Skip to main content

CrkRS Antibody - BSA Free

Novus Biologicals, part of Bio-Techne | Catalog # NBP3-35482

Novus Biologicals, part of Bio-Techne
Catalog #
Availability
Size / Price
Qty
Loading...
NBP3-35482-100ul
NBP3-35482-20ul

Key Product Details

Species Reactivity

Human, Mouse, Rat

Applications

ELISA, Immunohistochemistry, Immunohistochemistry-Paraffin, Western Blot

Label

Unconjugated

Antibody Source

Polyclonal Rabbit IgG

Format

BSA Free

Concentration

Please see the vial label for concentration. If unlisted please contact technical services.

Product Specifications

Immunogen

Recombinant fusion protein containing a sequence corresponding to amino acids 1-300 of human CrkRS (NP_057591.2).

Sequence:
MPNSERHGGKKDGSGGASGTLQPSSGGGSSNSRERHRLVSKHKRHKSKHSKDMGLVTPEAASLGTVIKPLVEYDDISSDSDTFSDDMAFKLDRRENDERRGSDRSDRLHKHRHHQHRRSRDLLKAKQTEKEKSQEVSSKSGSMKDRISGSSKRSNEETDDYGKAQVAKSSSKESRSSKLHKEKTRKERELKSGHKDRSKSHRKRETPKSYKTVDSPKRRSRSPHRKWSDSSKQDDSPSGASYGQDYDLSPSRSHTSSNYDSYKKSPGSTSRRQSVSPPYKEPSAYQSSTRSPSPYSRRQR

Clonality

Polyclonal

Host

Rabbit

Isotype

IgG

Theoretical MW

164 kDa.
Disclaimer note: The observed molecular weight of the protein may vary from the listed predicted molecular weight due to post translational modifications, post translation cleavages, relative charges, and other experimental factors.

Description

Novus Biologicals Rabbit CrkRS Antibody - BSA Free (NBP3-35482) is a polyclonal antibody validated for use in IHC, WB and ELISA. All Novus Biologicals antibodies are covered by our 100% guarantee.

Scientific Data Images for CrkRS Antibody - BSA Free

CrkRS Antibody

Western Blot: CrkRS Antibody [NBP3-35482] -

Western Blot: CrkRS Antibody [NBP3-35482] - Western blot analysis of lysates from LNCaP cells, using CrkRS Rabbit pAb at 1:1000 dilution.
Secondary antibody: HRP-conjugated Goat anti-Rabbit IgG (H+L) at 1:10000 dilution.
Lysates/proteins: 25ug per lane.
Blocking buffer: 3% nonfat dry milk in TBST.
Detection: ECL Basic Kit.
Exposure time: 90s.
CrkRS Antibody

Western Blot: CrkRS Antibody [NBP3-35482] -

Western Blot: CrkRS Antibody [NBP3-35482] - Western blot analysis of lysates from Mouse brain, using CrkRS Rabbit pAb at 1:1000 dilution.
Secondary antibody: HRP-conjugated Goat anti-Rabbit IgG (H+L) at 1:10000 dilution.
Lysates/proteins: 25ug per lane.
Blocking buffer: 3% nonfat dry milk in TBST.
Detection: ECL Basic Kit.
Exposure time: 90s.
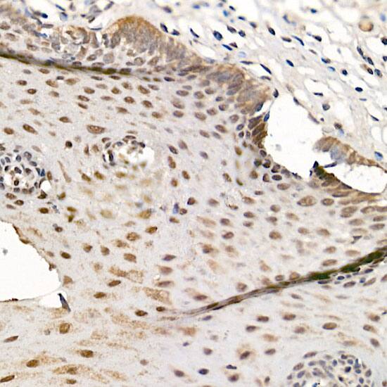
CrkRS Antibody

Immunohistochemistry: CrkRS Antibody [NBP3-35482] -

Immunohistochemistry: CrkRS Antibody [NBP3-35482] - Immunohistochemistry analysis of paraffin-embedded Human esophagus using CrkRS Rabbit pAb at dilution of 1:500 (40x lens). High pressure antigen retrieval performed with 0.01M Citrate Bufferr (pH 6.0) prior to IHC staining.

Applications for CrkRS Antibody - BSA Free

Application
Recommended Usage

Immunohistochemistry-Paraffin

1:100 - 1:500

Western Blot

1:500 - 1:1000

Formulation, Preparation, and Storage

Purification

Affinity purified

Formulation

PBS (pH 7.3), 50% glycerol

Format

BSA Free

Preservative

0.05% Proclin 300

Concentration

Please see the vial label for concentration. If unlisted please contact technical services.

Shipping

The product is shipped with polar packs. Upon receipt, store it immediately at the temperature recommended below.

Stability & Storage

Store at -20C. Avoid freeze-thaw cycles.

Background: CrkRS

Alternate Names

Cdc2-related kinase, arginine/serine-richCrkRS, Cell division cycle 2-related protein kinase 7, Cell division protein kinase 12, CRK7CDC2-related protein kinase 7, CRKR, CRKRS, cyclin-dependent kinase 12, EC 2.7.11, EC 2.7.11.23, hCDK12, KIAA0904EC 2.7.11.22

Gene Symbol

CDK12

Additional CrkRS Products

Product Documents for CrkRS Antibody - BSA Free

Certificate of Analysis

To download a Certificate of Analysis, please enter a lot number in the search box below.

Product Specific Notices for CrkRS Antibody - BSA Free

This product is for research use only and is not approved for use in humans or in clinical diagnosis. Primary Antibodies are guaranteed for 1 year from date of receipt.

Loading...
Loading...
Loading...
Loading...