Skip to main content

Cytokeratin 5/6 Antibody (KRT5.6/8275R) - Azide and BSA Free

Novus Biologicals, part of Bio-Techne | Catalog # NBP3-20844

Recombinant Monoclonal Antibody
Novus Biologicals, part of Bio-Techne

Key Product Details

Species Reactivity

Human

Applications

Immunohistochemistry-Paraffin

Label

Unconjugated

Antibody Source

Recombinant Monoclonal Rabbit IgG Kappa Clone # KRT5.6/8275R

Format

Azide and BSA Free

Concentration

1 mg/ml

Product Specifications

Immunogen

Recombinant fragments of human Cytokeratin 5 (KRT5) and Cytokeratin 6 proteins (exact sequences are proprietary)

Localization

Cytoplasm.

Clonality

Monoclonal

Host

Rabbit

Isotype

IgG Kappa

Description

Positive Controls: Human prostate or skin tissue.

Antibody with azide - store at 2 to 8C. Antibody without azide - store at -20 to -80C. Non-hazardous. No MSDS required.

Scientific Data Images for Cytokeratin 5/6 Antibody (KRT5.6/8275R) - Azide and BSA Free

Cytokeratin 5/6 Antibody (KRT5.6/8275R) - Azide and BSA Free

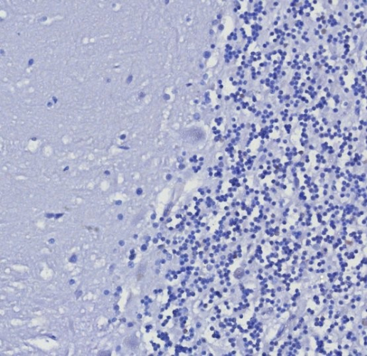
Cytokeratin 5/6 Antibody (KRT5.6/8275R)

IHC analysis of formalin-fixed, paraffin-embedded human brain. Negative tissue control using Cytokeratin 5/6 antibody (KRT5.6/8275R) at 2ug/ml in PBS for 30min RT. HIER: Tris/EDTA, pH9.0, 45min. Secondary: HRP-polymer, 30min. DAB, 5min.
Cytokeratin 5/6 Antibody (KRT5.6/8275R) - Azide and BSA Free

Cytokeratin 5/6 Antibody (KRT5.6/8275R)

Formalin-fixed, paraffin-embedded human prostate carcinoma stained withCytokeratin 5/6 antibody (KRT5.6/8275R). HIER: Tris/EDTA, pH9.0, 45min. Secondary: HRP-polymer, 30min. DAB, 5min.

Applications for Cytokeratin 5/6 Antibody (KRT5.6/8275R) - Azide and BSA Free

Application
Recommended Usage

Immunohistochemistry-Paraffin

1-2 ug/ml
Application Notes
Immunohistochemistry (Formalin-fixed): 1-2ug/ml for 30 minutes. at RT. Staining of formalin-fixed tissues requires heating tissue sections in 10mM Tris with 1mM EDTA, pH 9.0, for 45 min at 95C followed by cooling at RT for 20 minutes.

Optimal dilution for a specific application should be determined.

Formulation, Preparation, and Storage

Purification

Protein A or G purified

Formulation

10mM PBS

Format

Azide and BSA Free

Preservative

No Preservative

Concentration

1 mg/ml

Shipping

The product is shipped with polar packs. Upon receipt, store it immediately at the temperature recommended below.

Stability & Storage

Store at -20 to -70C. Avoid freeze-thaw cycles.

Background: Cytokeratin 5/6

Alternate Names

58 kDa cytokeratin, CK5, CK-5, cytokeratin-5, DDD, EBS2, epidermolysis bullosa simplex 2 Dowling-Meara/Kobner/Weber-Cockayne types, K5, keratin 5, keratin 5 (epidermolysis bullosa simplex, Dowling-Meara/Kobner/Weber-Cockaynetypes), keratin, type II cytoskeletal 5, Keratin-5, KRT5A, Type-II keratin Kb5

Gene Symbol

KRT5

Additional Cytokeratin 5/6 Products

Product Documents for Cytokeratin 5/6 Antibody (KRT5.6/8275R) - Azide and BSA Free

Certificate of Analysis

To download a Certificate of Analysis, please enter a lot number in the search box below.

Product Specific Notices for Cytokeratin 5/6 Antibody (KRT5.6/8275R) - Azide and BSA Free

This product is for research use only and is not approved for use in humans or in clinical diagnosis. Primary Antibodies are guaranteed for 1 year from date of receipt.

Loading...
Loading...
Loading...
Loading...