Skip to main content

Cytochrome P450 1A1/1A2 Antibody (MC1)

Novus Biologicals, part of Bio-Techne | Catalog # NB100-74398

Novus Biologicals, part of Bio-Techne
Catalog #
Availability
Size / Price
Qty
Loading...
NB100-74398-0.025ml
NB100-74398

Key Product Details

Species Reactivity

Validated:

Human, Mouse, Rat, Primate

Cited:

Human, Rat

Applications

Validated:

Immunohistochemistry, Immunohistochemistry-Paraffin, Western Blot, Immunocytochemistry/ Immunofluorescence

Cited:

Western Blot, IF/IHC

Label

Unconjugated

Antibody Source

Monoclonal Mouse IgG1 Clone # MC1

Concentration

This product is unpurified. The exact concentration of antibody is not quantifiable.

Product Specifications

Immunogen

3-methylcholanthrene induced rat cytochrome P450 protein.

Specificity

Detects Cytochrome P450 1A1 (Gene ID: 1543, UniProt P04798) and Cytochrom P450 1A2 (Gene ID: 1544, UniProt: P05177) from human samples.

Clonality

Monoclonal

Host

Mouse

Isotype

IgG1

Theoretical MW

58 kDa.
Disclaimer note: The observed molecular weight of the protein may vary from the listed predicted molecular weight due to post translational modifications, post translation cleavages, relative charges, and other experimental factors.

Scientific Data Images for Cytochrome P450 1A1/1A2 Antibody (MC1)

Immunocytochemistry/ Immunofluorescence: Cytochrome P450 1A1/1A2 Antibody (MC1) [NB100-74398]

Immunocytochemistry/ Immunofluorescence: Cytochrome P450 1A1/1A2 Antibody (MC1) [NB100-74398]

Immunocytochemistry/Immunofluorescence: Cytochrome P450 1A1/1A2 Antibody (MC1) [NB100-74398] - Analysis of Cytochrome P450 1A1/1A2 (green) showing staining in the cytoplasm and membrane of COS-7 cells. Formalin-fixed cells were permeabilized with 0.1% Triton X-100 in TBS for 5-10 minutes and blocked with 3% BSA-PBS for 30 minutes at room temperature. Cells were probed with a Cytochrome P450 1A1/1A2 monoclonal antibody in 3% BSA-PBS at a dilution of 1:100 and incubated overnight at 4C in a humidified chamber. Cells were washed with PBST and incubated with a DyLight-conjugated secondary antibody in PBS at room temperature in the dark. F-actin (red) was stained with a fluorescent red phalloidin and nuclei (blue) were stained with Hoechst or DAPI.
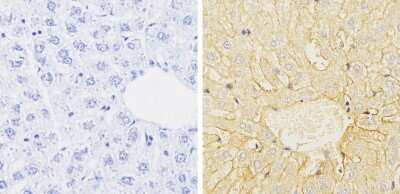
Immunohistochemistry-Paraffin: Cytochrome P450 1A1/1A2 Antibody (MC1) [NB100-74398]

Immunohistochemistry-Paraffin: Cytochrome P450 1A1/1A2 Antibody (MC1) [NB100-74398]

Immunohistochemistry-Paraffin: Cytochrome P450 1A1/1A2 Antibody (MC1) [NB100-74398] - Analysis showing positive staining in the cytoplasm and membrane of Mouse liver tissue (right) compared with a negative control in the absence of primary antibody (left).
Immunocytochemistry/ Immunofluorescence: Cytochrome P450 1A1/1A2 Antibody (MC1) [NB100-74398]

Immunocytochemistry/ Immunofluorescence: Cytochrome P450 1A1/1A2 Antibody (MC1) [NB100-74398]

Immunocytochemistry/Immunofluorescence: Cytochrome P450 1A1/1A2 Antibody (MC1) [NB100-74398] - Analysis of Cytochrome P450 1A1/1A2 (green) showing staining in the cytoplasm and membrane of HT29 cells. Formalin-fixed cells were permeabilized with 0.1% Triton X-100 in TBS for 5-10 minutes and blocked with 3% BSA-PBS for 30 minutes at room temperature. Cells were probed with a Cytochrome P450 1A1/1A2 monoclonal antibody in 3% BSA-PBS at a dilution of 1:100 and incubated overnight at 4C in a humidified chamber. Cells were washed with PBST and incubated with a DyLight-conjugated secondary antibody in PBS at room temperature in the dark. F-actin (red) was stained with a fluorescentred phalloidin and nuclei (blue) were stained with Hoechst or DAPI.

Applications for Cytochrome P450 1A1/1A2 Antibody (MC1)

Application
Recommended Usage

Immunocytochemistry/ Immunofluorescence

1:20 - 1:200

Immunohistochemistry

1:50 - 1:200

Immunohistochemistry-Paraffin

1:50 - 1:200

Western Blot

1:500
Application Notes
WB: Detects an approx. 58 kDa protein.

Reviewed Applications

Read 1 review rated 3 using NB100-74398 in the following applications:

Formulation, Preparation, and Storage

Purification

Unpurified

Formulation

Ascites

Preservative

0.05% Sodium Azide

Concentration

This product is unpurified. The exact concentration of antibody is not quantifiable.

Shipping

The product is shipped with polar packs. Upon receipt, store it immediately at the temperature recommended below.

Stability & Storage

Store at -20C. Avoid freeze-thaw cycles.

Background: Cytochrome P450 1A1/1A2

Cytochrome P450 oxidase (commonly abbreviated CYP) is a generic term for a large number of related, but distinct, oxidative enzymes important in vertebrate physiology. The cytochrome P450 mixed-function monooxygenase system is probably the most important element of Phase I metabolism in mammals. P450s are membrane-bound, either in the inner membrane of mitochondria or in the endoplasmic reticulum of cells where they metabolise thousands of endogenous and exogenous compounds. In the liver, these substrates include toxins, drugs, and other unneeded and potentially harmful molecules. Humans have 18 families of cytochrome P450 genes and 43 subfamilies; the CYP1 family is involved in drug metabolism and includes 3 subfamilies, 3 genes and 1 pseudogene.

Alternate Names

AHH, AHRR, aryl hydrocarbon hydroxylase, CP11, CYP1, CYPIA1, cytochrome P1-450, dioxin-inducible, cytochrome P450 1A1, Cytochrome P450 form 6, cytochrome P450, family 1, subfamily A, polypeptide 1, Cytochrome P450-C, Cytochrome P450-P1, EC 1.14.14.1, flavoprotein-linked monooxygenase, P1-450, P450-C, P450DX, subfamily I (aromatic compound-inducible), polypeptide 1, xenobiotic monooxygenase

Gene Symbol

CYP1A1

Additional Cytochrome P450 1A1/1A2 Products

Product Documents for Cytochrome P450 1A1/1A2 Antibody (MC1)

Certificate of Analysis

To download a Certificate of Analysis, please enter a lot number in the search box below.

Product Specific Notices for Cytochrome P450 1A1/1A2 Antibody (MC1)

This product is for research use only and is not approved for use in humans or in clinical diagnosis. Primary Antibodies are guaranteed for 1 year from date of receipt.

Loading...
Loading...
Loading...
Loading...