Skip to main content

CYP26A1 Antibody - BSA Free

Novus Biologicals, part of Bio-Techne | Catalog # NBP2-16061

Novus Biologicals, part of Bio-Techne
Catalog #
Availability
Size / Price
Qty
Loading...
NBP2-16061

Key Product Details

Species Reactivity

Validated:

Human, Mouse

Cited:

Mouse

Predicted:

Bovine (96%), Porcine (97%), Rat (92%), Rhesus Macaque (100%). Backed by our 100% Guarantee.

Applications

Validated:

Immunohistochemistry, Immunohistochemistry-Paraffin, Western Blot

Cited:

Western Blot

Label

Unconjugated

Antibody Source

Polyclonal Rabbit IgG

Format

BSA Free

Concentration

Concentrations vary lot to lot. See vial label for concentration. If unlisted please contact technical services.

Product Specifications

Immunogen

Recombinant protein encompassing a sequence within the center region of human CYP26A1. The exact sequence is proprietary.

Reactivity Notes

Chicken (83%).

Localization

Endoplasmic reticulum membrane; Microsome membrane

Clonality

Polyclonal

Host

Rabbit

Isotype

IgG

Theoretical MW

56 kDa.
Disclaimer note: The observed molecular weight of the protein may vary from the listed predicted molecular weight due to post translational modifications, post translation cleavages, relative charges, and other experimental factors.

Description

Novus Biologicals Rabbit CYP26A1 Antibody - BSA Free (NBP2-16061) is a polyclonal antibody validated for use in IHC and WB. Anti-CYP26A1 Antibody: Cited in 1 publication. All Novus Biologicals antibodies are covered by our 100% guarantee.

Scientific Data Images for CYP26A1 Antibody - BSA Free

Western Blot: CYP26A1 Antibody [NBP2-16061]

Western Blot: CYP26A1 Antibody [NBP2-16061]

Western Blot: CYP26A1 Antibody [NBP2-16061] - Various whole cell extracts (30 ug) were separated by 10% SDS-PAGE, and the membrane was blotted with CYP26A1 antibody diluted at 1:1000. The HRP-conjugated anti-rabbit IgG antibody (NBP2-19301) was used to detect the primary antibody.
Western Blot: CYP26A1 Antibody [NBP2-16061]

Western Blot: CYP26A1 Antibody [NBP2-16061]

Western Blot: CYP26A1 Antibody [NBP2-16061] - Mouse tissue extract (50 ug) was separated by 10% SDS-PAGE, and the membrane was blotted with CYP26A1 antibody diluted at 1:1000. The HRP-conjugated anti-rabbit IgG antibody (NBP2-19301) was used to detect the primary antibody.
CYP26A1 Antibody

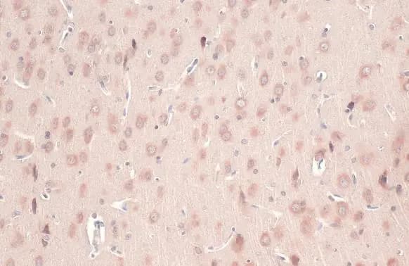
Immunohistochemistry-Paraffin: CYP26A1 Antibody [NBP2-16061] -

Immunohistochemistry-Paraffin: CYP26A1 Antibody [NBP2-16061] - CYP26A1 antibody detects CYP26A1 protein at cytoplasm by immunohistochemical analysis.
Sample: Paraffin-embedded mouse brain.
CYP26A1 stained by CYP26A1 antibody (NBP2-16061) diluted at 1:500.
Antigen Retrieval: Citrate buffer, pH 6.0, 15 min

Applications for CYP26A1 Antibody - BSA Free

Application
Recommended Usage

Immunohistochemistry

1:100-1:1000

Immunohistochemistry-Paraffin

1:100-1:1000

Western Blot

1:500-1:3000

Formulation, Preparation, and Storage

Purification

Antigen Affinity-purified

Formulation

PBS, 20% Glycerol

Format

BSA Free

Preservative

0.025% Proclin 300

Concentration

Concentrations vary lot to lot. See vial label for concentration. If unlisted please contact technical services.

Shipping

The product is shipped with polar packs. Upon receipt, store it immediately at the temperature recommended below.

Stability & Storage

Aliquot and store at -20C or -80C. Avoid freeze-thaw cycles.

Background: CYP26A1

This gene encodes a member of the cytochrome P450 superfamily of enzymes. The cytochrome P450 proteins are monooxygenases which catalyze many reactions involved in drug metabolism and synthesis of cholesterol, steroids and other lipids. This endoplasmic reticulum protein acts on retinoids, including all-trans-retinoic acid (RA), with both 4-hydroxylation and 18-hydroxylation activities. This enzyme regulates the cellular level of retinoic acid which is involved in regulation of gene expression in both embryonic and adult tissues. Two alternatively spliced transcript variants of this gene, which encode the distinct isoforms, have been reported. [provided by RefSeq]

Alternate Names

CP26, CYP26Retinoic acid 4-hydroxylase, cytochrome P450 26A1, Cytochrome P450 retinoic acid-inactivating 1, cytochrome P450, family 26, subfamily A, polypeptide 1, cytochrome P450, subfamily XXVIA, polypeptide 1, Cytochrome P450RAI, EC 1.14, hP450RAI, P450, retinoic acid-inactivating, 1, P450RAI, P450RAI1Retinoic acid-metabolizing cytochrome

Gene Symbol

CYP26A1

UniProt

Additional CYP26A1 Products

Product Documents for CYP26A1 Antibody - BSA Free

Certificate of Analysis

To download a Certificate of Analysis, please enter a lot number in the search box below.

Product Specific Notices for CYP26A1 Antibody - BSA Free

This product is for research use only and is not approved for use in humans or in clinical diagnosis. Primary Antibodies are guaranteed for 1 year from date of receipt.

Loading...
Loading...
Loading...
Loading...

⚠ WARNING: This product can expose you to chemicals including mercury, which is known to the State of California to cause reproductive toxicity with developmental effects.  For more information go to www.P65Warnings.ca.gov.