Skip to main content

Dkk-1 Antibody (2A5) - Azide and BSA Free

Novus Biologicals, part of Bio-Techne | Catalog # H00022943-M11

Novus Biologicals, part of Bio-Techne
Catalog #
Availability
Size / Price
Qty
Loading...
H00022943-M11

Key Product Details

Species Reactivity

Validated:

Human, Yeast

Cited:

Human

Applications

Validated:

Immunohistochemistry, Immunohistochemistry-Paraffin, Western Blot, ELISA, Immunocytochemistry/ Immunofluorescence, Immunoprecipitation, Microarray

Cited:

Western Blot, Immunocytochemistry/ Immunofluorescence

Label

Unconjugated

Antibody Source

Monoclonal Mouse IgG2b Kappa Clone # 2A5

Format

Azide and BSA Free

Concentration

Concentrations vary lot to lot. See vial label for concentration. If unlisted please contact technical services.

Product Specifications

Immunogen

DKK1 (AAH01539.1, 1 a.a. ~ 266 a.a) full-length recombinant protein with GST tag. MW of the GST tag alone is 26 KDa. MMALGAAGATRVSVAMVAAALGGHPLLGVSATLNSVLNSNAIKNLPPPLGGAAGHPGSAVSAAPGILYPGGNKYQTIDNYQPYPCAEDEECGTDEYCASPTRGGDAGVQICLACRKRRKRCMRHAMCCPGNYCKNGICVSSDQNHFRGEIEETITESFGNDHSTLDGYSRRTTLSSKMYHTTGQEGSVCLRSSDCASGLCCARHFWSKICKPVLKGGQVCTKHRRKGSHGLEIFQRCYCGEGLSCRIQKDHHQASNSSRLHTCQRH

Specificity

DKK1 - dickkopf homolog 1 (Xenopus laevis)

Clonality

Monoclonal

Host

Mouse

Isotype

IgG2b Kappa

Scientific Data Images for Dkk-1 Antibody (2A5) - Azide and BSA Free

Western Blot: Dkk-1 Antibody (2A5) [H00022943-M11]

Western Blot: Dkk-1 Antibody (2A5) [H00022943-M11]

Western Blot: Dkk-1 Antibody (2A5) [H00022943-M11] - Analysis of DKK1 expression in U-2 OS (Cat # L022V1).
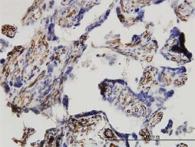
Immunohistochemistry-Paraffin: Dkk-1 Antibody (2A5) [H00022943-M11]

Immunohistochemistry-Paraffin: Dkk-1 Antibody (2A5) [H00022943-M11]

Immunohistochemistry-Paraffin: Dkk-1 Antibody (2A5) [H00022943-M11] - Analysis of monoclonal antibody to DKK1 on formalin-fixed paraffin-embedded human placenta. Antibody concentration 3 ug/ml
Immunoprecipitation: Dkk-1 Antibody (2A5) [H00022943-M11]

Immunoprecipitation: Dkk-1 Antibody (2A5) [H00022943-M11]

Immunoprecipitation: Dkk-1 Antibody (2A5) [H00022943-M11] - Analysis of DKK1 transfected lysate using anti-DKK1 monoclonal antibody and Protein A Magnetic Bead, and immunoblotted with DKK1 rabbit polyclonal antibody.

Applications for Dkk-1 Antibody (2A5) - Azide and BSA Free

Application
Recommended Usage

ELISA

1:100-1:2000

Immunocytochemistry/ Immunofluorescence

1:10-1:500

Immunohistochemistry

1:10-1:500

Immunohistochemistry-Paraffin

1:10-1:500

Immunoprecipitation

1:10-1:500

Western Blot

1:500
Application Notes
Antibody reactive against cell lysate for Western Blot. Has also been used for immunohistochemistry (paraffin) and ELISA. Immunocytochemistry/Immunofluorescence was reported in scientific literature.

Formulation, Preparation, and Storage

Purification

IgG purified

Formulation

In 1x PBS, pH 7.4

Format

Azide and BSA Free

Preservative

No Preservative

Concentration

Concentrations vary lot to lot. See vial label for concentration. If unlisted please contact technical services.

Shipping

The product is shipped with polar packs. Upon receipt, store it immediately at the temperature recommended below.

Stability & Storage

Aliquot and store at -20C or -80C. Avoid freeze-thaw cycles.

Background: Dkk-1

This gene encodes a protein that is a member of the dickkopf family. It is a secreted protein with two cysteine rich regions and is involved in embryonic development through its inhibition of the WNT signaling pathway. Elevated levels of DKK1 in bone marrow plasma and peripheral blood is associated with the presence of osteolytic bone lesions in patients with multiple myeloma.

Long Name

Dickkopf-1

Alternate Names

Dkk1

Entrez Gene IDs

22943 (Human)

Gene Symbol

DKK1

OMIM

605189 (Human)

Additional Dkk-1 Products

Product Documents for Dkk-1 Antibody (2A5) - Azide and BSA Free

Certificate of Analysis

To download a Certificate of Analysis, please enter a lot number in the search box below.

Product Specific Notices for Dkk-1 Antibody (2A5) - Azide and BSA Free

This product is produced by and distributed for Abnova, a company based in Taiwan.

This product is for research use only and is not approved for use in humans or in clinical diagnosis. Primary Antibodies are guaranteed for 1 year from date of receipt.

Loading...
Loading...
Loading...
Loading...