Skip to main content

EDEM2 Antibody - BSA Free

Novus Biologicals, part of Bio-Techne | Catalog # NBP2-37921

Novus Biologicals, part of Bio-Techne
Catalog #
Availability
Size / Price
Qty
Loading...
NBP2-37921
NBP2-37921-25ul

Key Product Details

Species Reactivity

Human

Applications

Immunohistochemistry, Immunohistochemistry-Paraffin, Western Blot

Label

Unconjugated

Antibody Source

Polyclonal Rabbit IgG

Format

BSA Free

Concentration

Concentrations vary lot to lot. See vial label for concentration. If unlisted please contact technical services.

Product Specifications

Immunogen

This antibody was developed against a recombinant protein corresponding to amino acids: FDPTNFIHNNGSTFDAVITPYGECILGAGGYIFNTEAHPIDPAALHCCQRLKEEQWEVEDLMREFYSLKRSRSKFQKNTVSSGPWEPPARPGTLFSP

Reactivity Notes

Immunogen displays the following percentage of sequence identity for non-tested species: Mouse (80%), Rat (84%)

Clonality

Polyclonal

Host

Rabbit

Isotype

IgG

Description

Novus Biologicals Rabbit EDEM2 Antibody - BSA Free (NBP2-37921) is a polyclonal antibody validated for use in IHC and WB. All Novus Biologicals antibodies are covered by our 100% guarantee.

Scientific Data Images for EDEM2 Antibody - BSA Free

Western Blot: EDEM2 Antibody [NBP2-37921]

Western Blot: EDEM2 Antibody [NBP2-37921]

Western Blot: EDEM2 Antibody [NBP2-37921] - Lane 1: Marker [kDa] 250, 130, 95, 72, 55, 36, 28, 17, 10. Lane 2: Human cell line RT-4. Lane 3: Human cell line U-251MG. Lane 4: Human Plasma
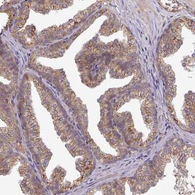
Immunohistochemistry-Paraffin: EDEM2 Antibody [NBP2-37921]

Immunohistochemistry-Paraffin: EDEM2 Antibody [NBP2-37921]

Immunohistochemistry-Paraffin: EDEM2 Antibody [NBP2-37921] - Staining of human prostate shows moderate granular cytoplasmic positivity in glandular cells.
Immunohistochemistry-Paraffin: EDEM2 Antibody [NBP2-37921]

Immunohistochemistry-Paraffin: EDEM2 Antibody [NBP2-37921]

Immunohistochemistry-Paraffin: EDEM2 Antibody [NBP2-37921] - Staining of human small intestine shows strong cytoplasmic positivity in glandular cells.

Applications for EDEM2 Antibody - BSA Free

Application
Recommended Usage

Immunohistochemistry

1:20 - 1:50

Immunohistochemistry-Paraffin

1:20 - 1:50

Western Blot

0.04 - 0.4 ug/ml
Application Notes
For IHC-Paraffin, HIER pH 6 retrieval is recommended.

Formulation, Preparation, and Storage

Purification

Immunogen affinity purified

Formulation

PBS (pH 7.2) and 40% Glycerol

Format

BSA Free

Preservative

0.02% Sodium Azide

Concentration

Concentrations vary lot to lot. See vial label for concentration. If unlisted please contact technical services.

Shipping

The product is shipped with polar packs. Upon receipt, store it immediately at the temperature recommended below.

Stability & Storage

Store at 4C short term. Aliquot and store at -20C long term. Avoid freeze-thaw cycles.

Background: EDEM2

In the endoplasmic reticulum (ER), misfolded proteins are retrotranslocated to the cytosol and degraded by the proteasome in a process known as ER-associated degradation (ERAD). EDEM2 belongs to a family of proteins involved in ERAD of glycoproteins (Mast et al., 2005 [PubMed 15537790]).[supplied by OMIM]

Alternate Names

bA4204.1, C20orf31, C20orf49, chromosome 20 open reading frame 31, ER degradation enhancer, mannosidase alpha-like 2, ER degradation-enhancing alpha-mannosidase-like 2, ER degradation-enhancing-mannosidase-like protein 2, FLJ10783

Gene Symbol

EDEM2

UniProt

Additional EDEM2 Products

Product Documents for EDEM2 Antibody - BSA Free

Certificate of Analysis

To download a Certificate of Analysis, please enter a lot number in the search box below.

Product Specific Notices for EDEM2 Antibody - BSA Free

This product is for research use only and is not approved for use in humans or in clinical diagnosis. Primary Antibodies are guaranteed for 1 year from date of receipt.

Loading...
Loading...
Loading...
Loading...