Skip to main content

EGFR [p Tyr998] Antibody

Novus Biologicals, part of Bio-Techne | Catalog # NBP3-13267

Novus Biologicals, part of Bio-Techne
Catalog #
Availability
Size / Price
Qty
Loading...
NBP3-13267

Key Product Details

Species Reactivity

Validated:

Human

Predicted:

Mouse (100%), Porcine (100%). Backed by our 100% Guarantee.

Applications

Immunohistochemistry, Immunohistochemistry-Paraffin, Western Blot, Immunocytochemistry/ Immunofluorescence

Label

Unconjugated

Antibody Source

Polyclonal Rabbit IgG

Concentration

Concentrations vary lot to lot. See vial label for concentration. If unlisted please contact technical services.

Product Specifications

Immunogen

Carrier-protein conjugated synthetic peptide surrounding phospho Tyr998 of human EGFR. The exact sequence is proprietary.

Modification

p Tyr 998

Clonality

Polyclonal

Host

Rabbit

Isotype

IgG

Description

Centrifuge briefly prior to opening.

Scientific Data Images for EGFR [p Tyr998] Antibody

Immunocytochemistry/ Immunofluorescence: EGFR [p Tyr998] Antibody [NBP3-13267]

Immunocytochemistry/ Immunofluorescence: EGFR [p Tyr998] Antibody [NBP3-13267]

Immunocytochemistry/Immunofluorescence: EGFR [p Tyr998] Antibody [NBP3-13267] - EGFR (phospho Tyr998) antibody detects EGFR (phospho Tyr998) protein at cell membrane by immunofluorescent analysis. Sample: A431 cells were fixed in 4% paraformaldehyde at RT for 15 min. Green: EGFR (phospho Tyr998) protein stained by EGFR (phospho Tyr998) antibody (NBP3-13267) diluted at 1:500. Blue: Hoechst 33342 staining.
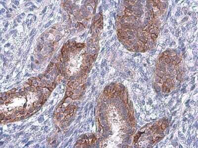
Immunohistochemistry-Paraffin: EGFR [p Tyr998] Antibody [NBP3-13267]

Immunohistochemistry-Paraffin: EGFR [p Tyr998] Antibody [NBP3-13267]

Immunohistochemistry-Paraffin: EGFR [p Tyr998] Antibody [NBP3-13267] - EGFR (phospho Tyr998) antibody detects EGFR (phospho Tyr998) protein at cell membrane in human breast carcinoma by immunohistochemical analysis. Sample: Paraffin-embedded human breast carcinoma. EGFR (phospho Tyr998) antibody (NBP3-13267) diluted at 1:500. Antigen Retrieval: Citrate buffer, pH 6.0, 15 min
EGFR [p Tyr998] Antibody

Western Blot: EGFR [p Tyr998] Antibody [NBP3-13267] -

Untreated (-) and treated (+) A431 whole cell extract (30 ug) were separated by 5% SDS-PAGE, and the membranes were blotted with EGFR (phospho Tyr974) antibody (NBP3-13267) diluted at 1:2000. The HRP-conjugated anti-rabbit IgG antibody was used to detect the primary antibody

Applications for EGFR [p Tyr998] Antibody

Application
Recommended Usage

Immunohistochemistry-Paraffin

1:100-1:1000

Formulation, Preparation, and Storage

Purification

Antigen Affinity-purified

Formulation

PBS, 1% BSA, 20% Glycerol

Preservative

0.025% Proclin 300

Concentration

Concentrations vary lot to lot. See vial label for concentration. If unlisted please contact technical services.

Shipping

The product is shipped with polar packs. Upon receipt, store it immediately at the temperature recommended below.

Stability & Storage

Store at 4C short term. Aliquot and store at -20C long term. Avoid freeze-thaw cycles.

