Skip to main content

DDX17 Antibody (JE35-01)

Novus Biologicals, part of Bio-Techne | Catalog # NBP3-32261

Recombinant Monoclonal Antibody
Novus Biologicals, part of Bio-Techne
Catalog #
Availability
Size / Price
Qty
Loading...
NBP3-32261

Key Product Details

Species Reactivity

Human, Rat

Applications

Immunohistochemistry, Immunohistochemistry-Paraffin, Western Blot, Flow Cytometry, Immunocytochemistry/ Immunofluorescence

Label

Unconjugated

Antibody Source

Recombinant Monoclonal Rabbit IgG Clone # JE35-01 expressed in HEK293

Concentration

1 mg/ml

Product Specifications

Immunogen

Synthetic peptide within Human DDX17 aa 100-200. (Uniprot: Q92841)

Localization

Nucleus, nucleolus, Cytoplasm, cytosol.

Clonality

Monoclonal

Host

Rabbit

Isotype

IgG

Theoretical MW

80 kDa.
Disclaimer note: The observed molecular weight of the protein may vary from the listed predicted molecular weight due to post translational modifications, post translation cleavages, relative charges, and other experimental factors.

Description

Novus Biologicals Rabbit DDX17 Antibody (JE35-01) (NBP3-32261) is a recombinant monoclonal antibody validated for use in IHC, WB, Flow and ICC/IF. All Novus Biologicals antibodies are covered by our 100% guarantee.

Scientific Data Images for DDX17 Antibody (JE35-01)

DDX17 Antibody (JE35-01)

Western Blot: DDX17 Antibody (JE35-01) [NBP3-32261]

Western Blot: DDX17 Antibody (JE35-01) [NBP3-32261] - Western blot analysis of DDX17 on different lysates with Rabbit anti-DDX17 antibody (NBP3-32261) at 1/1,000 dilution.

Lane 1: HEK-293 cell lysate
Lane 2: HeLa cell lysate
Lane 3: K-562 cell lysate
Lane 4: MCF7 cell lysate
Lane 5: SK-OV-3 cell lysate

Lysates/proteins at 20 ug/Lane.

Predicted band size: 80 kDa
Observed band size: 70/75 kDa

Exposure time: 1 minute 21 seconds;

4-20% SDS-PAGE gel.

Proteins were transferred to a PVDF membrane and blocked with 5% NFDM/TBST for 1 hour at room temperature. The primary antibody (NBP3-32261) at 1/1,000 dilution was used in 5% NFDM/TBST at room temperature for 2 hours. Goat Anti-Rabbit IgG - HRP Secondary Antibody at 1:100,000 dilution was used for 1 hour at room temperature.
DDX17 Antibody (JE35-01)

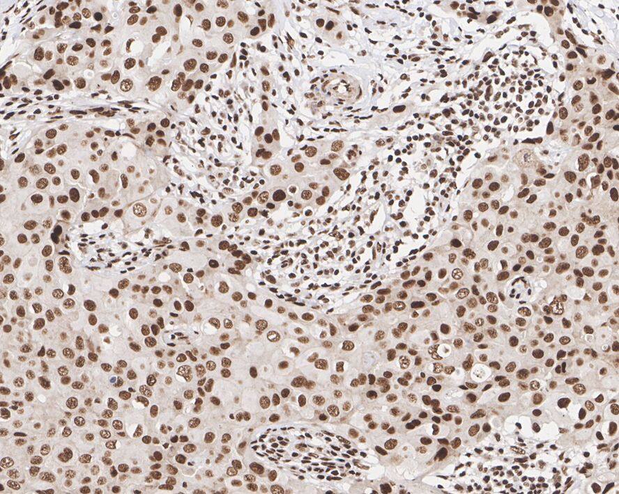
Immunohistochemistry: DDX17 Antibody (JE35-01) [NBP3-32261]

Immunohistochemistry: DDX17 Antibody (JE35-01) [NBP3-32261] - Immunohistochemical analysis of paraffin-embedded human breast carcinoma tissue with Rabbit anti-DDX17 antibody (NBP3-32261) at 1/2,000 dilution.

The section was pre-treated using heat mediated antigen retrieval with sodium citrate buffer (pH 6.0) for 2 minutes. The tissues were blocked in 1% BSA for 20 minutes at room temperature, washed with ddH2O and PBS, and then probed with the primary antibody (NBP3-32261) at 1/2,000 dilution for 1 hour at room temperature. The detection was performed using an HRP conjugated compact polymer system. DAB was used as the chromogen. Tissues were counterstained with hematoxylin and mounted with DPX.
DDX17 Antibody (JE35-01)

Immunocytochemistry/ Immunofluorescence: DDX17 Antibody (JE35-01) [NBP3-32261]

Immunocytochemistry/ Immunofluorescence: DDX17 Antibody (JE35-01) [NBP3-32261] - Immunocytochemistry analysis of MCF7 cells labeling DDX17 with Rabbit anti-DDX17 antibody (NBP3-32261) at 1/100 dilution.

Cells were fixed in 4% paraformaldehyde for 20 minutes at room temperature, permeabilized with 0.1% Triton X-100 in PBS for 5 minutes at room temperature, then blocked with 1% BSA in 10% negative goat serum for 1 hour at room temperature. Cells were then incubated with Rabbit anti-DDX17 antibody (NBP3-32261) at 1/100 dilution in 1% BSA in PBST overnight at 4 ℃. Goat Anti-Rabbit IgG H&L (iFluor™ 488) was used as the secondary antibody at 1/1,000 dilution. PBS instead of the primary antibody was used as the secondary antibody only control. Nuclear DNA was labelled in blue with DAPI.

Beta tubulin (red) was stained at 1/100 dilution overnight at +4℃. Goat Anti-Mouse IgG H&L (iFluor™ 594) was used as the secondary antibody at 1/1,000 dilution.

Applications for DDX17 Antibody (JE35-01)

Application
Recommended Usage

Flow Cytometry

1:500-1:1000

Immunocytochemistry/ Immunofluorescence

1:100

Immunohistochemistry-Paraffin

1:2000

Western Blot

1:1000

Formulation, Preparation, and Storage

Purification

Protein A purified

Formulation

1*TBS (pH7.4), 0.05% BSA and 40% Glycerol

Preservative

0.05% Sodium Azide

Concentration

1 mg/ml

Shipping

The product is shipped with polar packs. Upon receipt, store it immediately at the temperature recommended below.

Stability & Storage

Store at 4C short term. Aliquot and store at -20C long term. Avoid freeze-thaw cycles.

Background: DDX17

DDX17 (p72) is a highly related member of the DEAD box family and is an established RNA helicase. It has been implicated in growth regulation and has been shown to be involved in both pre-mRNA and pre-rRNA processing. This protein has also been reported to act as a transcriptional co-activator for estrogen-receptor alpha (ER ) and shown to interact with co-activators p300/CBP and the RNA polymerase II holoenzyme.

Long Name

DEAD Box Protein 17

Alternate Names

p72, RH70

Gene Symbol

DDX17

Additional DDX17 Products

Product Documents for DDX17 Antibody (JE35-01)

Certificate of Analysis

To download a Certificate of Analysis, please enter a lot number in the search box below.

Product Specific Notices for DDX17 Antibody (JE35-01)

This product is for research use only and is not approved for use in humans or in clinical diagnosis. Primary Antibodies are guaranteed for 1 year from date of receipt.

Loading...
Loading...
Loading...
Loading...
Loading...