Skip to main content

Cytokeratin 20 Antibody (RM283)

Novus Biologicals, part of Bio-Techne | Catalog # NBP2-61523

Recombinant Monoclonal Antibody.
Novus Biologicals, part of Bio-Techne
Catalog #
Availability
Size / Price
Qty
Loading...
NBP2-61523

Key Product Details

Species Reactivity

Human

Applications

Immunohistochemistry, Immunohistochemistry-Paraffin, Western Blot

Label

Unconjugated

Antibody Source

Recombinant Monoclonal Rabbit IgG Clone # RM283 expressed in HEK293

Concentration

Please see the vial label for concentration. If unlisted please contact technical services.

Product Specifications

Immunogen

A peptide corresponding to the C-terminus of Human Cytokeratin 20

Clonality

Monoclonal

Host

Rabbit

Isotype

IgG

Description

Novus Biologicals Rabbit Cytokeratin 20 Antibody (RM283) (NBP2-61523) is a recombinant monoclonal antibody validated for use in IHC and WB. All Novus Biologicals antibodies are covered by our 100% guarantee.

Scientific Data Images for Cytokeratin 20 Antibody (RM283)

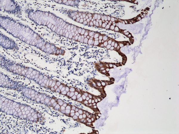
Cytokeratin 20 Antibody (RM283)

Immunohistochemistry-Paraffin: Cytokeratin 20 Antibody (RM283) [NBP2-61523] -

Immunohistochemistry-Paraffin: Cytokeratin 20 Antibody (RM283) [NBP2-61523] - Immunohistochemical staining of formalin fixed and paraffin embedded human colon tissue sections using NBP2-61523 at a 1:250 dilution

Applications for Cytokeratin 20 Antibody (RM283)

Application
Recommended Usage

Immunohistochemistry

1:100-1:250

Immunohistochemistry-Paraffin

1:100-1:250

Western Blot

1:1000 - 1:2000

Formulation, Preparation, and Storage

Purification

Protein A purified

Formulation

50% Glycerol/PBS, 1% BSA

Preservative

0.09% Sodium Azide

Concentration

Please see the vial label for concentration. If unlisted please contact technical services.

Shipping

The product is shipped with polar packs. Upon receipt, store it immediately at the temperature recommended below.

Stability & Storage

Store at -20C. Avoid freeze-thaw cycles.

Background: Cytokeratin 20

Intermediate-sized filament (IF) protein designated cytokeratin (CK) 1 is a major cellular protein of mature enterocytes and goblet cells commonly found in mucosal epithelium of the mammalian gastrointestinal tract (1). Results strongly suggest that transcriptional regulation of keratin genes in the intestinal epithelium occurs at the level of both immature and terminally differentiated epithelial cells, and is tightly regulated during both fetal development and crypt-to-villus differentiation of the intestinal epithelium (2). CK20 has recently been reported to be useful to distinguish between primary and metastatic lung adenocarcinoma. CK20 expression was significantly more prevalent in adenocarcinoma that originated in the GI tract than that of pulmonary or breast origin (3).

Alternate Names

CD20, CK20, CK-20, cytokeratin-20, K20cytokeratin 20, keratin 20, keratin, type I cytoskeletal 20, keratin-20, KRT21, MGC35423, Protein IT

Gene Symbol

KRT20

Additional Cytokeratin 20 Products

Product Documents for Cytokeratin 20 Antibody (RM283)

Certificate of Analysis

To download a Certificate of Analysis, please enter a lot number in the search box below.

Product Specific Notices for Cytokeratin 20 Antibody (RM283)

This product is for research use only and is not approved for use in humans or in clinical diagnosis. Primary Antibodies are guaranteed for 1 year from date of receipt.

Loading...
Loading...
Loading...
Loading...