Skip to main content

DDX24 Antibody - BSA Free

Novus Biologicals, part of Bio-Techne | Catalog # NBP1-89472

Novus Biologicals, part of Bio-Techne
Catalog #
Availability
Size / Price
Qty
Loading...
NBP1-89472
NBP1-89472-25ul

Key Product Details

Species Reactivity

Human

Applications

Immunohistochemistry, Immunohistochemistry-Paraffin, Immunocytochemistry/ Immunofluorescence

Label

Unconjugated

Antibody Source

Polyclonal Rabbit IgG

Format

BSA Free

Concentration

Concentrations vary lot to lot. See vial label for concentration. If unlisted please contact technical services.

Product Specifications

Immunogen

This antibody was developed against Recombinant Protein corresponding to amino acids: FPVQTKYMDVVKERIRLARQIEKSEYRNFQACLHNSWIEQAAAALEIELEEDMYKGGKADQQEERRRQKQMKVLKKELRHLLSQPLFTESQKTKYPTQSGKPPLLVSAPSKSESALSCLSKQKKKKTKKPKE

Reactivity Notes

Immunogen displays the following percentage of sequence identity for non-tested species: Mouse (83%), Rat (83%). Reactivity reported in scientific literature (PMID: 23435261).

Clonality

Polyclonal

Host

Rabbit

Isotype

IgG

Scientific Data Images for DDX24 Antibody - BSA Free

DDX24 Antibody - BSA Free Immunocytochemistry/ Immunofluorescence: DDX24 Antibody - BSA Free [NBP1-89472]

Immunocytochemistry/ Immunofluorescence: DDX24 Antibody - BSA Free [NBP1-89472]

Staining of human cell line U-2 OS shows positivity in nucleoli & cytoplasm.
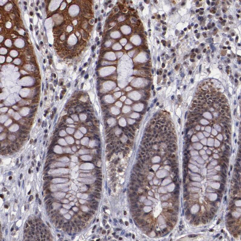
DDX24 Antibody - BSA Free Immunohistochemistry-Paraffin: DDX24 Antibody - BSA Free [NBP1-89472]

Immunohistochemistry-Paraffin: DDX24 Antibody - BSA Free [NBP1-89472]

Staining of human rectum shows moderate positivity in nucleoli and cytoplasm in glandular cells.
DDX24 Antibody - BSA Free Immunohistochemistry-Paraffin: DDX24 Antibody - BSA Free [NBP1-89472]

Immunohistochemistry-Paraffin: DDX24 Antibody - BSA Free [NBP1-89472]

Staining of human cerebral cortex shows strong nuclear positivity in neurons.

Applications for DDX24 Antibody - BSA Free

Application
Recommended Usage

Immunocytochemistry/ Immunofluorescence

0.25-2 ug/ml

Immunohistochemistry

1:50 - 1:200

Immunohistochemistry-Paraffin

1:50 - 1:200
Application Notes
For IHC-Paraffin, HIER pH 6 retrieval is recommended. ICC/IF Fixation Permeabilization: Use PFA/Triton X-100.

Formulation, Preparation, and Storage

Purification

Affinity purified

Formulation

PBS (pH 7.2) and 40% Glycerol

Format

BSA Free

Preservative

0.02% Sodium Azide

Concentration

Concentrations vary lot to lot. See vial label for concentration. If unlisted please contact technical services.

Shipping

The product is shipped with polar packs. Upon receipt, store it immediately at the temperature recommended below.

Stability & Storage

Store at 4C short term. Aliquot and store at -20C long term. Avoid freeze-thaw cycles.

Background: DDX24

DDX24, also known as ATP-dependent RNA helicase DDX24, is a 96.3 kDa 859 amino acid protein and is involved in unwinding and altering the secondary structure of RNA as a part of the DEAD box protein family. Current research is being conducted with diseases and disorders such as malaria, hepatitis, and immunodeficiency. The protein interacts in the RNA metabolic process pathway with IDO1, RAE1, EIF3E, BCS1L, and MRPL4.

Alternate Names

ATP-dependent RNA helicase DDX24, DEAD (Asp-Glu-Ala-Asp) box polypeptide 24, DEAD box protein 24, DEAD/H (Asp-Glu-Ala-Asp/His) box polypeptide 24, EC 3.6.1, EC 3.6.4.13, S. cerevisiae CHL1-like helicase

Gene Symbol

DDX24

Additional DDX24 Products

Product Documents for DDX24 Antibody - BSA Free

Certificate of Analysis

To download a Certificate of Analysis, please enter a lot number in the search box below.

Product Specific Notices for DDX24 Antibody - BSA Free

This product is for research use only and is not approved for use in humans or in clinical diagnosis. Primary Antibodies are guaranteed for 1 year from date of receipt.

Loading...
Loading...
Loading...
Loading...