Skip to main content

Cytokeratin 15 Antibody (ST04-85)

Novus Biologicals, part of Bio-Techne | Catalog # NBP2-67525

Recombinant Monoclonal Antibody.
Novus Biologicals, part of Bio-Techne
Catalog #
Availability
Size / Price
Qty
Loading...
NBP2-67525

Key Product Details

Validated by

Biological Validation

Species Reactivity

Validated:

Human, Mouse, Rat

Cited:

Human

Applications

Validated:

Immunohistochemistry, Immunohistochemistry-Paraffin, Western Blot, Flow Cytometry, Immunocytochemistry/ Immunofluorescence

Cited:

Immunocytochemistry/ Immunofluorescence, IF/IHC

Label

Unconjugated

Antibody Source

Recombinant Monoclonal Rabbit IgG Clone # ST04-85 expressed in HEK293

Concentration

1 mg/ml

Product Specifications

Immunogen

Synthetic peptide within Human Cytokeratin 15 aa 410-455 / 456. (SwissProt: P19012 Human; SwissProt: Q61414 Mouse; SwissProt: Q6IFV3 Rat)

Localization

Intermediate filament, cytosol, extracellular exosome, nucleus.

Clonality

Monoclonal

Host

Rabbit

Isotype

IgG

Description

Novus Biologicals Rabbit Cytokeratin 15 Antibody (ST04-85) (NBP2-67525) is a recombinant monoclonal antibody validated for use in IHC, WB, Flow and ICC/IF. Anti-Cytokeratin 15 Antibody: Cited in 3 publications. All Novus Biologicals antibodies are covered by our 100% guarantee.

Scientific Data Images for Cytokeratin 15 Antibody (ST04-85)

Western Blot: Cytokeratin 15 Antibody (ST04-85) [NBP2-67525]

Western Blot: Cytokeratin 15 Antibody (ST04-85) [NBP2-67525]

Western Blot: Cytokeratin 15 Antibody (ST04-85) [NBP2-67525] - Analysis of Cytokeratin 15 on A431 cell lysates. Proteins were transferred to a PVDF membrane and blocked with 5% BSA in PBS for 1 hour at room temperature. The primary antibody (1/500) was used in 5% BSA at room temperature for 2 hours. Goat Anti-Rabbit IgG - HRP Secondary Antibody at 1:5,000 dilution was used for 1 hour at room temperature.
Immunohistochemistry-Paraffin: Cytokeratin 15 Antibody (ST04-85) [NBP2-67525]

Immunohistochemistry-Paraffin: Cytokeratin 15 Antibody (ST04-85) [NBP2-67525]

Immunohistochemistry-Paraffin: Cytokeratin 15 Antibody (ST04-85) [NBP2-67525] - Analysis of paraffin-embedded human skin tissue with Rabbit anti-Cytokeratin 15 antibody washed with ddH2O and PBS, and then probed with the primary antibody at 1/400 dilution for 1 hour at room temperature. The detection was performed using an HRP conjugated compact polymer system. DAB was used as the chromogen. Tissues were counterstained with hematoxylin and mounted with DPX.
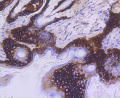
Immunohistochemistry-Paraffin: Cytokeratin 15 Antibody (ST04-85) [NBP2-67525]

Immunohistochemistry-Paraffin: Cytokeratin 15 Antibody (ST04-85) [NBP2-67525]

Immunohistochemistry-Paraffin: Cytokeratin 15 Antibody (ST04-85) [NBP2-67525] - Analysis of paraffin-embedded mouse skin tissue using anti-Cytokeratin 15 antibody. Counter stained with hematoxylin.

Applications for Cytokeratin 15 Antibody (ST04-85)

Application
Recommended Usage

Flow Cytometry

1:50-1:100

Immunocytochemistry/ Immunofluorescence

1:400-1:500

Immunohistochemistry-Paraffin

1:50-1:400

Western Blot

1:500-1:2000
Application Notes
Use in ICC/IF reported in scientific literature (PMID:35664254) .

Formulation, Preparation, and Storage

Purification

Protein A purified

Formulation

TBS (pH7.4), 0.05% BSA, 40% Glycerol

Preservative

0.05% Sodium Azide

Concentration

1 mg/ml

Shipping

The product is shipped with polar packs. Upon receipt, store it immediately at the temperature recommended below.

Stability & Storage

Store at 4C short term. Aliquot and store at -20C long term. Avoid freeze-thaw cycles.

Background: Cytokeratin 15

Alternate Names

CK15, CK-15, cytokeratin 15, cytokeratin-15, K15keratin-15, basic, K1CO, keratin 15, keratin, type I cytoskeletal 15, Keratin-15, keratin-15, beta, KRTB, type I cytoskeletal 15

Gene Symbol

KRT15

Additional Cytokeratin 15 Products

Product Documents for Cytokeratin 15 Antibody (ST04-85)

Certificate of Analysis

To download a Certificate of Analysis, please enter a lot number in the search box below.

Product Specific Notices for Cytokeratin 15 Antibody (ST04-85)

This product is for research use only and is not approved for use in humans or in clinical diagnosis. Primary Antibodies are guaranteed for 1 year from date of receipt.

Loading...
Loading...
Loading...
Loading...
Loading...