Skip to main content

eIF4A2 Antibody

Novus Biologicals, part of Bio-Techne | Catalog # NBP2-24529

Novus Biologicals, part of Bio-Techne
Catalog #
Availability
Size / Price
Qty
Loading...
NBP2-24529
NBP2-24529SS

Key Product Details

Species Reactivity

Validated:

Human, Mouse, Canine, Chicken, Primate

Cited:

Human

Predicted:

Bovine (100%), Equine (100%), Monkey (100%), Opossum (100%), Rat (100%), Rhesus Macaque (100%). Backed by our 100% Guarantee.

Applications

Validated:

Immunohistochemistry, Immunohistochemistry-Paraffin, Western Blot, Simple Western

Cited:

Western Blot, Immunocytochemistry/ Immunofluorescence

Label

Unconjugated

Antibody Source

Polyclonal Rabbit IgG

Concentration

0.5 mg/ml

Product Specifications

Immunogen

A portion of amino acids 50-100 of human eIF4A2 was used as the immunogen for the antibody.

Specificity

The immunogen for this antibody has 100% homology to eIF4A1 and 89% homology to eIF4A3. Specificity to eIF4A2 has not been determined.

Clonality

Polyclonal

Host

Rabbit

Isotype

IgG

Description

Novus Biologicals Rabbit eIF4A2 Antibody (NBP2-24529) is a polyclonal antibody validated for use in IHC, WB, ICC/IF and Simple Western. Anti-eIF4A2 Antibody: Cited in 1 publication. All Novus Biologicals antibodies are covered by our 100% guarantee.

Scientific Data Images for eIF4A2 Antibody

Western Blot: eIF4A2 Antibody [NBP2-24529]

Western Blot: eIF4A2 Antibody [NBP2-24529]

Western Blot: eIF4A2 Antibody [NBP2-24529] - analysis of eIF4A2 in Jurkat cell lysate in the 1) absence, 2) presence of immunizing peptide and 3) 3T3 cell lysate using eIF4A2 antibody at 0.05 ug/ml, 0.05 ug/ml and 0.025 ug/ml, respectively.
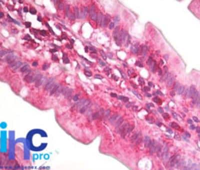
Immunohistochemistry-Paraffin: eIF4A2 Antibody [NBP2-24529]

Immunohistochemistry-Paraffin: eIF4A2 Antibody [NBP2-24529]

Immunohistochemistry-Paraffin: eIF4A2 Antibody [NBP2-24529] - Formalin-fixed, paraffin-embedded human small intestine stained with eIF4A2 antibody at 10 ug/ml. Staining of formalin-fixed tissues is enhanced by boiling tissue sections in 10 mM sodium citrate buffer, pH 6.0 for 10-20 min followed by cooling at RT for 20 min.
Simple Western: eIF4A2 Antibody [NBP2-24529]

Simple Western: eIF4A2 Antibody [NBP2-24529]

Simple Western: eIF4A2 Antibody [NBP2-24529] - Simple Western lane view shows a specific band for Eif4a2 in 0.5 mg/ml of NIH-3T3 lysate. This experiment was performed under reducing conditions using the 12-230 kDa separation system.

Applications for eIF4A2 Antibody

Application
Recommended Usage

Immunohistochemistry-Paraffin

10 ug/ml

Simple Western

1:200

Western Blot

0.025-0.05 ug/ml
Application Notes
In Simple Western only 10 - 15 uL of the recommended dilution is used per data point.
See Simple Western Antibody Database for Simple Western validation: Tested in NIH-3T3 lysate 0.5 mg/mL, separated by Size, antibody dilution of 1:200

Reviewed Applications

Read 1 review rated 5 using NBP2-24529 in the following applications:

Formulation, Preparation, and Storage

Purification

Immunogen affinity purified

Formulation

PBS and 0.05% BSA

Preservative

0.05% Sodium Azide

Concentration

0.5 mg/ml

Shipping

The product is shipped with polar packs. Upon receipt, store it immediately at the temperature recommended below.

Stability & Storage

Store at -20C. Avoid freeze-thaw cycles.

Background: eIF4A2

ATP-dependent RNA helicase which is a subunit of the eIF4F complex involved in cap recognition and isrequired for mRNA binding to ribosome. In the current model of translation initiation, eIF4A unwinds RNA secondarystructures in the 5'-UTR of mRNAs which is necessary to allow efficient binding of the small ribosomal subunit, andsubsequent scanning for the initiator codon

Alternate Names

ATP-dependent RNA helicase eIF4A-2, BM-010, DDX2Beukaryotic translation initiation factor 4A, isoform 2, EC 3.6.1, EC 3.6.4.13, EIF4A, eIF-4A-II, eIF4A-II, EIF4F, eukaryotic initiation factor 4A-II, eukaryotic translation initiation factor 4A, eukaryotic translation initiation factor 4A2

Gene Symbol

EIF4A2

UniProt

Additional eIF4A2 Products

Product Documents for eIF4A2 Antibody

Certificate of Analysis

To download a Certificate of Analysis, please enter a lot number in the search box below.

Product Specific Notices for eIF4A2 Antibody

This product is for research use only and is not approved for use in humans or in clinical diagnosis. Primary Antibodies are guaranteed for 1 year from date of receipt.

Loading...
Loading...
Loading...
Loading...