Skip to main content

Dcp1a Antibody (2F11) - Azide and BSA Free

Novus Biologicals, part of Bio-Techne | Catalog # H00055802-M02

Novus Biologicals, part of Bio-Techne
Catalog #
Availability
Size / Price
Qty
Loading...
H00055802-M02

Key Product Details

Species Reactivity

Human

Applications

ELISA, Immunocytochemistry/ Immunofluorescence, Western Blot

Label

Unconjugated

Antibody Source

Monoclonal Mouse IgG1 kappa Clone # 2F11

Format

Azide and BSA Free

Concentration

Concentrations vary lot to lot. See vial label for concentration. If unlisted please contact technical services.

Product Specifications

Immunogen

DCP1A (NP_060873, 186 a.a. ~ 285 a.a) partial recombinant protein with GST tag. MW of the GST tag alone is 26 KDa. STQLSNLGSTETLEEMPSGSQDKSAPSGHKHLTVEELFGTSLPKEQPAVVGLDSEEMERLPGDASQKEPNSFLPFPFEQLGGAPQSETLGVPSAAHHSVQ

Specificity

DCP1A - DCP1 decapping enzyme homolog A (S. cerevisiae) (2F11)

Clonality

Monoclonal

Host

Mouse

Isotype

IgG1 kappa

Description

Novus Biologicals Mouse Dcp1a Antibody (2F11) - Azide and BSA Free (H00055802-M02) is a monoclonal antibody validated for use in WB, ELISA and ICC/IF. All Novus Biologicals antibodies are covered by our 100% guarantee.

Scientific Data Images for Dcp1a Antibody (2F11) - Azide and BSA Free

Western Blot: Dcp1a Antibody (2F11) [H00055802-M02]

Western Blot: Dcp1a Antibody (2F11) [H00055802-M02]

Western Blot: Dcp1a Antibody (2F11) [H00055802-M02] - DCP1A monoclonal antibody (M02), clone 2F11. Analysis of DCP1A expression in IMR-32.
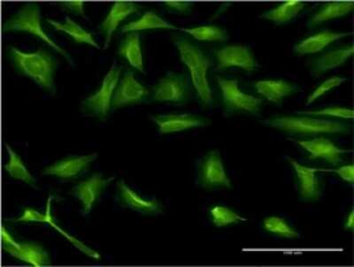
Immunocytochemistry/ Immunofluorescence: Dcp1a Antibody (2F11) [H00055802-M02]

Immunocytochemistry/ Immunofluorescence: Dcp1a Antibody (2F11) [H00055802-M02]

Immunocytochemistry/Immunofluorescence: Dcp1a Antibody (2F11) [H00055802-M02] - Analysis of monoclonal antibody to DCP1A on HeLa cell . Antibody concentration 10 ug/ml.

Applications for Dcp1a Antibody (2F11) - Azide and BSA Free

Application
Recommended Usage

Western Blot

1:500
Application Notes
Antibody reactive against cell lysate and recombinant protein for western blot. It has also been used for ELISA.

Formulation, Preparation, and Storage

Purification

IgG purified

Formulation

In 1x PBS, pH 7.4

Format

Azide and BSA Free

Preservative

No Preservative

Concentration

Concentrations vary lot to lot. See vial label for concentration. If unlisted please contact technical services.

Shipping

The product is shipped with polar packs. Upon receipt, store it immediately at the temperature recommended below.

Stability & Storage

Aliquot and store at -20C or -80C. Avoid freeze-thaw cycles.

Background: Dcp1a

Decapping is a key step in general and regulated mRNA decay. The protein encoded by this gene is a decapping enzyme. This protein and another decapping enzyme form a decapping complex, which interacts with the nonsense-mediated decay factor hUpf1 and may be recruited to mRNAs containing premature termination codons. This protein also participates in the TGF-beta signaling pathway. [provided by RefSeq]

Alternate Names

DCP1 decapping enzyme homolog A (S. cerevisiae), decapping enzyme hDcp1a, EC 3.-, FLJ21691, mRNA-decapping enzyme 1A, Nbla00360, putative protein product of Nbla00360, Smad4-interacting transcriptional co-activator, SMAD4IP1, SMIFHSA275986, Transcription factor SMIF

Entrez Gene IDs

55802 (Human)

Gene Symbol

DCP1A

Additional Dcp1a Products

Product Documents for Dcp1a Antibody (2F11) - Azide and BSA Free

Certificate of Analysis

To download a Certificate of Analysis, please enter a lot number in the search box below.

Product Specific Notices for Dcp1a Antibody (2F11) - Azide and BSA Free

This product is produced by and distributed for Abnova, a company based in Taiwan.

This product is for research use only and is not approved for use in humans or in clinical diagnosis. Primary Antibodies are guaranteed for 1 year from date of receipt.

Loading...
Loading...
Loading...
Loading...