Skip to main content

ELMSAN1 Antibody - BSA Free

Novus Biologicals, part of Bio-Techne | Catalog # NBP1-88407

Novus Biologicals, part of Bio-Techne
Catalog #
Availability
Size / Price
Qty
Loading...
NBP1-88407
NBP1-88407-25ul

Key Product Details

Species Reactivity

Human

Applications

Immunohistochemistry, Immunohistochemistry-Paraffin, Immunocytochemistry/ Immunofluorescence

Label

Unconjugated

Antibody Source

Polyclonal Rabbit IgG

Format

BSA Free

Concentration

Concentrations vary lot to lot. See vial label for concentration. If unlisted please contact technical services.

Product Specifications

Immunogen

This antibody was developed against Recombinant Protein corresponding to amino acids: AQEEVEVDIKASDILILRSHESNAPGSAGGQASEKPREGTGKSRRALPFSEKKKKTETFSKTQNQENTFPCK

Clonality

Polyclonal

Host

Rabbit

Isotype

IgG

Scientific Data Images for ELMSAN1 Antibody - BSA Free

Immunocytochemistry/ Immunofluorescence: ELMSAN1 Antibody [NBP1-88407]

Immunocytochemistry/ Immunofluorescence: ELMSAN1 Antibody [NBP1-88407]

Immunocytochemistry/Immunofluorescence: ELMSAN1 Antibody [NBP1-88407] - Immunofluorescent staining of human cell line A-431 shows localization to nucleoplasm.
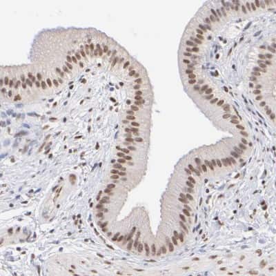
Immunohistochemistry-Paraffin: ELMSAN1 Antibody [NBP1-88407]

Immunohistochemistry-Paraffin: ELMSAN1 Antibody [NBP1-88407]

Immunohistochemistry-Paraffin: ELMSAN1 Antibody [NBP1-88407] - Staining of human gallbladder shows moderate nuclear positivity in glandular cells.

Applications for ELMSAN1 Antibody - BSA Free

Application
Recommended Usage

Immunocytochemistry/ Immunofluorescence

0.25-2 ug/ml

Immunohistochemistry

1:20 - 1:50

Immunohistochemistry-Paraffin

1:20 - 1:50
Application Notes
For IHC-Paraffin, HIER pH 6 retrieval is recommended. Immunocytochemistry/Immunofluorescence Fixation Permeabilization: Use PFA/Triton X-100.

Formulation, Preparation, and Storage

Purification

Affinity purified

Formulation

PBS (pH 7.2) and 40% Glycerol

Format

BSA Free

Preservative

0.02% Sodium Azide

Concentration

Concentrations vary lot to lot. See vial label for concentration. If unlisted please contact technical services.

Shipping

The product is shipped with polar packs. Upon receipt, store it immediately at the temperature recommended below.

Stability & Storage

Store at 4C short term. Aliquot and store at -20C long term. Avoid freeze-thaw cycles.

Background: ELMSAN1

Chimera RNA interference (chimera RNAi) is process by which small interfering RNA/DNA chimera triggers the destruction of mRNA for the original gene. The discovery work, design, and application of chimera RNAi has been pioneered by Professor Kaoru Saigo and Dr. Kumiko Ui-Tei at the University of Tokyo. Chimera RNAi has many advantages over the conventional siRNAs. First, it has been demonstrated to have reliable knock-down for over 10,000 human genes. Because the human genome is composed of an intricate, genetic network, chimera RNAi's unique design has successfully obviated the off-target effects including microRNA-based influence. Another advantage of the chimera RNAi technology is its effectiveness at low concentrations (0.5nM to 5nM); only mRNA is destroyed so genomic genes are not affected. Finally, having both the sense and anti-sense strands consisting RNA/DNA chimera, it offers much greater compound stability for streamlining in vitro and in vivo assays and applications while minimizing interferon induction and other adverse reactions.

Alternate Names

c14_5541, C14orf117, C14orf43, chromosome 14 open reading frame 117, chromosome 14 open reading frame 43, ELM2 and Myb/SANT-like domain containing 1, ELMSAN1, FLJ00335, hypothetical protein LOC91748, LSR68

Gene Symbol

ELMSAN1

Additional ELMSAN1 Products

Product Documents for ELMSAN1 Antibody - BSA Free

Certificate of Analysis

To download a Certificate of Analysis, please enter a lot number in the search box below.

Product Specific Notices for ELMSAN1 Antibody - BSA Free

This product is for research use only and is not approved for use in humans or in clinical diagnosis. Primary Antibodies are guaranteed for 1 year from date of receipt.

Loading...
Loading...
Loading...
Loading...