Skip to main content

DRG1 Antibody - BSA Free

Novus Biologicals, part of Bio-Techne | Catalog # NBP1-82591

Novus Biologicals, part of Bio-Techne
Catalog #
Availability
Size / Price
Qty
Loading...
NBP1-82591
NBP1-82591-25ul

Key Product Details

Species Reactivity

Human, Mouse, Rat

Applications

Immunohistochemistry, Immunohistochemistry-Paraffin, Western Blot

Label

Unconjugated

Antibody Source

Polyclonal Rabbit IgG

Format

BSA Free

Concentration

Concentrations vary lot to lot. See vial label for concentration. If unlisted please contact technical services.

Product Specifications

Immunogen

This antibody was developed against Recombinant Protein corresponding to amino acids: ELEGFGIRLNSKPPNIGFKKKDKGGINLTATCPQSELDAETVKSILAEYKIHNADVTLRSDATADDLIDVVEGNRVYIPCIYVLNKIDQISIEELDIIYKVPHCVPISAHHRWNFDDLLEKIWDYLKLVRIYTKPKGQLPDYT

Clonality

Polyclonal

Host

Rabbit

Isotype

IgG

Scientific Data Images for DRG1 Antibody - BSA Free

Western Blot: DRG1 Antibody [NBP1-82591]

Western Blot: DRG1 Antibody [NBP1-82591]

Western Blot: DRG1 Antibody [NBP1-82591] - Lane 1: NIH-3T3 cell lysate (Mouse embryonic fibroblast cells). Lane 2: NBT-II cell lysate (Rat Wistar bladder tumor cells). Lane 3: PC12 cell lysate (Pheochromocytoma of rat adrenal medulla).
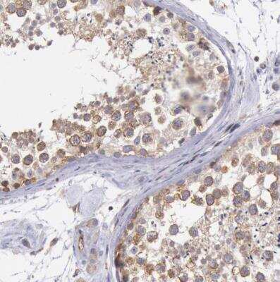
Immunohistochemistry-Paraffin: DRG1 Antibody [NBP1-82591]

Immunohistochemistry-Paraffin: DRG1 Antibody [NBP1-82591]

Immunohistochemistry-Paraffin: DRG1 Antibody [NBP1-82591] - Staining of human testis shows moderate cytoplasmic positivity in cells in seminiferous ducts.
Western Blot: DRG1 Antibody [NBP1-82591]

Western Blot: DRG1 Antibody [NBP1-82591]

Western Blot: DRG1 Antibody [NBP1-82591] - Lane 1: Marker [kDa] 207, 110, 79, 49, 32, 25, 17. Lane 2: Human cell line RT-4

Applications for DRG1 Antibody - BSA Free

Application
Recommended Usage

Immunohistochemistry

1:50 - 1:200

Immunohistochemistry-Paraffin

1:50 - 1:200

Western Blot

0.04-0.4 ug/ml
Application Notes
For IHC-Paraffin, HIER pH 6 retrieval is recommended.

Formulation, Preparation, and Storage

Purification

Affinity purified

Formulation

PBS (pH 7.2) and 40% Glycerol

Format

BSA Free

Preservative

0.02% Sodium Azide

Concentration

Concentrations vary lot to lot. See vial label for concentration. If unlisted please contact technical services.

Shipping

The product is shipped with polar packs. Upon receipt, store it immediately at the temperature recommended below.

Stability & Storage

Store at 4C short term. Aliquot and store at -20C long term. Avoid freeze-thaw cycles.

Background: DRG1

DRG1 may play a role in cell proliferation, differentiation and death

Alternate Names

developmentally regulated GTP binding protein 1, developmentally regulated GTP-binding protein 1, developmentally-regulated GTP-binding protein 1, DKFZp434N1827, DRG-1, NEDD3, NEDD-3, Neural precursor cell expressed developmentally down-regulated protein 3, neural precursor cell expressed, developmentally down-regulated 3

Gene Symbol

DRG1

Additional DRG1 Products

Product Documents for DRG1 Antibody - BSA Free

Certificate of Analysis

To download a Certificate of Analysis, please enter a lot number in the search box below.

Product Specific Notices for DRG1 Antibody - BSA Free

This product is for research use only and is not approved for use in humans or in clinical diagnosis. Primary Antibodies are guaranteed for 1 year from date of receipt.

Loading...
Loading...
Loading...
Loading...