Skip to main content

DHRS9 Antibody - BSA Free

Novus Biologicals, part of Bio-Techne | Catalog # NBP1-89378

Novus Biologicals, part of Bio-Techne
Catalog #
Availability
Size / Price
Qty
Loading...
NBP1-89378

Key Product Details

Species Reactivity

Human

Applications

Immunohistochemistry, Immunohistochemistry-Paraffin

Label

Unconjugated

Antibody Source

Polyclonal Rabbit IgG

Format

BSA Free

Concentration

Concentrations vary lot to lot. See vial label for concentration. If unlisted please contact technical services.

Product Specifications

Immunogen

This antibody was developed against Recombinant Protein corresponding to amino acids: KSYVNMDLSPVVECMDHALTSLFPKTHYAAGKDAKIFWIPLSHMPAALQDFLLLKQKAELANPKA

Reactivity Notes

Immunogen displays the following percentage of sequence identity for non-tested species: Mouse (85%), Rat (85%)

Clonality

Polyclonal

Host

Rabbit

Isotype

IgG

Scientific Data Images for DHRS9 Antibody - BSA Free

DHRS9 Antibody - BSA Free Immunohistochemistry-Paraffin: DHRS9 Antibody - BSA Free [NBP1-89378]

Immunohistochemistry-Paraffin: DHRS9 Antibody - BSA Free [NBP1-89378]

Staining of human kidney shows moderate cytoplasmic positivity in cells in tubules.
DHRS9 Antibody - BSA Free Immunohistochemistry-Paraffin: DHRS9 Antibody - BSA Free [NBP1-89378]

Immunohistochemistry-Paraffin: DHRS9 Antibody - BSA Free [NBP1-89378]

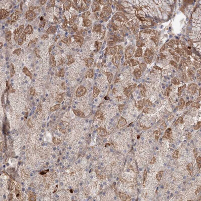
Staining of human stomach shows moderate cytoplasmic/membranous positivity in glandular cells.
DHRS9 Antibody - BSA Free Immunohistochemistry-Paraffin: DHRS9 Antibody - BSA Free [NBP1-89378]

Immunohistochemistry-Paraffin: DHRS9 Antibody - BSA Free [NBP1-89378]

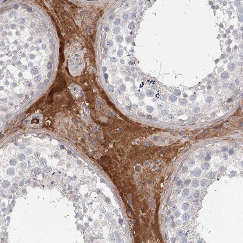
Staining of human testis shows strong cytoplasmic positivity in Leydig cells.

Applications for DHRS9 Antibody - BSA Free

Application
Recommended Usage

Immunohistochemistry

1:50 - 1:200

Immunohistochemistry-Paraffin

1:50 - 1:200
Application Notes
For IHC-Paraffin, HIER pH 6 retrieval is recommended.

Formulation, Preparation, and Storage

Purification

Affinity purified

Formulation

PBS (pH 7.2) and 40% Glycerol

Format

BSA Free

Preservative

0.02% Sodium Azide

Concentration

Concentrations vary lot to lot. See vial label for concentration. If unlisted please contact technical services.

Shipping

The product is shipped with polar packs. Upon receipt, store it immediately at the temperature recommended below.

Stability & Storage

Store at 4C short term. Aliquot and store at -20C long term. Avoid freeze-thaw cycles.

Background: DHRS9

3-alpha-hydroxysteroid dehydrogenase that converts 3-alpha-tetrahydroprogesterone (allopregnanolone) to dihydroxyprogesterone and 3-alpha-androstanediol to dihydroxyprogesterone. May play a role in the biosynthesis of retinoic acid from retinaldehyde, but seems to have low activity with retinoids. Can utilize both NADH and NADPH.

Alternate Names

dehydrogenase/reductase (SDR family) member 9,3alpha-HSD, EC 1.1, EC 1.1.1, EC 1.1.1.105, member 4,3-alpha-HSD, NADP-dependent retinol dehydrogenase/reductase, RDH15, RDH-E2, RDHL3ALPHA-HSD, RDHTBE

Gene Symbol

DHRS9

Additional DHRS9 Products

Product Documents for DHRS9 Antibody - BSA Free

Certificate of Analysis

To download a Certificate of Analysis, please enter a lot number in the search box below.

Product Specific Notices for DHRS9 Antibody - BSA Free

This product is for research use only and is not approved for use in humans or in clinical diagnosis. Primary Antibodies are guaranteed for 1 year from date of receipt.

Loading...
Loading...
Loading...
Loading...