Skip to main content

DUS2L Antibody - BSA Free

Novus Biologicals, part of Bio-Techne | Catalog # NBP2-16233

Novus Biologicals, part of Bio-Techne
Catalog #
Availability
Size / Price
Qty
Loading...
NBP2-16233

Key Product Details

Species Reactivity

Validated:

Human

Predicted:

Primate (99%). Backed by our 100% Guarantee.

Applications

Immunohistochemistry, Immunohistochemistry-Paraffin, Western Blot

Label

Unconjugated

Antibody Source

Polyclonal Rabbit IgG

Format

BSA Free

Concentration

Concentrations vary lot to lot. See vial label for concentration. If unlisted please contact technical services.

Product Specifications

Immunogen

Recombinant protein encompassing a sequence within the center region of human DUS2L. The exact sequence is proprietary.

Reactivity Notes

Chimpanzee (99%), Mouse (86%), Rat (84%), Bovine (88%).

Localization

Cytoplasm; Endoplasmic reticulum

Clonality

Polyclonal

Host

Rabbit

Isotype

IgG

Theoretical MW

55 kDa.
Disclaimer note: The observed molecular weight of the protein may vary from the listed predicted molecular weight due to post translational modifications, post translation cleavages, relative charges, and other experimental factors.

Description

Novus Biologicals Rabbit DUS2L Antibody - BSA Free (NBP2-16233) is a polyclonal antibody validated for use in IHC and WB. All Novus Biologicals antibodies are covered by our 100% guarantee.

Scientific Data Images for DUS2L Antibody - BSA Free

Western Blot: DUS2L Antibody [NBP2-16233]

Western Blot: DUS2L Antibody [NBP2-16233]

Western Blot: DUS2L Antibody [NBP2-16233] - Sample (30 ug of whole cell lysate) A: HeLa B: HepG2 10% SDS PAGE gel, diluted at 1:1000.
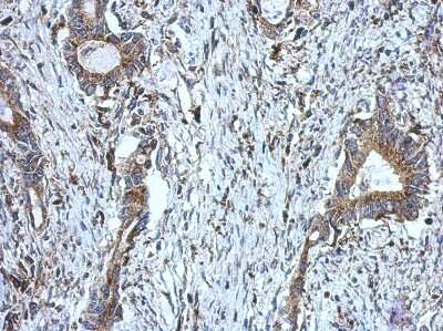
Immunohistochemistry-Paraffin: DUS2L Antibody [NBP2-16233]

Immunohistochemistry-Paraffin: DUS2L Antibody [NBP2-16233]

Immunohistochemistry-Paraffin: DUS2L Antibody [NBP2-16233] - Immunohistochemical analysis of paraffin-embedded Colon ca, using antibody at 1:500 dilution.

Applications for DUS2L Antibody - BSA Free

Application
Recommended Usage

Immunohistochemistry

1:100-1:1000

Immunohistochemistry-Paraffin

1:100-1:1000

Western Blot

1:500-1:3000

Formulation, Preparation, and Storage

Purification

Antigen Affinity-purified

Formulation

PBS, 20% Glycerol

Format

BSA Free

Preservative

0.01% Thimerosal

Concentration

Concentrations vary lot to lot. See vial label for concentration. If unlisted please contact technical services.

Shipping

The product is shipped with polar packs. Upon receipt, store it immediately at the temperature recommended below.

Stability & Storage

Aliquot and store at -20C or -80C. Avoid freeze-thaw cycles.

Background: DUS2L

Dihydrouridine synthase catalyzes reduction of the 5,6-double bond of a uridine residue on the displacement loop of tRNA. The resultant modified base, 5,6-dihydrouridine, appears to increase the conformational flexibility and dynamic motion of tRNA (Kato et al., 2005 [PubMed 15994936]).[supplied by OMIM]

Alternate Names

dihydrouridine synthase 2-like, SMM1 homolog (S. cerevisiae)

Gene Symbol

DUS2

UniProt

Additional DUS2L Products

Product Documents for DUS2L Antibody - BSA Free

Certificate of Analysis

To download a Certificate of Analysis, please enter a lot number in the search box below.

Product Specific Notices for DUS2L Antibody - BSA Free

This product is for research use only and is not approved for use in humans or in clinical diagnosis. Primary Antibodies are guaranteed for 1 year from date of receipt.

Loading...
Loading...
Loading...
Loading...

⚠ WARNING: This product can expose you to chemicals including mercury, which is known to the State of California to cause reproductive toxicity with developmental effects.  For more information go to www.P65Warnings.ca.gov.