Skip to main content

DOCK1 Antibody - BSA Free

Novus Biologicals, part of Bio-Techne | Catalog # NBP2-38586

Novus Biologicals, part of Bio-Techne
Catalog #
Availability
Size / Price
Qty
Loading...
NBP2-38586
NBP2-38586-25ul

Key Product Details

Species Reactivity

Human

Applications

Immunohistochemistry, Immunohistochemistry-Paraffin, Immunocytochemistry/ Immunofluorescence

Label

Unconjugated

Antibody Source

Polyclonal Rabbit IgG

Format

BSA Free

Concentration

Concentrations vary lot to lot. See vial label for concentration. If unlisted please contact technical services.

Product Specifications

Immunogen

This antibody was developed against a recombinant protein corresponding to amino acids: ILSETISPLRSQRPKSQVMNVIGSERRFSVSPSSPSSQQTPPPVTPRAKLSFSMQSSLELNGMTGTDVADVPPPLPLKGSVADYGNLMENQD

Reactivity Notes

Immunogen displays the following percentage of sequence identity for non-tested species: Mouse (89%), Rat (87%)

Clonality

Polyclonal

Host

Rabbit

Isotype

IgG

Description

Novus Biologicals Rabbit DOCK1 Antibody - BSA Free (NBP2-38586) is a polyclonal antibody validated for use in IHC and ICC/IF. All Novus Biologicals antibodies are covered by our 100% guarantee.

Scientific Data Images for DOCK1 Antibody - BSA Free

Immunocytochemistry/ Immunofluorescence: DOCK1 Antibody [NBP2-38586]

Immunocytochemistry/ Immunofluorescence: DOCK1 Antibody [NBP2-38586]

Immunocytochemistry/Immunofluorescence: DOCK1 Antibody [NBP2-38586] - Immunofluorescent staining of human cell line U-2 OS shows localization to nucleus.
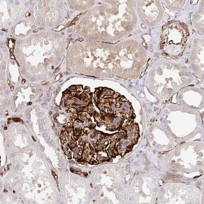
Immunohistochemistry: DOCK1 Antibody [NBP2-38586]

Immunohistochemistry: DOCK1 Antibody [NBP2-38586]

Immunohistochemistry: DOCK1 Antibody [NBP2-38586] - Staining of human kidney shows strong cytoplasmic positivity in cells in glomeruli.

Applications for DOCK1 Antibody - BSA Free

Application
Recommended Usage

Immunocytochemistry/ Immunofluorescence

0.25-2 ug/ml

Immunohistochemistry

1:1000 - 1:2500

Immunohistochemistry-Paraffin

1:1000 - 1:2500
Application Notes
For IHC-Paraffin, HIER pH 6 retrieval is recommended. Immunocytochemistry/Immunofluorescence Fixation Permeabilization: Use PFA/Triton X-100.

Formulation, Preparation, and Storage

Purification

Affinity purified

Formulation

PBS (pH 7.2) and 40% Glycerol

Format

BSA Free

Preservative

0.02% Sodium Azide

Concentration

Concentrations vary lot to lot. See vial label for concentration. If unlisted please contact technical services.

Shipping

The product is shipped with polar packs. Upon receipt, store it immediately at the temperature recommended below.

Stability & Storage

Store at 4C short term. Aliquot and store at -20C long term. Avoid freeze-thaw cycles.

Background: DOCK1

DOCK80 is a non-conventional Rho-guanine nucleotide exchange factor (Rho-GEF) that functions to activate the small GTPases Rac and Cdc42. It is a member of the CZH (CDM-zizimin homology) family of proteins that contain two highly conserved domains, CZH1 and CZH2. Dock180 functions to activate Rac and regulate cell adhesion, cell spreading, migration and phagocytosis.

Long Name

Dedicator of Cytokinesis Protein 1

Alternate Names

ced5, DOCK180

Gene Symbol

DOCK1

UniProt

Additional DOCK1 Products

Product Documents for DOCK1 Antibody - BSA Free

Certificate of Analysis

To download a Certificate of Analysis, please enter a lot number in the search box below.

Product Specific Notices for DOCK1 Antibody - BSA Free

This product is for research use only and is not approved for use in humans or in clinical diagnosis. Primary Antibodies are guaranteed for 1 year from date of receipt.

Loading...
Loading...
Loading...
Loading...