Skip to main content

Desmoglein-3 Antibody (DSG3/2840)

Novus Biologicals, part of Bio-Techne | Catalog # NBP3-07892

Novus Biologicals, part of Bio-Techne
Catalog #
Availability
Size / Price
Qty
Loading...
NBP3-07892-100ug
NBP3-07892-20ug

Key Product Details

Species Reactivity

Human

Applications

Immunohistochemistry-Paraffin, Protein Array

Label

Unconjugated

Antibody Source

Monoclonal Mouse IgG1 kappa Clone # DSG3/2840

Concentration

0.2 mg/ml

Product Specifications

Immunogen

Recombinant fragment (around aa 379-491) human Desmoglein-3 protein (exact sequence is proprietary) (Uniprot: P32926)

Localization

Cell Surface

Specificity

Recognizes a protein of 130kDa, identified as Desmoglein-3 (DSG3). This monoclonal antibody is highly specific to Desmoglein-3 and does not cross-react with other members of the Desmoglein-family. DSG3 is a calcium-binding transmembrane glycoprotein component of desmosomes in vertebrate epithelial cells. Research has shown that DSG3 has a very high sensitivity (80%) and specificity (100%) in recognizing squamous cell carcinoma (SqCC). Therefore, DSG3 is considered a very important marker for lung SqCC and can be a useful ancillary marker to separate SqCC from other subtypes of lung cancer. Moreover, studies have shown that DSG3 expression in lung SqCC may indicate a poor prognosis.

Marker

Squamous Cell Marker

Clonality

Monoclonal

Host

Mouse

Isotype

IgG1 kappa

Theoretical MW

130 kDa.
Disclaimer note: The observed molecular weight of the protein may vary from the listed predicted molecular weight due to post translational modifications, post translation cleavages, relative charges, and other experimental factors.

Description

200ug/ml of antibody purified from Bioreactor Concentrate by Protein A or G. Prepared in 10 mM PBS with 0.05% BSA & 0.05% azide. Also available WITHOUT BSA & azide at 1.0 mg/ml. (NBP3-08509)

Antibody with azide - store at 2 to 8C. Antibody without azide - store at -20 to -80C.

Scientific Data Images for Desmoglein-3 Antibody (DSG3/2840)

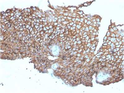
Immunohistochemistry-Paraffin: Desmoglein-3 Antibody (DSG3/2840) [NBP3-07892]

Immunohistochemistry-Paraffin: Desmoglein-3 Antibody (DSG3/2840) [NBP3-07892]

Immunohistochemistry-Paraffin: Desmoglein-3 Antibody (DSG3/2840) [NBP3-07892] - Formalin-fixed, paraffin-embedded human Esophageal Carcinoma stained with Desmoglein-3 Mouse Monoclonal Antibody (DSG3/2840).
Immunohistochemistry-Paraffin: Desmoglein-3 Antibody (DSG3/2840) [NBP3-07892]

Immunohistochemistry-Paraffin: Desmoglein-3 Antibody (DSG3/2840) [NBP3-07892]

Immunohistochemistry-Paraffin: Desmoglein-3 Antibody (DSG3/2840) [NBP3-07892] - Formalin-fixed, paraffin-embedded human Esophageal Carcinoma stained with Desmoglein-3 Mouse Monoclonal Antibody (DSG3/2840).
Protein Array: Desmoglein-3 Antibody (DSG3/2840) [NBP3-07892]

Protein Array: Desmoglein-3 Antibody (DSG3/2840) [NBP3-07892]

Protein Array: Desmoglein-3 Antibody (DSG3/2840) [NBP3-07892] - Analysis of Protein Array containing more than 19,000 full-length human proteins using Desmoglein-3 Mouse Monoclonal Antibody (DSG3/2840).

Applications for Desmoglein-3 Antibody (DSG3/2840)

Application
Recommended Usage

Immunohistochemistry-Paraffin

1-2 ug/ml
Application Notes
Immunohistochemistry (Formalin-fixed): 1-2ug/ml for 30 minutes at RT. Staining of formalin-fixed tissues requires heating tissue sections in 10mM Tris with 1mM EDTA, pH 9.0, for 45 min at 95C followed by cooling at RT for 20 minutes.
Optimal dilution for a specific application should be determined.

Formulation, Preparation, and Storage

Purification

Protein A or G purified

Formulation

10 mM PBS with 0.05% BSA

Preservative

0.05% Sodium Azide

Concentration

0.2 mg/ml

Shipping

The product is shipped with polar packs. Upon receipt, store it immediately at the temperature recommended below.

Stability & Storage

Store at 4C.

Background: Desmoglein-3

Desmoglein 3 is a calcium-binding transmembrane glycoprotein component of desmosomes in vertebrate epithelial cells. Currently, three desmoglein subfamily members have been identified and all are members of the cadherin cell adhesion molecule superfamily. These desmoglein gene family members are located in a cluster on chromosome 18. This protein has been identified as the autoantigen of the autoimmune skin blistering disease pemphigus vulgaris.

Alternate Names

CDHF6, Desmoglein3, DSG3

Gene Symbol

DSG3

UniProt

Additional Desmoglein-3 Products

Product Documents for Desmoglein-3 Antibody (DSG3/2840)

Certificate of Analysis

To download a Certificate of Analysis, please enter a lot number in the search box below.

Product Specific Notices for Desmoglein-3 Antibody (DSG3/2840)

This product is for research use only and is not approved for use in humans or in clinical diagnosis. Primary Antibodies are guaranteed for 1 year from date of receipt.

Loading...
Loading...
Loading...
Loading...