Skip to main content

ELOVL1 Antibody - BSA Free

Novus Biologicals, part of Bio-Techne | Catalog # NBP2-37956

Novus Biologicals, part of Bio-Techne
Catalog #
Availability
Size / Price
Qty
Loading...
NBP2-37956
NBP2-37956-25ul

Key Product Details

Validated by

Orthogonal Validation

Species Reactivity

Human

Applications

Immunocytochemistry/ Immunofluorescence, Immunohistochemistry, Immunohistochemistry-Paraffin

Label

Unconjugated

Antibody Source

Polyclonal Rabbit IgG

Format

BSA Free

Concentration

Concentrations vary lot to lot. See vial label for concentration. If unlisted please contact technical services.

Product Specifications

Immunogen

This antibody was developed against a recombinant protein corresponding to amino acids: FWYHSYTKGKRLPRALQQNGAPGIAKVK

Reactivity Notes

Immunogen displays the following percentage of sequence identity for non-tested species: Mouse (86%), Rat (82%)

Clonality

Polyclonal

Host

Rabbit

Isotype

IgG

Description

Novus Biologicals Rabbit ELOVL1 Antibody - BSA Free (NBP2-37956) is a polyclonal antibody validated for use in IHC and ICC/IF. All Novus Biologicals antibodies are covered by our 100% guarantee.

Scientific Data Images for ELOVL1 Antibody - BSA Free

Immunocytochemistry/ Immunofluorescence: ELOVL1 Antibody [NBP2-37956]

Immunocytochemistry/ Immunofluorescence: ELOVL1 Antibody [NBP2-37956]

Immunocytochemistry/Immunofluorescence: ELOVL1 Antibody [NBP2-37956] - Staining of human cell line U-2 OS shows localization to endoplasmic reticulum. Antibody staining is shown in green.
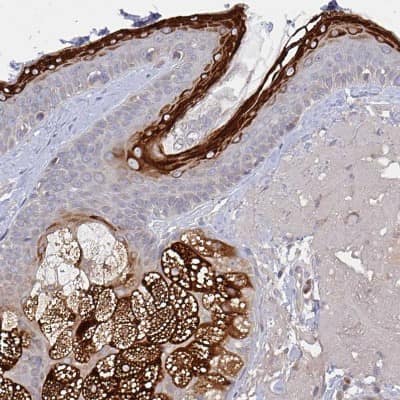
Immunohistochemistry-Paraffin: ELOVL1 Antibody [NBP2-37956]

Immunohistochemistry-Paraffin: ELOVL1 Antibody [NBP2-37956]

Immunohistochemistry-Paraffin: ELOVL1 Antibody [NBP2-37956] - Staining in human skin and skeletal muscle tissues . Corresponding ELOVL1 RNA-seq data are presented for the same tissues.
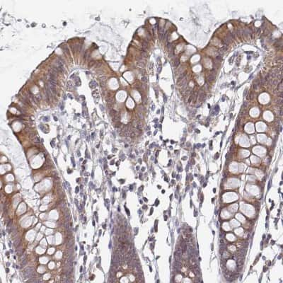
Immunohistochemistry-Paraffin: ELOVL1 Antibody [NBP2-37956]

Immunohistochemistry-Paraffin: ELOVL1 Antibody [NBP2-37956]

Immunohistochemistry-Paraffin: ELOVL1 Antibody [NBP2-37956] - Staining of human colon shows moderate cytoplasmic positivity in glandular cells.

Applications for ELOVL1 Antibody - BSA Free

Application
Recommended Usage

Immunocytochemistry/ Immunofluorescence

0.25-2 ug/ml

Immunohistochemistry

1:50 - 1:200

Immunohistochemistry-Paraffin

1:50 - 1:200
Application Notes
For IHC-Paraffin, HIER pH 6 retrieval is recommended. ICC/IF Fixation Permeabilization: Use PFA/Triton X-100.

Formulation, Preparation, and Storage

Purification

Immunogen affinity purified

Formulation

PBS (pH 7.2) and 40% Glycerol

Format

BSA Free

Preservative

0.02% Sodium Azide

Concentration

Concentrations vary lot to lot. See vial label for concentration. If unlisted please contact technical services.

Shipping

The product is shipped with polar packs. Upon receipt, store it immediately at the temperature recommended below.

Stability & Storage

Store at 4C short term. Aliquot and store at -20C long term. Avoid freeze-thaw cycles.

Background: ELOVL1

Elongation of very long chain fatty acid-like (ELOVL) proteins 1-6 are members of the ELO family of proteins, which play an important role in tissue-specific biosynthesis of very long chain fatty acids and sphingolipids. The ELOVL proteins act as catalysts in fatty acid elongation reduction and localize to the endoplasmic reticulum (ER). Elongation of very long chain fatty acids protein 1 (ELOVL1), also referred to as Ssc1, is the human homolog of the yeast ELO3 protein. It is expressed in a variety of tissues and at especially high levels in stomach, skin, intestine, kidney and lung. ELOVL1 participates in the elongation of very long chain saturated and monounsaturated fatty acids of up to 26 carbons and may be required for the development of a barrier in epithelial cells and skin. ELOVL1 is also important for the formation of Myelin in the central nervous system. Impaired ELOVL1 activity may be associated with disorders of sphingolipid metabolism.

Alternate Names

EC 2.3.1.n8, elongation of very long chain fatty acids (FEN1/Elo2, SUR4/Elo3, yeast)-like 1, elongation of very long chain fatty acids protein 1, SSC1, Ssc1,3-keto acyl-CoA synthase ELOVL1

Gene Symbol

ELOVL1

UniProt

Additional ELOVL1 Products

Product Documents for ELOVL1 Antibody - BSA Free

Certificate of Analysis

To download a Certificate of Analysis, please enter a lot number in the search box below.

Product Specific Notices for ELOVL1 Antibody - BSA Free

This product is for research use only and is not approved for use in humans or in clinical diagnosis. Primary Antibodies are guaranteed for 1 year from date of receipt.

Loading...
Loading...
Loading...
Loading...