Skip to main content

EMMPRIN/CD147 Antibody - BSA Free

Novus Biologicals, part of Bio-Techne | Catalog # NBP2-34025

Novus Biologicals, part of Bio-Techne
Catalog #
Availability
Size / Price
Qty
Loading...
NBP2-34025
NBP2-34025-25ul

Key Product Details

Validated by

Orthogonal Validation

Species Reactivity

Human

Applications

Immunohistochemistry, Immunohistochemistry-Paraffin, Western Blot, Simple Western

Label

Unconjugated

Antibody Source

Polyclonal Rabbit IgG

Format

BSA Free

Concentration

Concentrations vary lot to lot. See vial label for concentration. If unlisted please contact technical services.

Product Specifications

Immunogen

This antibody was developed against a recombinant protein corresponding to amino acids: DLGSKILLTCSLNDSATEVTGHRWLKGGVVLKEDALPGQKTEFKVDSDDQWGEYSCVFLPEPMGTANIQLHGPPRVKAVKSSEHINEGETAMLVCKSESVPPVTDWAWYKITDSEDKALMNGSESRFFVSSSQGRSELHIEN

Clonality

Polyclonal

Host

Rabbit

Isotype

IgG

Description

Novus Biologicals Rabbit EMMPRIN/CD147 Antibody - BSA Free (NBP2-34025) is a polyclonal antibody validated for use in IHC, WB and Simple Western. All Novus Biologicals antibodies are covered by our 100% guarantee.

Scientific Data Images for EMMPRIN/CD147 Antibody - BSA Free

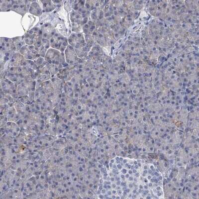
Immunohistochemistry-Paraffin: EMMPRIN/CD147 Antibody [NBP2-34025]

Immunohistochemistry-Paraffin: EMMPRIN/CD147 Antibody [NBP2-34025]

Immunohistochemistry-Paraffin: EMMPRIN/CD147 Antibody [NBP2-34025] - Staining in human heart muscle and pancreas tissues using anti-BSG antibody. Corresponding BSG RNA-seq data are presented for the same tissues.
Western Blot: EMMPRIN/CD147 Antibody [NBP2-34025]

Western Blot: EMMPRIN/CD147 Antibody [NBP2-34025]

Western Blot: EMMPRIN/CD147 Antibody [NBP2-34025] - Analysis in human cell line U-2 OS.
Immunohistochemistry-Paraffin: EMMPRIN/CD147 Antibody [NBP2-34025]

Immunohistochemistry-Paraffin: EMMPRIN/CD147 Antibody [NBP2-34025]

Immunohistochemistry-Paraffin: EMMPRIN/CD147 Antibody [NBP2-34025] - Staining of human heart muscle shows high expression.

Applications for EMMPRIN/CD147 Antibody - BSA Free

Application
Recommended Usage

Immunohistochemistry

1:2500 - 1:5000

Immunohistochemistry-Paraffin

1:2500 - 1:5000

Western Blot

1:100 - 1:250
Application Notes
For IHC-Paraffin, HIER pH 6 retrieval is recommended. Simple Western Separated by size; matrix was 12-230 kDa; detected by Chemiluminescence.
See Simple Western Antibody Database for Simple Western validation: separated by Size

Formulation, Preparation, and Storage

Purification

Affinity purified

Formulation

PBS (pH 7.2) and 40% Glycerol

Format

BSA Free

Preservative

0.02% Sodium Azide

Concentration

Concentrations vary lot to lot. See vial label for concentration. If unlisted please contact technical services.

Shipping

The product is shipped with polar packs. Upon receipt, store it immediately at the temperature recommended below.

Stability & Storage

Store at 4C short term. Aliquot and store at -20C long term. Avoid freeze-thaw cycles.

Background: EMMPRIN/CD147

CD147 plays a pivotal role in spermatogenesis, embryo implantation, neural network formation and tumor progression. It stimulates adjacent fibroblasts to produce matrix metalloproteinases (MMPS). CD147 may target monocarboxylate transporters SLC16A1, SLC16A3 and SLC16A8 to plasma membranes of retinal pigment epithelium and neural retina. CD147 also seems to be a receptor for oligomannosidic glycans. In vitro, it promotes outgrowth of astrocytic processes. CD147 forms homooligomers in a cis-dependent manner on the plasma membrane. It forms a complex with MMP1 at the tumor cell surface. CD147 interacts with SLC16A1 and SLC1A3; probably a BSG dimer is associated with a monocarboxylate transporter dimer. CD147 also interacts with ATP1B2, MAG and L1CAM.

Long Name

Extracellular Matrix Metalloproteinase Inducer

Alternate Names

Basigin, BSG, CD147

Gene Symbol

BSG

Additional EMMPRIN/CD147 Products

Product Documents for EMMPRIN/CD147 Antibody - BSA Free

Certificate of Analysis

To download a Certificate of Analysis, please enter a lot number in the search box below.

Product Specific Notices for EMMPRIN/CD147 Antibody - BSA Free

This product is for research use only and is not approved for use in humans or in clinical diagnosis. Primary Antibodies are guaranteed for 1 year from date of receipt.

Loading...
Loading...
Loading...
Loading...