Skip to main content

CTGF/CCN2 Antibody - BSA Free

Novus Biologicals, part of Bio-Techne | Catalog # NB100-724

Novus Biologicals, part of Bio-Techne

Key Product Details

Species Reactivity

Validated:

Human, Mouse, Rat

Cited:

Human, Mouse, Rat

Predicted:

Bovine (100%), Chicken (100%), Porcine (100%), Sheep (100%). Backed by our 100% Guarantee.

Applications

Validated:

Immunohistochemistry, Immunohistochemistry-Paraffin, Western Blot, Immunocytochemistry/ Immunofluorescence

Cited:

Immunohistochemistry, Western Blot, Immunocytochemistry/ Immunofluorescence, RNA immunoprecipitation, IF/IHC

Label

Unconjugated

Antibody Source

Polyclonal Rabbit IgG

Format

BSA Free

Concentration

1.0 mg/ml

Product Specifications

Immunogen

A synthetic peptide made to a C-terminal portion of human CTGF (between residues 299-349). [UniProt# P29279]

Localization

Extracellular matrix and as a soluble form.

Clonality

Polyclonal

Host

Rabbit

Isotype

IgG

Theoretical MW

38 kDa.
Disclaimer note: The observed molecular weight of the protein may vary from the listed predicted molecular weight due to post translational modifications, post translation cleavages, relative charges, and other experimental factors.

Description

Novus Biologicals Rabbit CTGF/CCN2 Antibody - BSA Free (NB100-724) is a polyclonal antibody validated for use in IHC, WB and ICC/IF. Anti-CTGF/CCN2 Antibody: Cited in 12 publications. All Novus Biologicals antibodies are covered by our 100% guarantee.

Scientific Data Images for CTGF/CCN2 Antibody - BSA Free

Immunocytochemistry/ Immunofluorescence: CTGF/CCN2 Antibody [NB100-724]

Immunocytochemistry/ Immunofluorescence: CTGF/CCN2 Antibody [NB100-724]

Immunocytochemistry/Immunofluorescence: CTGF/CCN2 Antibody [NB100-724] - CTGF antibody was tested in U2OS cells with Dylight 488 (green). Nuclei and alpha-tubulin were counterstained with DAPI (blue) and Dylight 550 (red).
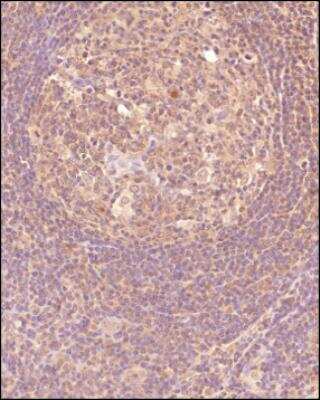
Immunohistochemistry-Paraffin: CTGF/CCN2 Antibody [NB100-724]

Immunohistochemistry-Paraffin: CTGF/CCN2 Antibody [NB100-724]

Immunohistochemistry-Paraffin: CTGF/CCN2 Antibody [NB100-724] - Analysis of a FFPE tissue section of human lymph node using 1:200 dilution of CTGF/CCN2 antibody (NB100-724). The staining was developed using HRP labeled anti-rabbit secondary antibody and DAB reagent, and nuclei of cells were counter-stained with hematoxylin.
CTGF/CCN2 Antibody

