Skip to main content

DAP3 Antibody (OTI1B12)

Novus Biologicals, part of Bio-Techne | Catalog # NBP2-46427

Novus Biologicals, part of Bio-Techne

Key Product Details

Species Reactivity

Human

Applications

Immunohistochemistry, Immunohistochemistry-Paraffin, Western Blot

Label

Unconjugated

Antibody Source

Monoclonal Mouse IgG1 Clone # OTI1B12

Concentration

1 mg/ml

Product Specifications

Immunogen

Human recombinant protein fragment corresponding to amino acids 161-398 of human DAP3 (NP_387506) produced in E.coli.

Clonality

Monoclonal

Host

Mouse

Isotype

IgG1

Theoretical MW

45.4 kDa.
Disclaimer note: The observed molecular weight of the protein may vary from the listed predicted molecular weight due to post translational modifications, post translation cleavages, relative charges, and other experimental factors.

Description

Novus Biologicals Mouse DAP3 Antibody (OTI1B12) (NBP2-46427) is a monoclonal antibody validated for use in IHC and WB. All Novus Biologicals antibodies are covered by our 100% guarantee.

Scientific Data Images for DAP3 Antibody (OTI1B12)

Western Blot: DAP3 Antibody (OTI1B12) [NBP2-46427]

Western Blot: DAP3 Antibody (OTI1B12) [NBP2-46427]

Western Blot: DAP3 Antibody (1B12) [NBP2-46427] - Analysis of HEK293T cells were transfected with the pCMV6-ENTRY control (Left lane) or pCMV6-ENTRY DAP3.
Immunohistochemistry: DAP3 Antibody (OTI1B12) [NBP2-46427]

Immunohistochemistry: DAP3 Antibody (OTI1B12) [NBP2-46427]

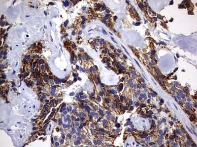
Immunohistochemistry: DAP3 Antibody (1B12) [NBP2-46427] - Analysis of Adenocarcinoma of Human endometrium tissue. (Heat-induced epitope retrieval by 10mM citric buffer, pH6.0, 120C for 3min)
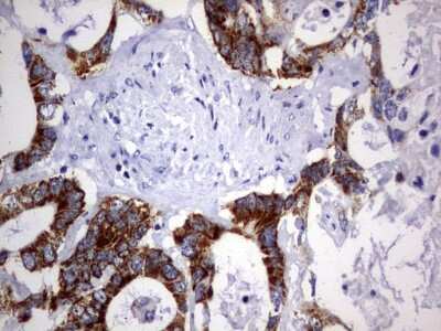
Immunohistochemistry: DAP3 Antibody (OTI1B12) [NBP2-46427]

Immunohistochemistry: DAP3 Antibody (OTI1B12) [NBP2-46427]

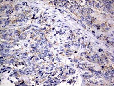
Immunohistochemistry: DAP3 Antibody (1B12) [NBP2-46427] - Analysis of Adenocarcinoma of Human breast tissue. (Heat-induced epitope retrieval by 10mM citric buffer, pH6.0, 120C for 3min)

Applications for DAP3 Antibody (OTI1B12)

Application
Recommended Usage

Immunohistochemistry

1:150

Immunohistochemistry-Paraffin

1:150

Western Blot

1:2000

Formulation, Preparation, and Storage

Purification

Immunogen affinity purified

Formulation

PBS (pH 7.3), 1.0% BSA and 50% Glycerol

Preservative

0.02% Sodium Azide

Concentration

1 mg/ml

Shipping

The product is shipped with polar packs. Upon receipt, store it immediately at the temperature recommended below.

Stability & Storage

Store at -20C. Avoid freeze-thaw cycles.

Background: DAP3

Death Associated Protein 3 (DAP3) is a 46 kDa protein carrying a potential nucleotide binding motif (P-loop) at its N-terminal region. The protein is widely expressed, and the expression is upregulated during membrane-receptor mediated apoptosis. In interferon-gamma and Fas induced apoptosis, DAP3 acts as a positive mediator by functioning downstream of the receptor signaling complex and upstream of the effector caspases. However, the mechanism for its function is largely unknown. Interestingly, the N-terminal 230 amino acid fragment of DAP3 alone protects cells from Fas induced cell death. The same region of DAP3 also serves as a binding site for the glucocorticoid receptor and mediates receptor functions.

Alternate Names

bMRP-10, DAP-3Death-associated protein 3, death associated protein 3, DKFZp686G12159,28S ribosomal protein S29, mitochondrial, FLJ12817, MGC126058, MGC126059, mitochondrial 28S ribosomal protein S29, MRP-S29Ionizing radiation resistance conferring protein, MRPS29S29mt

Gene Symbol

DAP3

Additional DAP3 Products

Product Documents for DAP3 Antibody (OTI1B12)

Certificate of Analysis

To download a Certificate of Analysis, please enter a lot number in the search box below.

Product Specific Notices for DAP3 Antibody (OTI1B12)

This product is for research use only and is not approved for use in humans or in clinical diagnosis. Primary Antibodies are guaranteed for 1 year from date of receipt.

Loading...
Loading...
Loading...
Loading...