EFCBP2 Antibody - BSA Free
Novus Biologicals, part of Bio-Techne | Catalog # NBP1-84001
Key Product Details
Validated by
Orthogonal Validation, Independent Antibodies
Species Reactivity
Human
Applications
Immunohistochemistry, Immunohistochemistry-Paraffin
Label
Unconjugated
Antibody Source
Polyclonal Rabbit IgG
Format
BSA Free
Concentration
Concentrations vary lot to lot. See vial label for concentration. If unlisted please contact technical services.
Product Specifications
Immunogen
This antibody was developed against Recombinant Protein corresponding to amino acids: ATEDAKEEGLEAQISRLAELIGRLESKALWFDLQQRLSDEDGTNMHLQLVRQEMAVCPEQLSEFLDSLRQYLRGTTGVRNCFHITAVRLSDGFTFVIYEFWETEEAWKRHLQSPLCKAFRHVKVDTLSQPEALSRILVPA
Reactivity Notes
Immunogen displays the following percentage of sequence identity for non-tested species: Mouse (85%), Rat (84%)
Clonality
Polyclonal
Host
Rabbit
Isotype
IgG
Description
Novus Biologicals Rabbit EFCBP2 Antibody - BSA Free (NBP1-84001) is a polyclonal antibody validated for use in IHC. All Novus Biologicals antibodies are covered by our 100% guarantee.
Scientific Data Images for EFCBP2 Antibody - BSA Free
Immunohistochemistry-Paraffin: EFCBP2 Antibody [NBP1-84001]
Immunohistochemistry-Paraffin: EFCBP2 Antibody [NBP1-84001] - Staining of human cerebral cortex shows moderate positivity in neuropil.Immunohistochemistry-Paraffin: EFCBP2 Antibody [NBP1-84001]
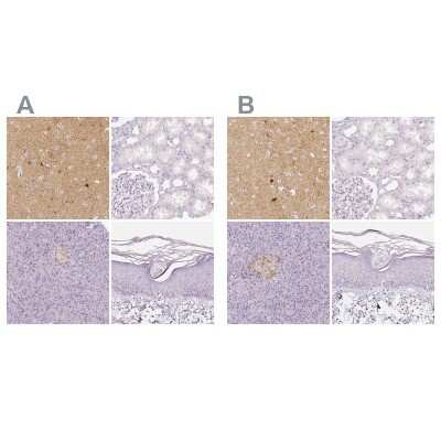
Immunohistochemistry-Paraffin: EFCBP2 Antibody [NBP1-84001] - Staining of human cerebral cortex, kidney, pancreas and skin using Anti-NECAB2 antibody NBP1-84001 (A) shows similar protein distribution across tissues to independent antibody NBP1-84002 (B).Applications for EFCBP2 Antibody - BSA Free
Application
Recommended Usage
Immunohistochemistry
1:500 - 1:1000
Immunohistochemistry-Paraffin
1:500 - 1:1000
Application Notes
For IHC-Paraffin, HIER pH 6 retrieval is recommended.
Formulation, Preparation, and Storage
Purification
Immunogen affinity purified
Formulation
PBS (pH 7.2) and 40% Glycerol
Format
BSA Free
Preservative
0.02% Sodium Azide
Concentration
Concentrations vary lot to lot. See vial label for concentration. If unlisted please contact technical services.
Shipping
The product is shipped with polar packs. Upon receipt, store it immediately at the temperature recommended below.
Stability & Storage
Store at 4C short term. Aliquot and store at -20C long term. Avoid freeze-thaw cycles.
Background: EFCBP2
Alternate Names
EF-hand calcium binding protein 2, N-terminal EF-hand calcium binding protein 2
Gene Symbol
NECAB2
Additional EFCBP2 Products
Product Documents for EFCBP2 Antibody - BSA Free
Product Specific Notices for EFCBP2 Antibody - BSA Free
This product is for research use only and is not approved for use in humans or in clinical diagnosis. Primary Antibodies are guaranteed for 1 year from date of receipt.
Loading...
Loading...
Loading...
Loading...