Skip to main content

CXCR1/IL-8RA Antibody - BSA Free

Novus Biologicals, part of Bio-Techne | Catalog # NBP2-16043

Novus Biologicals, part of Bio-Techne
Discontinued Product
NBP2-16043 has been discontinued. View all CXCR1/IL-8RA products.

Key Product Details

Species Reactivity

Validated:

Human, Mouse

Cited:

Mouse

Predicted:

Chimpanzee (100%). Backed by our 100% Guarantee.

Applications

Validated:

Immunohistochemistry, Immunohistochemistry-Paraffin, Immunohistochemistry-Frozen, Western Blot, Immunocytochemistry/ Immunofluorescence

Cited:

Western Blot, IF/IHC

Label

Unconjugated

Antibody Source

Polyclonal Rabbit IgG

Format

BSA Free

Concentration

Concentrations vary lot to lot. See vial label for concentration. If unlisted please contact technical services.

Product Specifications

Immunogen

Carrier-protein conjugated synthetic peptide encompassing a sequence within the C-terminus region of human CXCR1/IL-8RA. The exact sequence is proprietary.

Localization

Cell membrane

Clonality

Polyclonal

Host

Rabbit

Isotype

IgG

Theoretical MW

40 kDa.
Disclaimer note: The observed molecular weight of the protein may vary from the listed predicted molecular weight due to post translational modifications, post translation cleavages, relative charges, and other experimental factors.

Description

Novus Biologicals Rabbit CXCR1/IL-8RA Antibody - BSA Free (NBP2-16043) is a polyclonal antibody validated for use in IHC, WB and ICC/IF. Anti-CXCR1/IL-8RA Antibody: Cited in 4 publications. All Novus Biologicals antibodies are covered by our 100% guarantee.

Scientific Data Images for CXCR1/IL-8RA Antibody - BSA Free

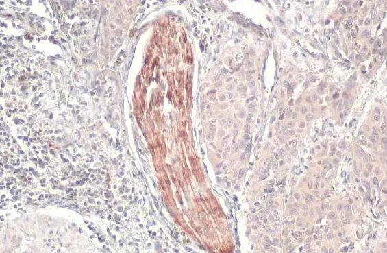
Immunohistochemistry-Paraffin: CXCR1/IL-8RA Antibody [NBP2-16043]

Immunohistochemistry-Paraffin: CXCR1/IL-8RA Antibody [NBP2-16043]

Immunohistochemistry-Paraffin: CXCR1/IL-8RA Antibody [NBP2-16043] - Human breast carcinoma. CXCR1 stained by CXCR1 antibody [C2C3], C-term diluted at 1:500. Antigen Retrieval: Citrate buffer, pH 6.0, 15 min.
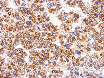
Immunohistochemistry-Paraffin: CXCR1/IL-8RA Antibody [NBP2-16043]

Immunohistochemistry-Paraffin: CXCR1/IL-8RA Antibody [NBP2-16043]

Immunohistochemistry-Paraffin: CXCR1/IL-8RA Antibody [NBP2-16043] - Human hepatoma. CXCR1 antibody [C2C3], C-term dilution: 1:500. Antigen Retrieval: Trilogy™ (EDTA based, pH 8.0) buffer, 15min.
CXCR1/IL-8RA Antibody

Immunohistochemistry-Paraffin: CXCR1/IL-8RA Antibody [NBP2-16043] -

Immunohistochemistry-Paraffin: CXCR1/IL-8RA Antibody [NBP2-16043] - Human esophageal carcinoma.CXCR1 stained by CXCR1 antibody [C2C3], C-term diluted at 1:500.Antigen Retrieval: Citrate buffer, pH 6.0, 15 min.

Applications for CXCR1/IL-8RA Antibody - BSA Free

Application
Recommended Usage

Immunocytochemistry/ Immunofluorescence

1:100-1:1000

Immunohistochemistry

1:100-1:1000

Immunohistochemistry-Frozen

Assay dependent

Immunohistochemistry-Paraffin

1:100-1:1000

Western Blot

Reported in (PMID: 29869715).

Reviewed Applications

Read 1 review rated 4 using NBP2-16043 in the following applications:

Formulation, Preparation, and Storage

Purification

Antigen Affinity-purified

Formulation

PBS (pH 7), 20% Glycerol

Format

BSA Free

Preservative

0.025% Proclin 300

Concentration

Concentrations vary lot to lot. See vial label for concentration. If unlisted please contact technical services.

Shipping

The product is shipped with polar packs. Upon receipt, store it immediately at the temperature recommended below.

Stability & Storage

Aliquot and store at -20C or -80C. Avoid freeze-thaw cycles.

Background: CXCR1/IL-8RA

The protein encoded by this gene is a member of the G-protein-coupled receptor family. This protein is a receptor for interleukin 8 (IL8). It binds to IL8 with high affinity, and transduces the signal through a G-protein activated second messenger system. Knockout studies in mice suggested that this protein inhibits embryonic oligodendrocyte precursor migration in developing spinal cord. This gene, IL8RB, a gene encoding another high affinity IL8 receptor, as well as IL8RBP, a pseudogene of IL8RB, form a gene cluster in a region mapped to chromosome 2q33-q36. [provided by RefSeq]

Long Name

Interleukin 8 Receptor A

Alternate Names

CD181, IL-8 RA, IL8RA

Gene Symbol

CXCR1

UniProt

Additional CXCR1/IL-8RA Products

Product Documents for CXCR1/IL-8RA Antibody - BSA Free

Certificate of Analysis

To download a Certificate of Analysis, please enter a lot number in the search box below.

Product Specific Notices for CXCR1/IL-8RA Antibody - BSA Free

This product is for research use only and is not approved for use in humans or in clinical diagnosis. Primary Antibodies are guaranteed for 1 year from date of receipt.

Loading...
Loading...
Loading...
Loading...

⚠ WARNING: This product can expose you to chemicals including mercury, which is known to the State of California to cause reproductive toxicity with developmental effects.  For more information go to www.P65Warnings.ca.gov.