Skip to main content

DUSP9 Antibody - BSA Free

Novus Biologicals, part of Bio-Techne | Catalog # NBP1-82641

Novus Biologicals, part of Bio-Techne
Catalog #
Availability
Size / Price
Qty
Loading...
NBP1-82641
NBP1-82641-25ul

Key Product Details

Validated by

Orthogonal Validation

Species Reactivity

Human

Applications

Immunohistochemistry, Immunohistochemistry-Paraffin

Label

Unconjugated

Antibody Source

Polyclonal Rabbit IgG

Format

BSA Free

Concentration

Concentrations vary lot to lot. See vial label for concentration. If unlisted please contact technical services.

Product Specifications

Immunogen

This antibody was developed against Recombinant Protein corresponding to amino acids: ECPHLCETSLAGRAGSSMAPVPGPVPVVGLGSLCLGSDCSDAESEADRDSMSCGLDSEGATPPPVGLRASFPVQILPNLYLGSARDSANLESLAKLGIRYILNVTPNLPNFFEKNGDFHYKQI

Reactivity Notes

Immunogen displays the following percentage of sequence identity for non-tested species: Mouse (82%), Rat (80%)

Clonality

Polyclonal

Host

Rabbit

Isotype

IgG

Description

Novus Biologicals Rabbit DUSP9 Antibody - BSA Free (NBP1-82641) is a polyclonal antibody validated for use in IHC. All Novus Biologicals antibodies are covered by our 100% guarantee.

Scientific Data Images for DUSP9 Antibody - BSA Free

Immunohistochemistry-Paraffin: DUSP9 Antibody [NBP1-82641]

Immunohistochemistry-Paraffin: DUSP9 Antibody [NBP1-82641]

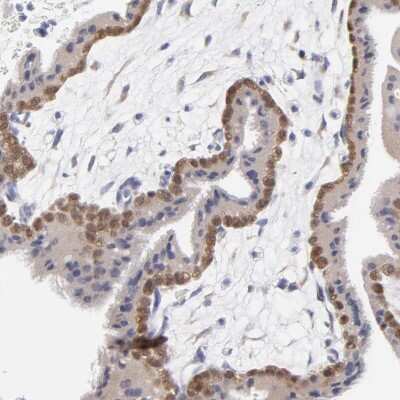
Immunohistochemistry-Paraffin: DUSP9 Antibody [NBP1-82641] - Staining in human placenta and prostate tissues using anti-DUSP9 antibody. Corresponding DUSP9 RNA-seq data are presented for the same tissues.
Immunohistochemistry-Paraffin: DUSP9 Antibody [NBP1-82641]

Immunohistochemistry-Paraffin: DUSP9 Antibody [NBP1-82641]

Immunohistochemistry-Paraffin: DUSP9 Antibody [NBP1-82641] - Staining of human placenta shows high expression.
Immunohistochemistry-Paraffin: DUSP9 Antibody [NBP1-82641]

Immunohistochemistry-Paraffin: DUSP9 Antibody [NBP1-82641]

Immunohistochemistry-Paraffin: DUSP9 Antibody [NBP1-82641] - Staining of human prostate shows low expression as expected.

Applications for DUSP9 Antibody - BSA Free

Application
Recommended Usage

Immunohistochemistry

1:50 - 1:200

Immunohistochemistry-Paraffin

1:50 - 1:200
Application Notes
For IHC-Paraffin, HIER pH 6 retrieval is recommended.

Formulation, Preparation, and Storage

Purification

Immunogen affinity purified

Formulation

PBS (pH 7.2) and 40% Glycerol

Format

BSA Free

Preservative

0.02% Sodium Azide

Concentration

Concentrations vary lot to lot. See vial label for concentration. If unlisted please contact technical services.

Shipping

The product is shipped with polar packs. Upon receipt, store it immediately at the temperature recommended below.

Stability & Storage

Store at 4C short term. Aliquot and store at -20C long term. Avoid freeze-thaw cycles.

Background: DUSP9

Mitogen-activated protein (MAP) kinases are a large class of proteins involved in signal transduction pathways that are activated by a range of stimuli and mediate a number of physiological and pathological changes in the cell. Dual specificity phosphatases (DSPs) are a subclass of the protein tyrosine phosphatase (PTP) gene superfamily, which are selective for dephosphorylating critical phosphothreonine and phosphotyrosine residues within MAP kinases. DSP gene expression is induced by a host of growth factors and/or cellular stresses, thereby negatively regulating MAP kinase superfamily members including MAPK/ERK, SAPK/JNK and p38. The members of the dual-specificity phosphatase protein family include MKP-1/CL100 (3CH134), VHR, PAC1, MKP-2, hVH-3 (B23), hVH-5, MKP-3, MKP-X and MKP-4. Human MKP-1 maps to chromosome 5q34 and encodes a 367 amino acid, 39 kDa protein that dephosphorylates MAP kinase ERK2 on both Thr-183 and Tyr-185.

Alternate Names

dual specificity phosphatase 9, EC 3.1.3.16, EC 3.1.3.48, MAP kinase phosphatase 4, Mitogen-activated protein kinase phosphatase 4, MKP-4dual specificity protein phosphatase 9, MKP4serine/threonine specific protein phosphatase

Gene Symbol

DUSP9

Additional DUSP9 Products

Product Documents for DUSP9 Antibody - BSA Free

Certificate of Analysis

To download a Certificate of Analysis, please enter a lot number in the search box below.

Product Specific Notices for DUSP9 Antibody - BSA Free

This product is for research use only and is not approved for use in humans or in clinical diagnosis. Primary Antibodies are guaranteed for 1 year from date of receipt.

Loading...
Loading...
Loading...
Loading...