Skip to main content

EIG121 Antibody - BSA Free

Novus Biologicals, part of Bio-Techne | Catalog # NBP2-57699

Novus Biologicals, part of Bio-Techne
Catalog #
Availability
Size / Price
Qty
Loading...
NBP2-57699-25ul
NBP2-57699

Key Product Details

Validated by

Orthogonal Validation, Independent Antibodies

Species Reactivity

Validated:

Human

Cited:

Human

Predicted:

Mouse (93%), Rat (93%). Backed by our 100% Guarantee.

Applications

Validated:

Immunohistochemistry, Immunohistochemistry-Paraffin, Immunocytochemistry/ Immunofluorescence

Cited:

Immunohistochemistry-Paraffin

Label

Unconjugated

Antibody Source

Polyclonal Rabbit IgG

Format

BSA Free

Concentration

Concentrations vary lot to lot. See vial label for concentration. If unlisted please contact technical services.

Product Specifications

Immunogen

This antibody was developed against a recombinant protein corresponding to the following amino acid sequence: ELPHGFASLSANMELDDSAAESTGNCTSSKWVPRGDYIASNTDECTATLMYAVNLKQSGTVNFEYYYPDSSI

Clonality

Polyclonal

Host

Rabbit

Isotype

IgG

Scientific Data Images for EIG121 Antibody - BSA Free

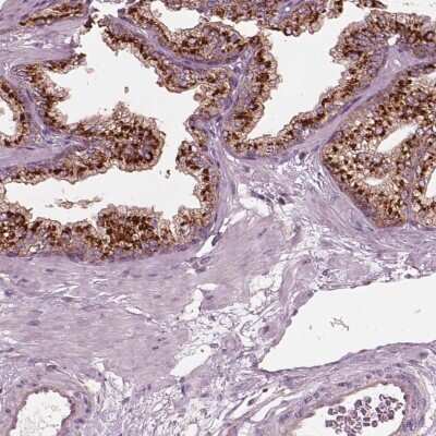
Immunohistochemistry-Paraffin: EIG121 Antibody [NBP2-57699]

Immunohistochemistry-Paraffin: EIG121 Antibody [NBP2-57699]

Immunohistochemistry-Paraffin: EIG121 Antibody [NBP2-57699] - Staining in human prostate and liver tissues using anti-KIAA1324 antibody. Corresponding KIAA1324 RNA-seq data are presented for the same tissues.
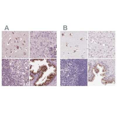
Immunohistochemistry-Paraffin: EIG121 Antibody [NBP2-57699]

Immunohistochemistry-Paraffin: EIG121 Antibody [NBP2-57699]

Immunohistochemistry-Paraffin: EIG121 Antibody [NBP2-57699] - Staining of human cerebral cortex, liver, lymph node and prostate using Anti-KIAA1324 antibody NBP2-57699 (A) shows similar protein distribution across tissues to independent antibody NBP1-90479 (B).
Immunocytochemistry/ Immunofluorescence: EIG121 Antibody [NBP2-57699]

Immunocytochemistry/ Immunofluorescence: EIG121 Antibody [NBP2-57699]

Immunocytochemistry/Immunofluorescence: EIG121 Antibody [NBP2-57699] - Staining of human cell line MCF7 shows localization to plasma membrane. Antibody staining is shown in green.

Applications for EIG121 Antibody - BSA Free

Application
Recommended Usage

Immunocytochemistry/ Immunofluorescence

0.25-2 ug/ml

Immunohistochemistry

1:1000 - 1:2500

Immunohistochemistry-Paraffin

1:1000 - 1:2500
Application Notes
ICC/IF Fixation Permeabilization: Use PFA/Triton X-100. IHC-P, Retrieval method: HIER pH6.

Formulation, Preparation, and Storage

Purification

Affinity purified

Formulation

PBS (pH 7.2) and 40% Glycerol

Format

BSA Free

Preservative

0.02% Sodium Azide

Concentration

Concentrations vary lot to lot. See vial label for concentration. If unlisted please contact technical services.

Shipping

The product is shipped with polar packs. Upon receipt, store it immediately at the temperature recommended below.

Stability & Storage

Store at 4C short term. Aliquot and store at -20C long term. Avoid freeze-thaw cycles.

Background: EIG121

Alternate Names

estrogen-induced gene 121 protein, hypothetical protein LOC57535, KIAA1324, MGC150624

Gene Symbol

ELAPOR1

Additional EIG121 Products

Product Documents for EIG121 Antibody - BSA Free

Certificate of Analysis

To download a Certificate of Analysis, please enter a lot number in the search box below.

Product Specific Notices for EIG121 Antibody - BSA Free

This product is for research use only and is not approved for use in humans or in clinical diagnosis. Primary Antibodies are guaranteed for 1 year from date of receipt.

Loading...
Loading...
Loading...
Loading...