Cytokeratin 17 Antibody (KRT17/8320R)
Novus Biologicals, part of Bio-Techne | Catalog # NBP3-20319
Recombinant Monoclonal Antibody
Conjugate
Catalog #
Forumulation
Catalog #
Key Product Details
Species Reactivity
Human
Applications
Immunohistochemistry-Paraffin
Label
Unconjugated
Antibody Source
Recombinant Monoclonal Rabbit IgG Kappa Clone # KRT17/8320R
Concentration
0.2 mg/ml
Product Specifications
Immunogen
Recombinant fragment of human Cytokeratin 17 protein (exact sequence is proprietary)
Localization
Cytoplasm.
Specificity
Antibody to CK17 is an excellent tool to distinguish myoepithelial cells from luminal epithelium of various glands such as mammary, sweat and salivary CK17 is expressed in epithelial cells of various origins, such as bronchial epithelial cells and skin appendages It may be considered as epithelial stem cell marker because CK17 Ab marks basal cell differentiation CK17 is expressed in SCLC much higher than in LADC Eighty-five percent of the triple negative breast carcinomas immunoreact with basal cytokeratins including anti-CK17 Also important is that cases of triple negative breast carcinoma with expression of CK17 show an aggressive clinical course Additionally, anti-CK17 and anti-MUC1 immunoreactivity represents pancreatobiliary subtype whereas anti-MUC2 and anti-CDX-2 positivity defines intestinal subtype
Clonality
Monoclonal
Host
Rabbit
Isotype
IgG Kappa
Description
Positive Controls: T24 cells. Human skin, bladder or cervix.
Antibody with azide - store at 2 to 8C. Antibody without azide - store at -20 to -80C. Non-hazardous. No MSDS required.
Antibody with azide - store at 2 to 8C. Antibody without azide - store at -20 to -80C. Non-hazardous. No MSDS required.
Scientific Data Images for Cytokeratin 17 Antibody (KRT17/8320R)
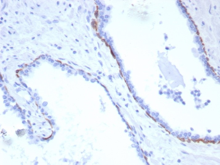
Cytokeratin 17 Antibody (KRT17/8320R)
Formalin-fixed, paraffin-embedded human prostate carcinoma stained with Cytokeratin 17 antibody (KRT17/8320R). HIER: Tris/EDTA, pH9.0, 45min. Secondary: HRP-polymer, 30min. DAB, 5min.Applications for Cytokeratin 17 Antibody (KRT17/8320R)
Application
Recommended Usage
Immunohistochemistry-Paraffin
1-2 ug/ml
Application Notes
Immunohistochemistry (Formalin-fixed): 1-2ug/ml for 30 minutes. at RT. Staining of formalin-fixed tissues requires heating tissue sections in 10mM Tris with 1mM EDTA, pH 9.0, for 45 min at 95C followed by cooling at RT for 20 minutes.
Optimal dilution for a specific application should be determined.
Optimal dilution for a specific application should be determined.
Formulation, Preparation, and Storage
Purification
Protein A or G purified
Formulation
10mM PBS with 0.05% BSA
Preservative
0.05% Sodium Azide
Concentration
0.2 mg/ml
Shipping
The product is shipped with polar packs. Upon receipt, store it immediately at the temperature recommended below.
Stability & Storage
Store at 4C. Do not freeze.
Background: Cytokeratin 17
Long Name
Cytokeratin 17/KRT17
Alternate Names
CK-17, cytokeratin-17, K17, keratin 17, type I, keratin, type I cytoskeletal 17, PCHC1
Gene Symbol
KRT17
Additional Cytokeratin 17 Products
Product Documents for Cytokeratin 17 Antibody (KRT17/8320R)
Product Specific Notices for Cytokeratin 17 Antibody (KRT17/8320R)
This product is for research use only and is not approved for use in humans or in clinical diagnosis. Primary Antibodies are guaranteed for 1 year from date of receipt.
Loading...
Loading...
Loading...
Loading...