Skip to main content

eIF2A Antibody (3A7A8) - BSA Free

Novus Biologicals, part of Bio-Techne | Catalog # NBP2-37279

Novus Biologicals, part of Bio-Techne
Catalog #
Availability
Size / Price
Qty
Loading...
NBP2-37279-0.025ml
NBP2-37279

Key Product Details

Species Reactivity

Human

Applications

Immunohistochemistry, Immunohistochemistry-Paraffin, Western Blot, ELISA, Flow Cytometry, Immunocytochemistry/ Immunofluorescence, CyTOF-ready

Label

Unconjugated

Antibody Source

Monoclonal Mouse IgG1 Clone # 3A7A8

Format

BSA Free

Concentration

1 mg/ml

Product Specifications

Immunogen

Purified recombinant fragment of human EIF2A (AA: 448-576) expressed in E. Coli.

Clonality

Monoclonal

Host

Mouse

Isotype

IgG1

Theoretical MW

65 kDa.
Disclaimer note: The observed molecular weight of the protein may vary from the listed predicted molecular weight due to post translational modifications, post translation cleavages, relative charges, and other experimental factors.

Description

Novus Biologicals Mouse eIF2A Antibody (3A7A8) - BSA Free (NBP2-37279) is a monoclonal antibody validated for use in IHC, WB, ELISA, Flow and ICC/IF. All Novus Biologicals antibodies are covered by our 100% guarantee.

Scientific Data Images for eIF2A Antibody (3A7A8) - BSA Free

Western Blot: eIF2A Antibody (3A7A8)BSA Free [NBP2-37279]

Western Blot: eIF2A Antibody (3A7A8)BSA Free [NBP2-37279]

Western Blot: eIF2A Antibody (3A7A8) [NBP2-37279] - Western blot analysis using EIF2A mouse mAb against MCF-7 (1), PC-12 (2), HepG2 (3), Hela (4), Cos7 (5), K562 (6), Jurkat (7), A431 (8) and NIH/3T3 (9) cell lysate.
Immunocytochemistry/ Immunofluorescence: eIF2A Antibody (3A7A8) - BSA Free [NBP2-37279]

Immunocytochemistry/ Immunofluorescence: eIF2A Antibody (3A7A8) - BSA Free [NBP2-37279]

Immunocytochemistry/Immunofluorescence: eIF2A Antibody (3A7A8) [NBP2-37279] - Immunofluorescence analysis of HepG2 cells using EIF2A mouse mAb (green). Blue: DRAQ5 fluorescent DNA dye. Goat anti-Mouse IgG (H+L) DyLight 488 secondary antibody was used.
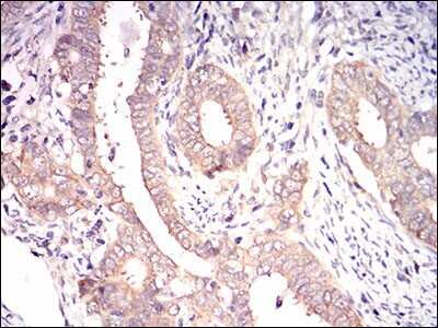
Immunohistochemistry: eIF2A Antibody (3A7A8) - BSA Free [NBP2-37279]

Immunohistochemistry: eIF2A Antibody (3A7A8) - BSA Free [NBP2-37279]

Immunohistochemistry: eIF2A Antibody (3A7A8) [NBP2-37279] - Immunohistochemical analysis of paraffin-embedded cervical cancer tissues using EIF2A mouse mAb with DAB staining.

Applications for eIF2A Antibody (3A7A8) - BSA Free

Application
Recommended Usage

ELISA

1:10000

Flow Cytometry

1:200 - 1:400

Immunocytochemistry/ Immunofluorescence

1:200 - 1:1000

Immunohistochemistry

1:200 - 1:1000

Immunohistochemistry-Paraffin

1:200 - 1:1000

Western Blot

1:500 - 1:2000
Application Notes
This antibody is Cytof ready.

Formulation, Preparation, and Storage

Purification

Protein G purified

Formulation

PBS

Format

BSA Free

Preservative

0.05% Sodium Azide

Concentration

1 mg/ml

Shipping

The product is shipped with polar packs. Upon receipt, store it immediately at the temperature recommended below.

Stability & Storage

Store at 4C short term. Aliquot and store at -20C long term. Avoid freeze-thaw cycles.

Background: eIF2A

The translation initiation factor eIF2 catalyzes the first regulated step of protein synthesis initiation, promoting the binding of the initiator tRNA to 40S ribosomal subunits. Binding occurs as a ternary complex of methionyl-tRNA, eIF2, and GTP. eIF2 is composed of 3 nonidentical subunits, alpha (36 kD), beta (38 kD, MIM 603908), and gamma (52 kD, MIM 300161). The rate of formation of the ternary complex is modulated by the phosphorylation state of eIF2-alpha (Ernst et al., 1987 [PubMed 2948954]).[supplied by OMIM]

Alternate Names

EIF-2, EIF-2A, EIF2AEIF2, EIF-2alpha, eukaryotic translation initiation factor 2, subunit 1 alpha, 35kDa, subunit 1 (alpha, 35kD )

Gene Symbol

EIF2A

Additional eIF2A Products

Product Documents for eIF2A Antibody (3A7A8) - BSA Free

Certificate of Analysis

To download a Certificate of Analysis, please enter a lot number in the search box below.

Product Specific Notices for eIF2A Antibody (3A7A8) - BSA Free

This product is for research use only and is not approved for use in humans or in clinical diagnosis. Primary Antibodies are guaranteed for 1 year from date of receipt.

Loading...
Loading...
Loading...
Loading...
Loading...