Skip to main content

DNMT3B Antibody - BSA Free

Novus Biologicals, part of Bio-Techne | Catalog # NBP1-85815

Novus Biologicals, part of Bio-Techne
Catalog #
Availability
Size / Price
Qty
Loading...
NBP1-85815
NBP1-85815-25ul

Key Product Details

Species Reactivity

Human

Applications

Immunohistochemistry, Immunohistochemistry-Paraffin, Western Blot, Immunocytochemistry/ Immunofluorescence

Label

Unconjugated

Antibody Source

Polyclonal Rabbit IgG

Format

BSA Free

Concentration

Concentrations vary lot to lot. See vial label for concentration. If unlisted please contact technical services.

Product Specifications

Immunogen

This antibody was developed against Recombinant Protein corresponding to amino acids: MEPSPEPPSLESMKGDTRHLNGEEDAGGREDSILVNGACSDQSSDSPPILEAIRTPEIRGRRSSSRLSKREVSSLLSYTQDLTGDGDGEDGDGSDTPVMPKLFRETRTRSESPAVRTRNNNSVSSRERHRPSPRSTRGRQGRNHVDES

Clonality

Polyclonal

Host

Rabbit

Isotype

IgG

Scientific Data Images for DNMT3B Antibody - BSA Free

Immunocytochemistry/ Immunofluorescence: DNMT3B Antibody [NBP1-85815]

Immunocytochemistry/ Immunofluorescence: DNMT3B Antibody [NBP1-85815]

Immunocytochemistry/Immunofluorescence: DNMT3B Antibody [NBP1-85815] - Staining of human cell line U-2 OS shows localization to nucleoplasm & vesicles. Antibody staining is shown in green.
DNMT3B Antibody - BSA Free Immunohistochemistry-Paraffin: DNMT3B Antibody - BSA Free [NBP1-85815]

Immunohistochemistry-Paraffin: DNMT3B Antibody - BSA Free [NBP1-85815]

Staining of human cerebral cortex shows strong nuclear positivity in a subset of neurons.
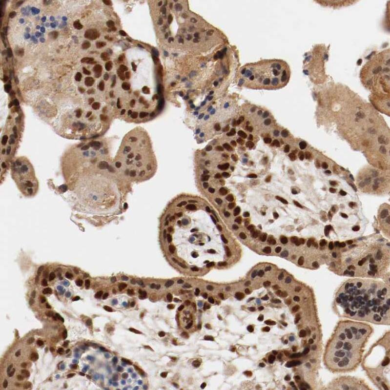
DNMT3B Antibody - BSA Free Immunohistochemistry-Paraffin: DNMT3B Antibody - BSA Free [NBP1-85815]

Immunohistochemistry-Paraffin: DNMT3B Antibody - BSA Free [NBP1-85815]

Staining of human placenta shows strong nuclear positivity in trophoblastic cells.

Applications for DNMT3B Antibody - BSA Free

Application
Recommended Usage

Immunocytochemistry/ Immunofluorescence

0.25-2 ug/ml

Immunohistochemistry

1:500 - 1:1000

Immunohistochemistry-Paraffin

1:500 - 1:1000

Western Blot

0.04-0.4 ug/ml
Application Notes
For IHC-Paraffin, HIER pH 6 retrieval is recommended. ICC/IF Fixation Permeabilization: PFA/Triton X-100

Formulation, Preparation, and Storage

Purification

Affinity purified

Formulation

PBS (pH 7.2) and 40% Glycerol

Format

BSA Free

Preservative

0.02% Sodium Azide

Concentration

Concentrations vary lot to lot. See vial label for concentration. If unlisted please contact technical services.

Shipping

The product is shipped with polar packs. Upon receipt, store it immediately at the temperature recommended below.

Stability & Storage

Store at 4C short term. Aliquot and store at -20C long term. Avoid freeze-thaw cycles.

Background: DNMT3B

DNA (cytosine-5)-methyltransferase 3B (DNAMT3b) is a C5-methyltransferase family member that is required for genome wide de novo methylation and is essential for the establishment of DNA methylation patterns during development.

Improper methylation patterns have been linked to certain human tumors and developmental abnormalities. DNMT3b antibodies are useful tools for DNA methlyation research and studies on certian cancer.

Long Name

DNA [Cytosine-5-]-Methyltransferase 3B

Alternate Names

ICF1, M.HsaIIIB

Gene Symbol

DNMT3B

Additional DNMT3B Products

Product Documents for DNMT3B Antibody - BSA Free

Certificate of Analysis

To download a Certificate of Analysis, please enter a lot number in the search box below.

Product Specific Notices for DNMT3B Antibody - BSA Free

This product is for research use only and is not approved for use in humans or in clinical diagnosis. Primary Antibodies are guaranteed for 1 year from date of receipt.

Loading...
Loading...
Loading...
Loading...