Skip to main content

Cytokeratin 8/18 Antibody (KRT8/803 + KRT18/835) - Azide and BSA Free

Novus Biologicals, part of Bio-Techne | Catalog # NBP2-47983

Novus Biologicals, part of Bio-Techne
Catalog #
Availability
Size / Price
Qty
Loading...
NBP2-47983-0.1mg

Key Product Details

Species Reactivity

Human

Applications

Immunohistochemistry, Immunohistochemistry-Paraffin, Flow Cytometry, Simple Western, CyTOF-ready

Label

Unconjugated

Antibody Source

Monoclonal Mouse IgG1 Kappa/IgG1 Kappa Clone # KRT8/803 + KRT18/835

Format

Azide and BSA Free

Concentration

1.0 mg/ml

Product Specifications

Immunogen

Recombinant full-length human KRT8 protein (KRT8/803); Recombinant full-length human KRT18 protein (KRT18/835)

Localization

Cytoplasmic

Specificity

Cytokeratin 8 (CK8) belongs to the type II (or B or basic) subfamily of high molecular weight cytokeratins and exists in combination with cytokeratin 18 (CK18). This monoclonal antibody cocktail recognizes all simple epithelia including glandular epithelium, for example thyroid, female breast, gastrointestinal tract, respiratory tract, and urogenital tract including transitional epithelium. All adenocarcinomas and most squamous carcinomas are positive but keratinizing squamous carcinomas are usually negative. This antibody is useful in demonstrating the presence of Paget cells; there is very little keratin 18 in the normal epidermis so only Paget cells are stained.Immuno-histochemical staining with this monoclonal antibody is indistinguishable from that obtained with monoclonal antibody 5D3.

Clonality

Monoclonal

Host

Mouse

Isotype

IgG1 Kappa/IgG1 Kappa

Description

1.0 mg/ml of antibody purified from Bioreactor Concentrate by Protein A/G. Prepared in 10mM PBS WITHOUT BSA & azide. Also available at 200 ug/ml WITH BSA & azide (NBP2-44930).

Antibody with azide - store at 2 to 8C. Antibody without azide - store at -20 to -80C.

Scientific Data Images for Cytokeratin 8/18 Antibody (KRT8/803 + KRT18/835) - Azide and BSA Free

Immunohistochemistry-Paraffin: Cytokeratin 8/18 Antibody (KRT8/803 + KRT18/835) - Azide and BSA Free [NBP2-47983]

Immunohistochemistry-Paraffin: Cytokeratin 8/18 Antibody (KRT8/803 + KRT18/835) - Azide and BSA Free [NBP2-47983]

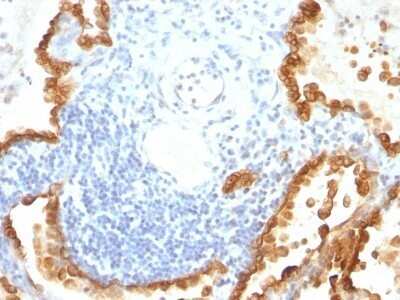
Immunohistochemistry-Paraffin: Cytokeratin 8/18 Antibody (KRT8/803 + KRT18/835) - Azide and BSA Free [NBP2-47983] - Human Ovarian Carcinoma stained with Cytokeratin 8/18 Monoclonal Antibody (KRT8/803 + KRT18/835).
Immunohistochemistry-Paraffin: Cytokeratin 8/18 Antibody (KRT8/803 + KRT18/835) - Azide and BSA Free [NBP2-47983]

Immunohistochemistry-Paraffin: Cytokeratin 8/18 Antibody (KRT8/803 + KRT18/835) - Azide and BSA Free [NBP2-47983]

Immunohistochemistry-Paraffin: Cytokeratin 8/18 Antibody (KRT8/803 + KRT18/835) - Azide and BSA Free [NBP2-47983] - Human Colon Carcinoma stained with Cytokeratin 8/18 Monoclonal Antibody (KRT8/803 + KRT18/835).
Immunohistochemistry-Paraffin: Cytokeratin 8/18 Antibody (KRT8/803 + KRT18/835) - Azide and BSA Free [NBP2-47983]

Immunohistochemistry-Paraffin: Cytokeratin 8/18 Antibody (KRT8/803 + KRT18/835) - Azide and BSA Free [NBP2-47983]

Immunohistochemistry-Paraffin: Cytokeratin 8/18 Antibody (KRT8/803 + KRT18/835) - Azide and BSA Free [NBP2-47983] - Human Lung Carcinoma stained with Cytokeratin 8/18 Monoclonal Antibody (KRT8/803 + KRT18/835).

Applications for Cytokeratin 8/18 Antibody (KRT8/803 + KRT18/835) - Azide and BSA Free

Application
Recommended Usage

Flow Cytometry

0.5 - 1 ug/million cells in 0.1 ml

Immunohistochemistry-Paraffin

0.5 - 1.0 ug/ml

Simple Western

20 ug/ml
Application Notes
Immunohistochemistry (Formalin-fixed): 0.1-0.2ug/ml for 30 min at RT. Staining of formalin-fixed tissues requires heating tissue sections in 10mM Tris with 1mM EDTA, pH 9.0, for 45 min at 95C followed by cooling at RT for 20 minutes.
Optimal dilution for a specific application should be determined.
In Simple Western only 10 - 15 ul of the recommended dilution is used per data point.
See Simple Western Antibody Database for Simple Western validation: antibody dilution of 20 ug/mL

Formulation, Preparation, and Storage

Purification

Protein A or G purified

Formulation

10 mM PBS

Format

Azide and BSA Free

Preservative

No Preservative

Concentration

1.0 mg/ml

Shipping

The product is shipped with polar packs. Upon receipt, store it immediately at the temperature recommended below.

Stability & Storage

Store at -20 to -80C. Avoid freeze-thaw cycles.

Background: Cytokeratin 8/18

Alternate Names

CARD2, CK8, CK-8, CYK8cytokeratin 8, Cytokeratin-8, K2C8, K8cytokeratin-8, keratin 8, keratin, type II cytoskeletal 8, Keratin-8, KO, Type-II keratin Kb8

Gene Symbol

KRT8

Additional Cytokeratin 8/18 Products

Product Documents for Cytokeratin 8/18 Antibody (KRT8/803 + KRT18/835) - Azide and BSA Free

Certificate of Analysis

To download a Certificate of Analysis, please enter a lot number in the search box below.

Product Specific Notices for Cytokeratin 8/18 Antibody (KRT8/803 + KRT18/835) - Azide and BSA Free

This product is for research use only and is not approved for use in humans or in clinical diagnosis. Primary Antibodies are guaranteed for 1 year from date of receipt.

Loading...
Loading...
Loading...
Loading...
Loading...