Skip to main content

CUZD1 Antibody - BSA Free

Novus Biologicals, part of Bio-Techne | Catalog # NBP2-49561

Novus Biologicals, part of Bio-Techne
Catalog #
Availability
Size / Price
Qty
Loading...
NBP2-49561
NBP2-49561-25ul

Key Product Details

Validated by

Orthogonal Validation, Independent Antibodies

Species Reactivity

Human

Applications

Immunohistochemistry, Immunohistochemistry-Paraffin

Label

Unconjugated

Antibody Source

Polyclonal Rabbit IgG

Format

BSA Free

Concentration

Concentrations vary lot to lot. See vial label for concentration. If unlisted please contact technical services.

Product Specifications

Immunogen

This antibody was developed against a recombinant protein corresponding to amino acids: CKVLICDSSDHQSRCNQGCVSRSKRDISSYKWKTDSIIGPIRLKRDRSASGNSGFQHETHAEETPNQP

Clonality

Polyclonal

Host

Rabbit

Isotype

IgG

Description

Novus Biologicals Rabbit CUZD1 Antibody - BSA Free (NBP2-49561) is a polyclonal antibody validated for use in IHC. All Novus Biologicals antibodies are covered by our 100% guarantee.

Scientific Data Images for CUZD1 Antibody - BSA Free

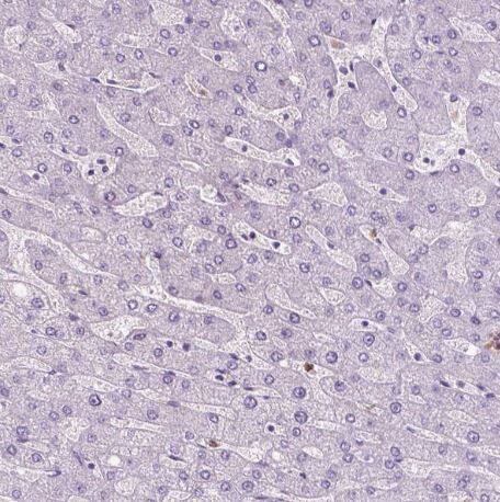
Analysis in human pancreas and liver tissues using NBP2-49561 antibody. Corresponding CUZD1 RNA-seq data are presented for the same tissues.

Analysis in human pancreas and liver tissues using NBP2-49561 antibody. Corresponding CUZD1 RNA-seq data are presented for the same tissues.
Immunohistochemistry-Paraffin: CUZD1 Antibody [NBP2-49561]

Immunohistochemistry-Paraffin: CUZD1 Antibody [NBP2-49561]

Immunohistochemistry-Paraffin: CUZD1 Antibody [NBP2-49561] - Staining of human cerebral cortex, lymph node, pancreas and testis using Anti-CUZD1 antibody NBP2-49561 (A) shows similar protein distribution across tissues to independent antibody NBP2-49558 (B).

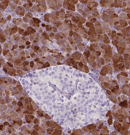
Staining of human pancreas shows strong membranous and cytoplasmic positivity in exocrine glandular cells.

Staining of human pancreas shows strong membranous and cytoplasmic positivity in exocrine glandular cells.

Applications for CUZD1 Antibody - BSA Free

Application
Recommended Usage

Immunohistochemistry

1:500 - 1:1000

Immunohistochemistry-Paraffin

1:500 - 1:1000
Application Notes
For IHC-Paraffin, HIER pH 6 retrieval is recommended.

Formulation, Preparation, and Storage

Purification

Immunogen affinity purified

Formulation

PBS (pH 7.2) and 40% Glycerol

Format

BSA Free

Preservative

0.02% Sodium Azide

Concentration

Concentrations vary lot to lot. See vial label for concentration. If unlisted please contact technical services.

Shipping

The product is shipped with polar packs. Upon receipt, store it immediately at the temperature recommended below.

Stability & Storage

Store at 4C short term. Aliquot and store at -20C long term. Avoid freeze-thaw cycles.

Background: CUZD1

CUZD1, also known as CUB and zona pellucida-like domain-containing protein 1, contains a 68 kDa, 37 kDa, and 27 kDa isoform, and is involved in preventing the attachment and proliferation of ovarian cancer cells, and may also affect the uterus during the final stages of pregnancy. Researchers are currently conducting experiments to determine the relationship between CUZD1 and diseases such as ovarian cancer and pancreatitis. The protein interacts with PTPN6, and is linked to cell migration, cell proliferation, and the hormone-mediated signaling pathway.

Alternate Names

CUB and zona pellucida-like domain-containing protein 1, CUB and zona pellucida-like domains 1, CUB and ZP domain-containing protein 1, ERG-1, estrogen regulated gene 1, Transmembrane protein UO-44, UO-44

Gene Symbol

CUZD1

Additional CUZD1 Products

Product Documents for CUZD1 Antibody - BSA Free

Certificate of Analysis

To download a Certificate of Analysis, please enter a lot number in the search box below.

Product Specific Notices for CUZD1 Antibody - BSA Free

This product is for research use only and is not approved for use in humans or in clinical diagnosis. Primary Antibodies are guaranteed for 1 year from date of receipt.

Loading...
Loading...
Loading...
Loading...