Skip to main content

DPH2 Antibody (OTI4E7)

Novus Biologicals, part of Bio-Techne | Catalog # NBP2-03732

Novus Biologicals, part of Bio-Techne
Catalog #
Availability
Size / Price
Qty
Loading...
NBP2-03732

Key Product Details

Species Reactivity

Human, Mouse, Rat, Canine, Monkey

Applications

Immunohistochemistry, Immunohistochemistry-Paraffin, Western Blot, Flow Cytometry

Label

Unconjugated

Antibody Source

Monoclonal Mouse IgG1 Clone # OTI4E7

Concentration

1 mg/ml

Product Specifications

Immunogen

Full length human recombinant protein of human DPH2(NP_001375) produced in HEK293T cell.

Reactivity Notes

Please note that this antibody is reactive to Mouse and derived from the same host, Mouse. Mouse-On-Mouse blocking reagent may be needed for IHC and ICC experiments to reduce high background signal. You can find these reagents under catalog numbers PK-2200-NB and MP-2400-NB. Please contact Technical Support if you have any questions.

Clonality

Monoclonal

Host

Mouse

Isotype

IgG1

Theoretical MW

51.9 kDa.
Disclaimer note: The observed molecular weight of the protein may vary from the listed predicted molecular weight due to post translational modifications, post translation cleavages, relative charges, and other experimental factors.

Scientific Data Images for DPH2 Antibody (OTI4E7)

Western Blot: DPH2 Antibody (4E7) [NBP2-03732] Analysis of extracts (35ug) from 9 different cell lines by using anti-DPH2 monoclonal antibody (HepG2: human; HeLa: human; SVT2: mouse; A549: human; COS7: monkey; Jurkat: human; MDCK: canine; PC12: rat; MCF7: human).
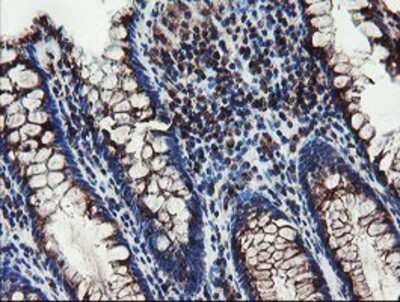
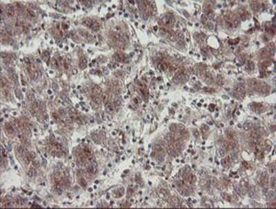
Immunohistochemistry-Paraffin: DPH2 Antibody (OTI4E7) [NBP2-03732]

Immunohistochemistry-Paraffin: DPH2 Antibody (OTI4E7) [NBP2-03732]

Immunohistochemistry-Paraffin: DPH2 Antibody (4E7) [NBP2-03732] - Staining of paraffin-embedded Human tonsil using anti-DPH2 mouse monoclonal antibody.
Flow Cytometry: DPH2 Antibody (OTI4E7) [NBP2-03732]

Flow Cytometry: DPH2 Antibody (OTI4E7) [NBP2-03732]

Flow Cytometry: DPH2 Antibody (4E7) [NBP2-03732] - HEK293T cells transfected with either overexpression plasmid (Red) or empty vector control plasmid (Blue) were immunostained by anti-DPH2 antibody, and then analyzed by flow cytometry.

Applications for DPH2 Antibody (OTI4E7)

Application
Recommended Usage

Flow Cytometry

1:100

Immunohistochemistry

1:150

Immunohistochemistry-Paraffin

1:150

Western Blot

1:500-2000

Formulation, Preparation, and Storage

Purification

Immunogen affinity purified

Formulation

PBS (pH 7.3), 1.0% BSA and 50% Glycerol

Preservative

0.02% Sodium Azide

Concentration

1 mg/ml

Shipping

The product is shipped with polar packs. Upon receipt, store it immediately at the temperature recommended below.

Stability & Storage

Store at -20C. Avoid freeze-thaw cycles.

Background: DPH2

This gene is one of two human genes similar to the yeast gene dph2. The yeast gene was identified by its ability to complement a diphthamide mutant strain, and thus probably functions in diphthamide biosynthesis. Diphthamide is a post-translationally modified histidine residue present in elongation factor 2 (EF2) that is the target of diphtheria toxin ADP-ribosylation. Two transcript variants encoding different isoforms have been found for this gene. [provided by RefSeq].

Alternate Names

diphthamide biosynthesis protein 2, Diphthamide biosynthesis protein 2 homolog-like 2, diptheria toxin resistance protein required for diphthamide biosynthesis-like 2, diptheria toxin resistance protein required for diphthamide biosynthesis-like 2(S. cerevisiae), DPH2 homolog, DPH2 homolog (S. cerevisiae), DPH2L2diphthamide biosynthesis-like protein 2, DPH2-like 2, DPH2-like 2 (S. cerevisiae), HsDph2

Entrez Gene IDs

1802 (Human)

Gene Symbol

DPH2

Additional DPH2 Products

Product Documents for DPH2 Antibody (OTI4E7)

Certificate of Analysis

To download a Certificate of Analysis, please enter a lot number in the search box below.

Product Specific Notices for DPH2 Antibody (OTI4E7)

This product is for research use only and is not approved for use in humans or in clinical diagnosis. Primary Antibodies are guaranteed for 1 year from date of receipt.

Loading...
Loading...
Loading...
Loading...
Loading...