DCI Antibody - BSA Free
Novus Biologicals, part of Bio-Techne | Catalog # NBP1-91822
Key Product Details
Validated by
Orthogonal Validation, Independent Antibodies
Species Reactivity
Validated:
Human
Cited:
Human
Applications
Validated:
Immunohistochemistry, Immunohistochemistry-Paraffin, Western Blot
Cited:
Western Blot
Label
Unconjugated
Antibody Source
Polyclonal Rabbit IgG
Format
BSA Free
Concentration
Concentrations vary lot to lot. See vial label for concentration. If unlisted please contact technical services.
Product Specifications
Immunogen
This antibody was developed against Recombinant Protein corresponding to amino acids: FGSQRVLVEPDAGAGVAVMKFKNPPVNSLSLEFLTELVISLEKLENDKSFRGVILTSDRPGVFSAGLDLTEMCGRS
Reactivity Notes
Immunogen displays the following percentage of sequence identity for non-tested species: Rat (80%)
Clonality
Polyclonal
Host
Rabbit
Isotype
IgG
Description
Novus Biologicals Rabbit DCI Antibody - BSA Free (NBP1-91822) is a polyclonal antibody validated for use in IHC and WB. Anti-DCI Antibody: Cited in 1 publication. All Novus Biologicals antibodies are covered by our 100% guarantee.
Scientific Data Images for DCI Antibody - BSA Free
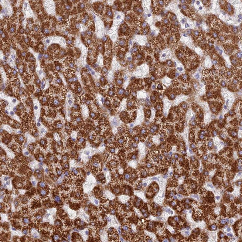
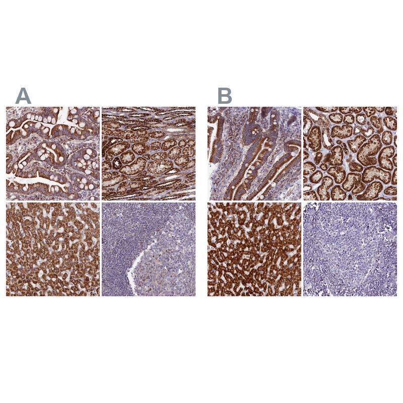
Immunohistochemistry-Paraffin: DCI Antibody [NBP1-91822]
Immunohistochemistry-Paraffin: DCI Antibody [NBP1-91822] - Staining of human cerebral cortex, kidney, liver and testis using Anti-ECI1 antibody NBP1-91822 (A) shows similar protein distribution across tissues to independent antibody NBP1-91821 (B).Applications for DCI Antibody - BSA Free
Application
Recommended Usage
Immunohistochemistry
1:50 - 1:200
Immunohistochemistry-Paraffin
1:50-1:200
Western Blot
0.04 - 0.4 ug/ml
Application Notes
For IHC-Paraffin, HIER pH 6 retrieval is recommended.
Formulation, Preparation, and Storage
Purification
Immunogen affinity purified
Formulation
PBS (pH 7.2) and 40% Glycerol
Format
BSA Free
Preservative
0.02% Sodium Azide
Concentration
Concentrations vary lot to lot. See vial label for concentration. If unlisted please contact technical services.
Shipping
The product is shipped with polar packs. Upon receipt, store it immediately at the temperature recommended below.
Stability & Storage
Store at 4C short term. Aliquot and store at -20C long term. Avoid freeze-thaw cycles.
Background: DCI
Alternate Names
acetylene-allene isomerase, D2-enoyl-CoA isomerase, D3, DCI3,2-trans-enoyl-CoA isomerase3,2 trans-enoyl-CoA isomerase, Delta(2)-enoyl-CoA isomerase, Delta(3), delta3, delta2-enoyl-CoA isomerase, dodecenoyl-CoA delta isomerase (3,2 trans-enoyl-CoA isomerase), dodecenoyl-CoA isomerase3,2-trans-enoyl-CoA isomerase, mitochondrial, dodecenoyl-Coenzyme A delta isomerase (3,2 trans-enoyl-Coenzyme A isomerase), EC 5.3.3.8, enoyl-CoA delta isomerase 13,2 trans-enoyl-Coenzyme A isomerase
Gene Symbol
ECI1
Additional DCI Products
Product Documents for DCI Antibody - BSA Free
Product Specific Notices for DCI Antibody - BSA Free
This product is for research use only and is not approved for use in humans or in clinical diagnosis. Primary Antibodies are guaranteed for 1 year from date of receipt.
Loading...
Loading...
Loading...
Loading...