Skip to main content

DGKH Antibody - BSA Free

Novus Biologicals, part of Bio-Techne | Catalog # NBP3-48019

Novus Biologicals, part of Bio-Techne
Catalog #
Availability
Size / Price
Qty
Loading...
NBP3-48019

Key Product Details

Species Reactivity

Human, Mouse, Rat

Applications

ELISA, Immunocytochemistry/ Immunofluorescence, Immunohistochemistry, Immunoprecipitation, Western Blot

Label

Unconjugated

Antibody Source

Polyclonal Rabbit IgG

Format

BSA Free

Concentration

Please see the vial label for concentration. If unlisted please contact technical services.

Product Specifications

Immunogen

diacylglycerol kinase, eta. (Uniprot# Q86XP1)

Clonality

Polyclonal

Host

Rabbit

Isotype

IgG

Theoretical MW

135 kDa.
Disclaimer note: The observed molecular weight of the protein may vary from the listed predicted molecular weight due to post translational modifications, post translation cleavages, relative charges, and other experimental factors.

Description

Novus Biologicals Rabbit DGKH Antibody - BSA Free (NBP3-48019) is a polyclonal antibody validated for use in IHC, WB, ELISA, ICC/IF and IP. All Novus Biologicals antibodies are covered by our 100% guarantee.

Scientific Data Images for DGKH Antibody - BSA Free

DGKH Antibody - BSA Free

Immunoprecipitation: DGKH Antibody - BSA Free [NBP3-48019] -

Immunoprecipitation: DGKH Antibody - BSA Free [NBP3-48019] - IP Result of anti-DGKH (IP:, 5ug; Detection: 1:500) with mouse brain tissue lysate 2640ug.
DGKH Antibody - BSA Free

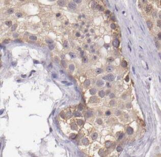
Immunohistochemistry: DGKH Antibody - BSA Free [NBP3-48019] -

Immunohistochemistry: DGKH Antibody - BSA Free [NBP3-48019] - Immunohistochemistry of paraffin-embedded human testis tissue slide using (DGKH Antibody) at dilution of 1:200
DGKH Antibody - BSA Free

Western Blot: DGKH Antibody - BSA Free [NBP3-48019] -

Western Blot: DGKH Antibody - BSA Free [NBP3-48019] - Mouse brain tissue were subjected to SDS PAGE followed by western blot with (DGKH antibody) at dilution of 1:300

Applications for DGKH Antibody - BSA Free

Application
Recommended Usage

Immunocytochemistry/ Immunofluorescence

1:50-1:500

Immunohistochemistry

1:50-1:500

Immunoprecipitation

1:200-1:2000

Western Blot

1:500-1:2000

Formulation, Preparation, and Storage

Purification

Immunogen affinity purified

Formulation

PBS, 50% Glycerol, pH (7.3)

Format

BSA Free

Preservative

0.02% Sodium Azide

Concentration

Please see the vial label for concentration. If unlisted please contact technical services.

Shipping

The product is shipped with polar packs. Upon receipt, store it immediately at the temperature recommended below.

Stability & Storage

Store at -20C. Avoid freeze-thaw cycles.

Background: DGKH

DGKH, also known as Diacylglycerol kinase eta, consists of four isoforms of sizes 134.9 kDa, 128 kDa, 122.4 kDa, and 120.6 kDa and is involved in activating the signaling pathway Ras/B-Raf/C-Raf/MEK/ERK in order to promote cell growth. Current research is exploring the effect of the protein on diseases and disorders such as measles, neuronitis, bipolar disorder, and schizophrenia. The protein interacts with AGPAT2, AGPAT4, CHPT1, ARRB1, and DGKD proteins while in hemostasis, signal transduction, and metabolic pathways.

Alternate Names

DAG kinase eta, DGKeta, DGK-eta, diacylglycerol kinase eta, diacylglycerol kinase, eta, Diglyceride kinase eta, DKFZp761I1510, EC 2.7.1.107

Gene Symbol

DGKH

Additional DGKH Products

Product Documents for DGKH Antibody - BSA Free

Certificate of Analysis

To download a Certificate of Analysis, please enter a lot number in the search box below.

Product Specific Notices for DGKH Antibody - BSA Free

This product is for research use only and is not approved for use in humans or in clinical diagnosis. Primary Antibodies are guaranteed for 1 year from date of receipt.

Loading...
Loading...
Loading...
Loading...