Skip to main content

Cytokeratin 1 Antibody (SN72-08)

Novus Biologicals, part of Bio-Techne | Catalog # NBP2-67681

Recombinant Monoclonal Antibody.
Novus Biologicals, part of Bio-Techne
Catalog #
Availability
Size / Price
Qty
Loading...
NBP2-67681

Key Product Details

Validated by

Biological Validation

Species Reactivity

Human, Mouse, Rat

Applications

Immunocytochemistry/ Immunofluorescence, Immunohistochemistry, Immunohistochemistry-Paraffin, Western Blot

Label

Unconjugated

Antibody Source

Recombinant Monoclonal Rabbit IgG Clone # SN72-08 expressed in HEK293

Concentration

1 mg/ml

Product Specifications

Immunogen

Synthetic peptide within mouse Cytokeratin 1 aa 586-637 / 637. (SwissProt: P04264 Human; SwissProt: P04104 Mouse; SwissProt: Q6IMF3 Rat)

Localization

Cell membrane, Intermediate filament, Keratin, Membrane.

Clonality

Monoclonal

Host

Rabbit

Isotype

IgG

Description

Novus Biologicals Rabbit Cytokeratin 1 Antibody (SN72-08) (NBP2-67681) is a recombinant monoclonal antibody validated for use in IHC, WB and ICC/IF. All Novus Biologicals antibodies are covered by our 100% guarantee.

Scientific Data Images for Cytokeratin 1 Antibody (SN72-08)

Western Blot: Cytokeratin 1 Antibody (SN72-08) [NBP2-67681]

Western Blot: Cytokeratin 1 Antibody (SN72-08) [NBP2-67681]

Western Blot: Cytokeratin 1 Antibody (SN72-08) [NBP2-67681] - Western blot analysis of Cytokeratin 1 on different lysates. Proteins were transferred to a PVDF membrane and blocked with 5% BSA in PBS for 1 hour at room temperature. The primary antibody (1/500) was used in 5% BSA at room temperature for 2 hours. Goat
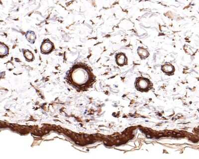
Immunohistochemistry-Paraffin: Cytokeratin 1 Antibody (SN72-08) [NBP2-67681]

Immunohistochemistry-Paraffin: Cytokeratin 1 Antibody (SN72-08) [NBP2-67681]

Immunohistochemistry-Paraffin: Cytokeratin 1 Antibody (SN72-08) [NBP2-67681] - Analysis of paraffin-embedded rat skin tissue with Rabbit anti-Cytokeratin 1 antibody washed with ddH2O and PBS, and then probed with the primary antibody at 1/400 dilution for 1 hour at room temperature. The detection was performed using an HRP conjugated compact polymer system. DAB was used as the chromogen. Tissues were counterstained with hematoxylin and mounted with DPX.
Western Blot: Cytokeratin 1 Antibody (SN72-08) [NBP2-67681]

Western Blot: Cytokeratin 1 Antibody (SN72-08) [NBP2-67681]

Western Blot: Cytokeratin 1 Antibody (SN72-08) [NBP2-67681] - Analysis of Cytokeratin 1 on different lysates using anti-Cytokeratin 1 antibody at 1/1,000 dilution. Positive control: Lane 1: 293T Lane 2: Hela

Applications for Cytokeratin 1 Antibody (SN72-08)

Application
Recommended Usage

Immunocytochemistry/ Immunofluorescence

1:200

Immunohistochemistry-Paraffin

1:100-1:500

Western Blot

1:500-1:1000

Formulation, Preparation, and Storage

Purification

Protein A purified

Formulation

TBS (pH7.4), 0.05% BSA, 40% Glycerol

Preservative

0.05% Sodium Azide

Concentration

1 mg/ml

Shipping

The product is shipped with polar packs. Upon receipt, store it immediately at the temperature recommended below.

Stability & Storage

Store at 4C short term. Aliquot and store at -20C long term. Avoid freeze-thaw cycles.

Background: Cytokeratin 1

Belonging to the keratin family, Cytokeratin 1 plays an important role in cell binding. More specifically, this gene is expressed in the spinous and granular layers of the epidermis with keratin 10. Mutations in this gene have been associated with the variants of bullous congenital ichthyosiform erythroderma in which the palms and soles of the feet are affected. This gene also regulates the activity of kinases such as PKC and SRC by binding to ITGB1 and the receptor of GNB2L1. Other biological processes include complement activation, lectin pathway, epidermis development, fibrinolysis, regulation of angiogenesis and response to oxidative stress.

Alternate Names

CK1, CK-1, cytokeratin 1, Cytokeratin-1, cytokeratin-1,67 kDa cytokeratin, EHK, EHK1, epidermolytic hyperkeratosis 1, EPPK, Hair alpha protein, K1, keratin 1, keratin, type II cytoskeletal 1, Keratin-1, KRT1A, KRTA, NEPPK, Type-II keratin Kb1

Gene Symbol

KRT1

Additional Cytokeratin 1 Products

Product Documents for Cytokeratin 1 Antibody (SN72-08)

Certificate of Analysis

To download a Certificate of Analysis, please enter a lot number in the search box below.

Product Specific Notices for Cytokeratin 1 Antibody (SN72-08)

This product is for research use only and is not approved for use in humans or in clinical diagnosis. Primary Antibodies are guaranteed for 1 year from date of receipt.

Loading...
Loading...
Loading...
Loading...