Antibody (S100A12/8952R)

EN-RAGE/S100A12 Antibody (S100A12/8952R)

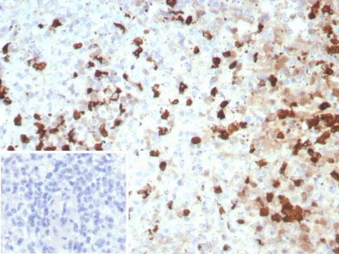
Immunohistochemistry-Paraffin: EN-RAGE/S100A12 Antibody (S100A12/8952R) [NBP3-48973] -

Formalin-fixed, paraffin-embedded human spleen stained with EN-RAGE/S100A12 Antibody (S100A12/8952R). Inset: PBS instead of primary antibody; secondary only negative control.

Applications for EN-RAGE/S100A12 Antibody (S100A12/8952R)

Application
Recommended Usage

Immunohistochemistry

Optimal dilutions of this antibody should be experimentally determined.

Formulation, Preparation, and Storage

Purification

Protein A or G purified

Formulation

10 mM PBS with 0.05% BSA

Preservative

0.05% Sodium Azide

Concentration

Please see the vial label for concentration. If unlisted please contact technical services.

Shipping

The product is shipped with polar packs. Upon receipt, store it immediately at the temperature recommended below.

Stability & Storage

Store at 4C.

Background: EN-RAGE/S100A12

S100A12 is a member of the S100 family of proteins containing 2 EF-hand calcium-binding motifs. S100 proteins are localized in the cytoplasm and/or nucleus of a wide range of cells, and involved in the regulation of a number of cellular processes such as cell cycle progression and differentiation. S100A12 is proposed to be involved in specific calcium-dependent signal transduction pathways and its regulatory effect on cytoskeletal components may modulate various neutrophil activities. S100A12 is also a ligand for RAGE. Interaction with RAGE on mononuclear phagocytes, lymphocytes and endothelium triggers cellular activation. Nuclear factor kappa B--a key transcription factor for inflammatory events--is activated by S100A12/RAGE. S100A12 has also been shown to have anti-microbial properties.

Long Name

Extracellular Newly Identified RAGE-binding Protein

Alternate Names

CAAF1, CAAFI, CAGC, CAGCS100, Calgranulin C, ENRAGE, MRP6, S100A12

Gene Symbol

S100A12

Additional EN-RAGE/S100A12 Products

Product Documents for EN-RAGE/S100A12 Antibody (S100A12/8952R)

Certificate of Analysis

To download a Certificate of Analysis, please enter a lot number in the search box below.

Product Specific Notices for EN-RAGE/S100A12 Antibody (S100A12/8952R)

This product is for research use only and is not approved for use in humans or in clinical diagnosis. Primary Antibodies are guaranteed for 1 year from date of receipt.

Loading...
Loading...
Loading...
Loading...