Skip to main content

DEC1 Antibody - BSA Free

Novus Biologicals, part of Bio-Techne | Catalog # NB100-1800

Novus Biologicals, part of Bio-Techne

Key Product Details

Validated by

Knockout/Knockdown, Biological Validation

Species Reactivity

Validated:

Human, Mouse, Rat

Cited:

Human, Mouse

Applications

Validated:

Immunohistochemistry, Immunohistochemistry-Paraffin, Western Blot, Immunoblotting, ELISA, Flow Cytometry, Immunocytochemistry/ Immunofluorescence, Simple Western, Immunoprecipitation, Chromatin Immunoprecipitation, Chromatin Immunoprecipitation (ChIP), Chromatin Immunoprecipitation Sequencing, Knockdown Validated

Cited:

Immunohistochemistry, Immunohistochemistry-Paraffin, Western Blot, Flow Cytometry, Simple Western, Chromatin Immunoprecipitation (ChIP), Chemotaxis, Chip Cytometry, IF/IHC

Label

Unconjugated

Antibody Source

Polyclonal Rabbit IgG

Format

BSA Free

Concentration

1 mg/ml

Product Specifications

Immunogen

Synthetic peptide made to a C-terminal region of human DEC1 (between amino acids 350-412) [UniProt O14503]

Reactivity Notes

Mouse reactivity reported in scientific literature (PMID: 26834156).

Localization

Nucleus

Clonality

Polyclonal

Host

Rabbit

Isotype

IgG

Theoretical MW

46 kDa.
Disclaimer note: The observed molecular weight of the protein may vary from the listed predicted molecular weight due to post translational modifications, post translation cleavages, relative charges, and other experimental factors.

Description

Novus Biologicals Rabbit DEC1 Antibody - BSA Free (NB100-1800) is a polyclonal antibody validated for use in IHC, WB, ELISA, Flow, ICC/IF, Simple Western, IP and ChIP. Anti-DEC1 Antibody: Cited in 39 publications. All Novus Biologicals antibodies are covered by our 100% guarantee.

Scientific Data Images for DEC1 Antibody - BSA Free

Western Blot: DEC1 AntibodyBSA Free [NB100-1800]

Western Blot: DEC1 AntibodyBSA Free [NB100-1800]

Western Blot: DEC1 Antibody - BSA Free [NB100-1800] - Western Blot Image of anti-DEC1. Whole cell protein from A431 (lane 1) and PC3 (lane 2) was separated on a 12% gel by SDS-PAGE, transferred to PVDF membrane and blocked in 5% non-fat milk in TBST. The membrane was probed with 2 ug/ml anti-DEC1 in 1% milk, and detected with an anti-rabbit HRP secondary antibody using chemiluminescence.
Immunocytochemistry/ Immunofluorescence: DEC1 Antibody - BSA Free [NB100-1800]

Immunocytochemistry/ Immunofluorescence: DEC1 Antibody - BSA Free [NB100-1800]

Immunocytochemistry/Immunofluorescence: DEC1 Antibody - BSA Free [NB100-1800] - HeLa cells were fixed for 10 minutes using 10% formalin and then permeabilized for 5 minutes using 1X TBS + 0.5% Triton-X100. The cells were incubated with anti-DEC1 (NB100-1800) at a 1:200 dilution overnight at 4C and detected with and anti-rabbit Dylight 488 (Green) at a 1:500 dilution. Alpha tubulin was used as a co-stain at a 1:1000 dilution and detected with and anti-mouse Dylight 550 (Red) at a 1:500 dilution. Nuclei were counterstained with DAPI (Blue). Cells were imaged using a 40X objective.
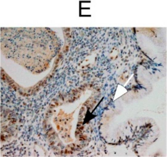
Immunohistochemistry: DEC1 Antibody - BSA Free [NB100-1800]

Immunohistochemistry: DEC1 Antibody - BSA Free [NB100-1800]

DEC1-Antibody---BSA-Free-Immunohistochemistry-NB100-1800-img0017.jpg

Applications for DEC1 Antibody - BSA Free

Application
Recommended Usage

Chromatin Immunoprecipitation

reported in scientific literature (PMID 29715265)

Chromatin Immunoprecipitation (ChIP)

reported in scientific literature (PMID 31061528)

Chromatin Immunoprecipitation Sequencing

reported in scientific literature (PMID 31061528)

ELISA

reported in scientific literature (PMID 31061528)

Flow Cytometry

2-5 ug/ml

Immunoblotting

1:500-1:1500

Immunocytochemistry/ Immunofluorescence

1:500 - 1:1000

Immunohistochemistry

1:200 - 1:500

Immunohistochemistry-Paraffin

1:200 - 1:500

Simple Western

1:50

Western Blot

1:500-1:1500
Application Notes
In Western Blot, a band is seen approx. 49 kDa. In ICC/IF punctate nuclear staining is observed.

In Simple Western only 10 - 15 uL of the recommended dilution is used per data point.
See Simple Western Antibody Database for Simple Western validation: separated by Size, antibody dilution of 1:50. Separated by Size-Wes, Sally Sue/Peggy Sue.

Reviewed Applications

Read 2 reviews rated 5 using NB100-1800 in the following applications:

Formulation, Preparation, and Storage

Purification

Immunogen affinity purified

Formulation

PBS

Format

BSA Free

Preservative

0.02% Sodium Azide

Concentration

1 mg/ml

Shipping

The product is shipped with polar packs. Upon receipt, store it immediately at the temperature recommended below.

Stability & Storage

Store at 4C short term. Aliquot and store at -20C long term. Avoid freeze-thaw cycles.

Background: DEC1

The basic helix-loop-helix (bHLH) transcription factor DEC1 (differentially expressed in chondrocytes protein 1) is wildly expressed in most normal tissues in a proportion of cells, whereas in tumors, its expression gets upregulated (potentially by hypoxia) in several malignancies such as breast, stomach, colon, lung, liver cancer and pancreatic ductal adenocarcinoma. The gene expression of DEC1 is regulated by various extracellular stimuli in a cell type-specific manner. Localized in the nucleus, it can homodimerize or heterodimerize with TCF3/E47, and interacts with ubiquitin-conjugating enzyme UBE2I/UBC9. DEC1 has emerged as one of the major circadian molecules alongwith its involvement in homeostasis of metabolism and energy. DEC1 has been shown to play a key role in various biological phenomena such as circadian rhythms, neurogenesis, neuroregulation, chondrogenesis, cellular growth, carcinogenesis, immune response balance as well as cellular senescence.

Alternate Names

basic helix-loop-helix domain containing, class B, 2, basic helix-loop-helix family, member e40, bHLHb2, bHLHe40, Class B basic helix-loop-helix protein 2, class E basic helix-loop-helix protein 40, DEC1HLHB2, differentially expressed in chondrocytes 1, Differentially expressed in chondrocytes protein 1, differentiated embryo chondrocyte expressed gene 1, Enhancer-of-split and hairy-related protein 2, SHARP2, SHARP-2, Stimulated by retinoic acid gene 13 protein, STRA13FLJ99214, Stra14

Entrez Gene IDs

8553 (Human)

Gene Symbol

BHLHE40

UniProt

Additional DEC1 Products

Product Documents for DEC1 Antibody - BSA Free

Certificate of Analysis

To download a Certificate of Analysis, please enter a lot number in the search box below.

Product Specific Notices for DEC1 Antibody - BSA Free

This product is for research use only and is not approved for use in humans or in clinical diagnosis. Primary Antibodies are guaranteed for 1 year from date of receipt.

Loading...
Loading...
Loading...
Loading...
Loading...