Skip to main content

Cytochrome b5 type A Antibody - BSA Free

Novus Biologicals, part of Bio-Techne | Catalog # NBP2-48877

Novus Biologicals, part of Bio-Techne
Catalog #
Availability
Size / Price
Qty
Loading...
NBP2-48877
NBP2-48877-25ul

Key Product Details

Validated by

Orthogonal Validation

Species Reactivity

Human

Applications

Immunocytochemistry/ Immunofluorescence, Immunohistochemistry, Immunohistochemistry-Paraffin

Label

Unconjugated

Antibody Source

Polyclonal Rabbit IgG

Format

BSA Free

Concentration

Concentrations vary lot to lot. See vial label for concentration. If unlisted please contact technical services.

Product Specifications

Immunogen

This antibody was developed against a recombinant protein corresponding to amino acids: HSTDAREMSKTFIIGELHPDDRPKLNKPPETLITTIDSSSS

Clonality

Polyclonal

Host

Rabbit

Isotype

IgG

Description

Novus Biologicals Rabbit Cytochrome b5 type A Antibody - BSA Free (NBP2-48877) is a polyclonal antibody validated for use in IHC and ICC/IF. All Novus Biologicals antibodies are covered by our 100% guarantee.

Scientific Data Images for Cytochrome b5 type A Antibody - BSA Free

Immunocytochemistry/ Immunofluorescence: Cytochrome b5 type A Antibody [NBP2-48877]

Immunocytochemistry/ Immunofluorescence: Cytochrome b5 type A Antibody [NBP2-48877]

Immunocytochemistry/Immunofluorescence: Cytochrome b5 type A Antibody [NBP2-48877] - Immunofluorescent staining of human cell line RT4 shows localization to cytosol & vesicles.
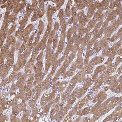
Immunohistochemistry-Paraffin: Cytochrome b5 type A Antibody [NBP2-48877]

Immunohistochemistry-Paraffin: Cytochrome b5 type A Antibody [NBP2-48877]

Immunohistochemistry-Paraffin: Cytochrome b5 type A Antibody [NBP2-48877] - Staining in human liver and skeletal muscle tissues using anti-CYB5A antibody. Corresponding CYB5A RNA-seq data are presented for the same tissues.
Immunohistochemistry-Paraffin: Cytochrome b5 type A Antibody [NBP2-48877]

Immunohistochemistry-Paraffin: Cytochrome b5 type A Antibody [NBP2-48877]

Immunohistochemistry-Paraffin: Cytochrome b5 type A Antibody [NBP2-48877] - Staining of human liver shows high expression.

Applications for Cytochrome b5 type A Antibody - BSA Free

Application
Recommended Usage

Immunocytochemistry/ Immunofluorescence

0.25-2 ug/ml

Immunohistochemistry

1:200 - 1:500

Immunohistochemistry-Paraffin

1:200 - 1:500
Application Notes
For IHC-Paraffin, HIER pH 6 retrieval is recommended. Immunocytochemistry/Immunofluorescence Fixation Permeabilization: Use PFA/Triton X-100.

Formulation, Preparation, and Storage

Purification

Immunogen affinity purified

Formulation

PBS (pH 7.2) and 40% Glycerol

Format

BSA Free

Preservative

0.02% Sodium Azide

Concentration

Concentrations vary lot to lot. See vial label for concentration. If unlisted please contact technical services.

Shipping

The product is shipped with polar packs. Upon receipt, store it immediately at the temperature recommended below.

Stability & Storage

Store at 4C short term. Aliquot and store at -20C long term. Avoid freeze-thaw cycles.

Background: Cytochrome b5 type A

Alternate Names

CYB5, cytochrome b-5, cytochrome b5 (microsomal), cytochrome b5 type A (microsomal), MCB5cytochrome b5, Microsomal cytochrome b5 type A, type 1 cyt-b5

Gene Symbol

CYB5A

Additional Cytochrome b5 type A Products

Product Documents for Cytochrome b5 type A Antibody - BSA Free

Certificate of Analysis

To download a Certificate of Analysis, please enter a lot number in the search box below.

Product Specific Notices for Cytochrome b5 type A Antibody - BSA Free

This product is for research use only and is not approved for use in humans or in clinical diagnosis. Primary Antibodies are guaranteed for 1 year from date of receipt.

Loading...
Loading...
Loading...
Loading...