Skip to main content

DCLK1 Antibody (C8) - BSA Free

Novus Biologicals, part of Bio-Techne | Catalog # NBP3-41776

Novus Biologicals, part of Bio-Techne
Catalog #
Availability
Size / Price
Qty
Loading...
NBP3-41776

Key Product Details

Species Reactivity

Human, Porcine

Applications

Immunohistochemistry, Immunohistochemistry-Paraffin, Western Blot

Label

Unconjugated

Antibody Source

Monoclonal Mouse IgG2b Kappa Clone # C8

Format

BSA Free

Concentration

0.86 mg/ml

Product Specifications

Immunogen

Immunized with recombinant Human DCLK1 (Uniprot#: O15075; Tyr390-Val647 (Uniprot#: O15075)

Clonality

Monoclonal

Host

Mouse

Isotype

IgG2b Kappa

Description

Novus Biologicals Mouse DCLK1 Antibody (C8) - BSA Free (NBP3-41776) is a monoclonal antibody validated for use in IHC and WB. All Novus Biologicals antibodies are covered by our 100% guarantee.

Scientific Data Images for DCLK1 Antibody (C8) - BSA Free

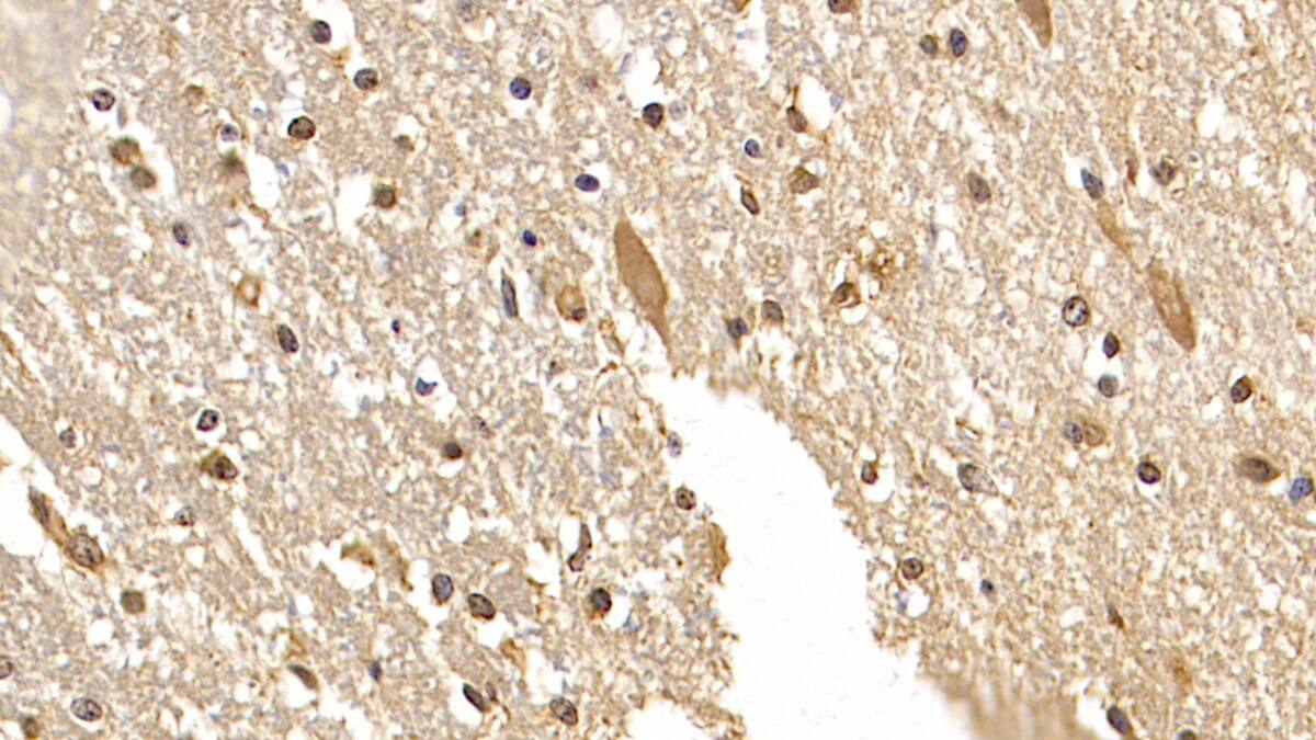
DCLK1 Antibody (C8)

Immunohistochemistry-Paraffin: DCLK1 Antibody (C8) [NBP3-41776] -

Immunohistochemistry-Paraffin: DCLK1 Antibody (C8) [NBP3-41776] - DAB staining on IHC-P; Samples: Human Cerebellum Tissue; Primary Ab: 20ug/ml NBP3-41776; Second Ab: 2ug/mL HRP-Linked Caprine Anti-Mouse IgG Polyclonal Antibody
DCLK1 Antibody (C8)

Immunohistochemistry-Paraffin: DCLK1 Antibody (C8) [NBP3-41776] -

Immunohistochemistry-Paraffin: DCLK1 Antibody (C8) [NBP3-41776] - DAB staining on IHC-P; Samples: Human Cerebrum Tissue; Primary Ab: 20ug/ml NBP3-41776; Second Ab: 2ug/mL HRP-Linked Caprine Anti-Mouse IgG Polyclonal Antibody

Applications for DCLK1 Antibody (C8) - BSA Free

Application
Recommended Usage

Immunohistochemistry

5-20ug/mL

Immunohistochemistry-Paraffin

5-20ug/mL

Western Blot

0.5-2ug/mL

Formulation, Preparation, and Storage

Purification

Protein A or G purified

Formulation

0.01M PBS, pH7.4, 50% glycerol

Format

BSA Free

Preservative

0.05% Proclin 300

Concentration

0.86 mg/ml

Shipping

The product is shipped with polar packs. Upon receipt, store it immediately at the temperature recommended below.

Stability & Storage

Store at 4C short term. Aliquot and store at -20C long term. Avoid freeze-thaw cycles.

Background: DCLK1

DCAMKL1 is a microtubule-associated protein that phosphorylates itself and myelin basic protein (MBP; MIM 159430). DCAMKL1 has microtubule polymerizing activity that is independent of its protein kinase activity (Lin et al., 2000 [PubMed 11124993]).[supplied by OMIM]

Long Name

Doublecortin-like and CAM Kinase-like 1

Alternate Names

CL1, CLICK1, DCAMKL1, DCDC3A

Gene Symbol

DCLK1

Additional DCLK1 Products

Product Documents for DCLK1 Antibody (C8) - BSA Free

Certificate of Analysis

To download a Certificate of Analysis, please enter a lot number in the search box below.

Product Specific Notices for DCLK1 Antibody (C8) - BSA Free

This product is for research use only and is not approved for use in humans or in clinical diagnosis. Primary Antibodies are guaranteed for 1 year from date of receipt.

Loading...
Loading...
Loading...
Loading...