Immunocytochemistry/ Immunofluorescence: CTGF/CCN2 Antibody [NB100-724] -

Immunocytochemistry/ Immunofluorescence: CTGF/CCN2 Antibody [NB100-724] - Analysis of astrocyte reactivity, the cytoskeleton & migration rate following treatment with TGF-beta 2 & CCN2/CTGF. (A) GFAP immunoreactivity (green) is increased in murine ON astrocytes following TGF-beta 2 & CCN2/CTGF treatment. Nuclei are stained with Dapi (blue) (B) Western Blot experiments analyses of alpha-actinin protein synthesis in murine ON astrocytes after the treatment with 1 ng/ml TGF-beta 2, 50 ng/ml CCN2/CTGF & 100 ng/ml CCN2/CTGF for 24 h. Densitometric analyses of Western Blot analyses shows the significant increase in alpha-actinin protein synthesis. Mean value of untreated cells (control) was set at 1. GAPDH was used to normalize protein intensity (n = 4; 50 ng CCN2/CTGF: *p = 0.029; 100 ng CCN2/CTGF: *p = 0.015; unpaired two-tailed t-test). (C) Scratch assay analyses show a significant increased migration rate for murine ON astrocytes after the treatment with ng/ml TGF-beta 2, 50 ng/ml CCN2/CTGF & 100 ng/ml CCN2/CTGF for 12 h. Mean value of migration rate of control cells was set to 100% (control: n = 15; TGF-beta 2: n = 12, **p = 0.008; 50 ng/ml CCN2/CTGF: n = 10, *p = 0.001; 100 ng/ml CCN2/CTGF: n = 4, **p = 0.0001). Data represented as mean ± SD. Image collected & cropped by CiteAb from the following publication (https://pubmed.ncbi.nlm.nih.gov/35493079), licensed under a CC-BY license. Not internally tested by Novus Biologicals.

Applications for CTGF/CCN2 Antibody - BSA Free

Application
Recommended Usage

Immunocytochemistry/ Immunofluorescence

1:50 - 1:100

Immunohistochemistry

1:200

Immunohistochemistry-Paraffin

reported in scientific literature (PMID 28562206)

Western Blot

1:1000 - 1:2000
Application Notes
In Western blot a band is observed at ~38 kDa. The observed molecular weight of the protein may vary from the listed predicted molecular weight due to post translational modifications, post translation cleavages, relative charges, and other experimental factors.

Formulation, Preparation, and Storage

Purification

Immunogen affinity purified

Formulation

PBS

Format

BSA Free

Preservative

0.02% Sodium Azide

Concentration

1.0 mg/ml

Shipping

The product is shipped with polar packs. Upon receipt, store it immediately at the temperature recommended below.

Stability & Storage

Aliquot and store at -20C or -80C. Avoid freeze-thaw cycles.

Background: CTGF/CCN2

CTGF (connective tissue growth factor) is a cysteine rich extracellular matrix (ECM) protein that belongs to CCN family with other members namely cysteine-rich 61 (CYR61/CCN1), connective tIssue growth factor (CTGF/CCN2), nephroblastoma overexpressed (NOV/CCN3), and Wnt-induced secreted proteins-1 (WISP-1/CCN4), -2 (WISP-2/CCN5) and -3 (WISP-3/CCN6). CTGF is a major connective tissue mitoattractant secreted by vascular endothelial cells and is also expressed by cells from bone marrow, thymus, and Wilms tumors. CTGF expression is induced by BMP-2, TGF-beta1, glucocorticoids, retinoids, taurine, endothelin, cortisol in different cell types, however, TGF-beta1 has been suggested to be the most potent CTGF inducer regardless of cell type. CTGF has been shown to regulate a diverse array of cellular functions including proliferation, migration, adhesion, survival, differentiation and synthesis of ECM proteins in different type of cells. CTGF has also been involved in angiogenesis, chondrogenesis, osteogenesis, wound healing, fibrosis and carcinogenesis.

Long Name

Connective Tissue Growth Factor

Alternate Names

CCN2, CTGRP, Fisp12, HCS24, IGFBP-8, NOV2

Entrez Gene IDs

1490 (Human); 14219 (Mouse)

Gene Symbol

CCN2

UniProt

Additional CTGF/CCN2 Products

Product Documents for CTGF/CCN2 Antibody - BSA Free

Certificate of Analysis

To download a Certificate of Analysis, please enter a lot number in the search box below.

Product Specific Notices for CTGF/CCN2 Antibody - BSA Free

This product is for research use only and is not approved for use in humans or in clinical diagnosis. Primary Antibodies are guaranteed for 1 year from date of receipt.

Loading...
Loading...
Loading...
Loading...
Loading...