Skip to main content

DYNC1H1 Antibody - BSA Free

Novus Biologicals, part of Bio-Techne | Catalog # NBP1-84254

Novus Biologicals, part of Bio-Techne
Catalog #
Availability
Size / Price
Qty
Loading...
NBP1-84254
NBP1-84254-25ul

Key Product Details

Validated by

Orthogonal Validation

Species Reactivity

Validated:

Human

Cited:

Human

Predicted:

Mouse (100%), Rat (99%). Backed by our 100% Guarantee.

Applications

Validated:

Immunohistochemistry, Immunohistochemistry-Paraffin

Cited:

Western Blot, Immunocytochemistry/ Immunofluorescence

Label

Unconjugated

Antibody Source

Polyclonal Rabbit IgG

Format

BSA Free

Concentration

Concentrations vary lot to lot. See vial label for concentration. If unlisted please contact technical services.

Product Specifications

Immunogen

This antibody was developed against Recombinant Protein corresponding to amino acids: RSLETCMYDHKTFSEILNRVQKAVDDLNLHSYSNLPIWVNKLDMEIERILGVRLQAGLRAWTQVLLGQAEDKAEVDMDTDAPQVSHKPGGEPKIKNVVHELRITNQVIYLNPPIEECRYKLYQEMFAWKMVVLSLPRIQSQR

Clonality

Polyclonal

Host

Rabbit

Isotype

IgG

Description

Novus Biologicals Rabbit DYNC1H1 Antibody - BSA Free (NBP1-84254) is a polyclonal antibody validated for use in IHC, WB and ICC/IF. Anti-DYNC1H1 Antibody: Cited in 1 publication. All Novus Biologicals antibodies are covered by our 100% guarantee.

Scientific Data Images for DYNC1H1 Antibody - BSA Free

Immunohistochemistry-Paraffin: DYNC1H1 Antibody [NBP1-84254]

Immunohistochemistry-Paraffin: DYNC1H1 Antibody [NBP1-84254]

Immunohistochemistry-Paraffin: DYNC1H1 Antibody [NBP1-84254] - Staining in human cerebral cortex and pancreas tissues using anti-DYNC1H1 antibody. Corresponding DYNC1H1 RNA-seq data are presented for the same tissues.
Immunohistochemistry-Paraffin: DYNC1H1 Antibody [NBP1-84254]

Immunohistochemistry-Paraffin: DYNC1H1 Antibody [NBP1-84254]

Immunohistochemistry-Paraffin: DYNC1H1 Antibody [NBP1-84254] - Staining of human cerebral cortex shows high expression.
Immunohistochemistry-Paraffin: DYNC1H1 Antibody [NBP1-84254]

Immunohistochemistry-Paraffin: DYNC1H1 Antibody [NBP1-84254]

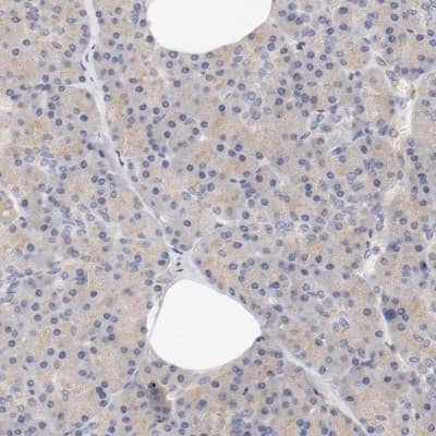
Immunohistochemistry-Paraffin: DYNC1H1 Antibody [NBP1-84254] - Staining of human pancreas shows low expression as expected.

Applications for DYNC1H1 Antibody - BSA Free

Application
Recommended Usage

Immunohistochemistry

1:50 - 1:200

Immunohistochemistry-Paraffin

1:50 - 1:200
Application Notes
For IHC-Paraffin, HIER pH 6 retrieval is recommended.

Formulation, Preparation, and Storage

Purification

Affinity purified

Formulation

PBS (pH 7.2) and 40% Glycerol

Format

BSA Free

Preservative

0.02% Sodium Azide

Concentration

Concentrations vary lot to lot. See vial label for concentration. If unlisted please contact technical services.

Shipping

The product is shipped with polar packs. Upon receipt, store it immediately at the temperature recommended below.

Stability & Storage

Store at 4C short term. Aliquot and store at -20C long term. Avoid freeze-thaw cycles.

Background: DYNC1H1

The DYNC1H1 gene encodes a cytoplasmic dynein 1 heavy chain 1 protein that is 4,646 amino acids long at 532 kDA. Dyneines function as molecular motors that contain ATPase activity. Defects in DYNC1H1 cause Charcot-Marie-Tooth Disease type 2O (CMT2O), mental retardation autosomal dominant type 13 (MRD13), as well as spinal muscular atrophy, lower extremity, autosomal dominant (SMALED). DYNC1H1 has also been investigated by researchers in myeloma, neuropathy, ciliary dyskinesia, lateral sclerosis, intellectual disabilities, lissencephaly, schizophrenia, malaria, and neurodegeneration. DYNC1H1 participates in centrosome maturation, adaptive immune system, cytoplasmic microtubules, cell cycle spindle assembly and chromosome separation, as well as phagosome and vasopressin-regulated water reabsorption. DYNC1H1 interacts with genes HIST1H4A, HIST1H4B, HIST1H4C, HIST1H4D, and HIST1H43.

Alternate Names

cytoplasmic dynein 1 heavy chain 1, Cytoplasmic dynein heavy chain 1, DHC1a, DHC1Dynein heavy chain, cytosolic, DKFZp686P2245, Dnchc1, DNCLDNCH1, DNECLDYHC, dynein, cytoplasmic 1, heavy chain 1, dynein, cytoplasmic, heavy polypeptide 1, HL-3, KIAA0325, p22

Gene Symbol

DYNC1H1

Additional DYNC1H1 Products

Product Documents for DYNC1H1 Antibody - BSA Free

Certificate of Analysis

To download a Certificate of Analysis, please enter a lot number in the search box below.

Product Specific Notices for DYNC1H1 Antibody - BSA Free

This product is for research use only and is not approved for use in humans or in clinical diagnosis. Primary Antibodies are guaranteed for 1 year from date of receipt.

Loading...
Loading...
Loading...
Loading...