Background: EGFR

Epidermal growth factor receptor (EGFR), also known as ErbB1 and HER1, is a type I glycoprotein that belongs the ErbB subfamily of receptor tyrosine kinases (RTKs), which includes ErbB2/HER2, ErbB3/HER3, and ErbB4/HER4 (1,2). EGFR plays an important role in epithelial cell development and homeostasis and as a driver of tumorigenesis in cancer (1,2). The human EGFR is protein 1210 amino acids (aa) in length with a theoretical molecular weight (MW) of 134 kDa (1). The protein consists of a short signal peptide, an extracellular domain (ECD) divided into four subdomains (I-IV), a transmembrane region, an intracellular juxtamembrane segment, a tyrosine kinase domain, and C-terminal tail (1-3). Within the ECD, human EGFR has 88-90% aa sequence identity with mouse and rat EGFR. EGFR has four known specific ligands: EGF, amphiregulin, epigen, and transforming growth factor alpha (TGF-alpha). EGFR ligands betacellulin, epiregulin, and herapin binding (HB)-EGF have dual specificity with ErbB4 (1,3). Ligand binding to the extracellular domain of EFGR leads to receptor homodimerization, or heterodimerization with other ErbB family members, and EGFR activation. This results in subsequent phosphorylation and activation of intracellular signaling pathways, such as MAPK and PI3K/Akt (2,3). EGFR signaling is essential for many cellular processes including proliferation, differentiation, migration, and apoptosis (1,3,5).

In addition to its role in normal development, EGFR mutations or overexpression is observed in many tumors, including breast cancer, non-small cell lung carcinoma (NSCLC), colon cancer, and more (3-6). Small molecule tyrosine kinase inhibitors (TKIs), like gefitinib, erlotinib, and afatinib, have shown great efficacy in treating patients with EGFR activating mutations, especially for NSCLC (4-6). However, most patients eventually develop acquired resistance to TKIs and thus combination and alternative therapies are in development (4-6). A third-generation TKI, osimertinib, is approved for NSCLC patients with resistance to first-line EGFR TKI treatment (6). Additionally, combination therapies of EGFR TKIs with monoclonal antibody immunotherapies, like anti-PD-L1, are being further investigated in clinical trials (6).

References

1. Roskoski R Jr. Small molecule inhibitors targeting the EGFR/ErbB family of protein-tyrosine kinases in human cancers. Pharmacol Res. 2019; 139:395-411. https://doi.org/10.1016/j.phrs.2018.11.014

2. Sigismund S, Avanzato D, Lanzetti L. Emerging functions of the EGFR in cancer. Mol Oncol. 2018; 12(1):3-20. https://doi.org/10.1002/1878-0261.12155

3. Normanno N, De Luca A, Bianco C, et al. Epidermal growth factor receptor (EGFR) signaling in cancer. Gene. 2006; 366(1):2-16. https://doi.org/10.1016/j.gene.2005.10.018

4. Liu Q, Yu S, Zhao W, Qin S, Chu Q, Wu K. EGFR-TKIs resistance via EGFR-independent signaling pathways. Mol Cancer. 2018; 17(1):53. https://doi.org/10.1186/s12943-018-0793-1

5. Harrison PT, Vyse S, Huang PH. Rare epidermal growth factor receptor (EGFR) mutations in non-small cell lung cancer. Semin Cancer Biol. 2020; 61:167-179. https://doi.org/10.1016/j.semcancer.2019.09.015

6. Wu SG, Shih JY. Management of acquired resistance to EGFR TKI-targeted therapy in advanced non-small cell lung cancer. Mol Cancer. 2018; 17(1):38. https://doi.org/10.1186/s12943-018-0777-1

Long Name

Epidermal Growth Factor Receptor

Alternate Names

EGF R, ErbB, ErbB1, HER-1

Gene Symbol

EGFR

Additional EGFR Products

Product Documents for EGFR [p Tyr998] Antibody

Certificate of Analysis

To download a Certificate of Analysis, please enter a lot number in the search box below.

Product Specific Notices for EGFR [p Tyr998] Antibody

This product is for research use only and is not approved for use in humans or in clinical diagnosis. Primary Antibodies are guaranteed for 1 year from date of receipt.

Loading...
Loading...
Loading...
Loading...