dedicator of cytokinesis 8 Antibody (OTI12D7)
Novus Biologicals, part of Bio-Techne | Catalog # NBP2-46470
Conjugate
Catalog #
Forumulation
Catalog #
Key Product Details
Species Reactivity
Human, Mouse, Rat
Applications
Immunohistochemistry, Immunohistochemistry-Paraffin, Western Blot
Label
Unconjugated
Antibody Source
Monoclonal Mouse IgG1 Clone # OTI12D7
Concentration
1 mg/ml
Product Specifications
Immunogen
Human recombinant protein fragment corresponding to amino acids 84-405 of human DOCK8 (NP_982272) produced in E.coli.
Reactivity Notes
Please note that this antibody is reactive to Mouse and derived from the same host, Mouse. Mouse-On-Mouse blocking reagent may be needed for IHC and ICC experiments to reduce high background signal. You can find these reagents under catalog numbers PK-2200-NB and MP-2400-NB. Please contact Technical Support if you have any questions.
Clonality
Monoclonal
Host
Mouse
Isotype
IgG1
Theoretical MW
238.3 kDa.
Disclaimer note: The observed molecular weight of the protein may vary from the listed predicted molecular weight due to post translational modifications, post translation cleavages, relative charges, and other experimental factors.
Disclaimer note: The observed molecular weight of the protein may vary from the listed predicted molecular weight due to post translational modifications, post translation cleavages, relative charges, and other experimental factors.
Scientific Data Images for dedicator of cytokinesis 8 Antibody (OTI12D7)
Western Blot: dedicator of cytokinesis 8 Antibody (OTI12D7) [NBP2-46470]
Western Blot: dedicator of cytokinesis 8 Antibody (12D7) [NBP2-46470] - Analysis of HEK293T cells were transfected with the pCMV6-ENTRY control (Left lane) or pCMV6-ENTRY cytokinesis 8.Immunohistochemistry: dedicator of cytokinesis 8 Antibody (OTI12D7) [NBP2-46470]
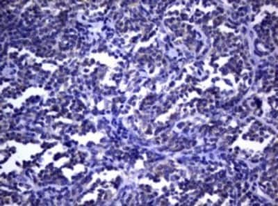
Immunohistochemistry: dedicator of cytokinesis 8 Antibody (12D7) [NBP2-46470] - Analysis of Human lymphoma tissue. (Heat-induced epitope retrieval by 1 mM EDTA in 10mM Tris, pH9.0, 120C for 3min)Immunohistochemistry: dedicator of cytokinesis 8 Antibody (OTI12D7) [NBP2-46470]
Immunohistochemistry: dedicator of cytokinesis 8 Antibody (12D7) [NBP2-46470] - Analysis of Human liver tissue. (Heat-induced epitope retrieval by 1 mM EDTA in 10mM Tris, pH9.0, 120C for 3min)Applications for dedicator of cytokinesis 8 Antibody (OTI12D7)
Application
Recommended Usage
Immunohistochemistry
1:150
Western Blot
1:2000
Formulation, Preparation, and Storage
Purification
Immunogen affinity purified
Formulation
PBS (pH 7.3), 1.0% BSA and 50% Glycerol
Preservative
0.02% Sodium Azide
Concentration
1 mg/ml
Shipping
The product is shipped with polar packs. Upon receipt, store it immediately at the temperature recommended below.
Stability & Storage
Store at -20C. Avoid freeze-thaw cycles.
Background: dedicator of cytokinesis 8
Alternate Names
dedicator of cytokinesis 8, FLJ00026, FLJ00346
Gene Symbol
DOCK8
Additional dedicator of cytokinesis 8 Products
Product Documents for dedicator of cytokinesis 8 Antibody (OTI12D7)
Product Specific Notices for dedicator of cytokinesis 8 Antibody (OTI12D7)
This product is for research use only and is not approved for use in humans or in clinical diagnosis. Primary Antibodies are guaranteed for 1 year from date of receipt.
Loading...
Loading...
Loading...
Loading...