Skip to main content

CPNE1 Antibody - BSA Free

Novus Biologicals, part of Bio-Techne | Catalog # NBP2-54980

Novus Biologicals, part of Bio-Techne
Catalog #
Availability
Size / Price
Qty
Loading...
NBP2-54980

Key Product Details

Validated by

Orthogonal Validation

Species Reactivity

Human

Applications

Immunocytochemistry/ Immunofluorescence, Western Blot

Label

Unconjugated

Antibody Source

Polyclonal Rabbit IgG

Format

BSA Free

Concentration

Concentrations vary lot to lot. See vial label for concentration. If unlisted please contact technical services.

Product Specifications

Immunogen

This antibody was developed against a recombinant protein corresponding to the following amino acid sequence: KNNLNPTWKRFSVPVQHFCGGNPSTPIQVQCSDYDSDGS

Reactivity Notes

Mouse 87%, Rat 85%

Clonality

Polyclonal

Host

Rabbit

Isotype

IgG

Description

Novus Biologicals Rabbit CPNE1 Antibody - BSA Free (NBP2-54980) is a polyclonal antibody validated for use in WB and ICC/IF. All Novus Biologicals antibodies are covered by our 100% guarantee.

Scientific Data Images for CPNE1 Antibody - BSA Free

Western Blot: CPNE1 Antibody [NBP2-54980]

Western Blot: CPNE1 Antibody [NBP2-54980]

Western Blot: CPNE1 Antibody [NBP2-54980] - Western blot analysis in human cell line RT-4, human cell line U-251 MG, human plasma, human liver tissue and human tonsil tissue.
Immunocytochemistry/ Immunofluorescence: CPNE1 Antibody [NBP2-54980]

Immunocytochemistry/ Immunofluorescence: CPNE1 Antibody [NBP2-54980]

Immunocytochemistry/Immunofluorescence: CPNE1 Antibody [NBP2-54980] - Staining of human cell line CACO-2 shows localization to nucleoplasm & nuclear membrane.
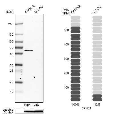
Western Blot: CPNE1 Antibody [NBP2-54980]

Western Blot: CPNE1 Antibody [NBP2-54980]

Western Blot: CPNE1 Antibody [NBP2-54980] - Analysis in human cell lines Caco-2 and U2OS. Corresponding RNA-seq data are presented for the same cell lines. Loading control: Anti-PFN1.

Applications for CPNE1 Antibody - BSA Free

Application
Recommended Usage

Immunocytochemistry/ Immunofluorescence

0.25-2 ug/ml

Western Blot

0.04-0.4 ug/ml
Application Notes
Immunocytochemistry/Immunofluorescence Fixation Permeabilization: Use PFA/Triton X-100.

Formulation, Preparation, and Storage

Purification

Affinity purified

Formulation

PBS (pH 7.2) and 40% Glycerol

Format

BSA Free

Preservative

0.02% Sodium Azide

Concentration

Concentrations vary lot to lot. See vial label for concentration. If unlisted please contact technical services.

Shipping

The product is shipped with polar packs. Upon receipt, store it immediately at the temperature recommended below.

Stability & Storage

Store at 4C short term. Aliquot and store at -20C long term. Avoid freeze-thaw cycles.

Background: CPNE1

Calcium-dependent membrane-binding proteins may regulate molecular events at the interface of the cell membrane and cytoplasm. This gene encodes a calcium-dependent protein that also contains two N-terminal type II C2 domains and an integrin A domain-like sequence in the C-terminus. However, the encoded protein does not contain a predicted signal sequence or transmembrane domains. This protein has a broad tissue distribution and it may function in membrane trafficking. This gene and the gene for RNA binding motif protein 12 overlap at map location 20q11.21. Sequence analysis identified multiple alternatively spliced variants in the 5' UTR. All variants encode the same protein.

Alternate Names

copine ICPN1COPN1, copine-1, MGC1142

Gene Symbol

CPNE1

Additional CPNE1 Products

Product Documents for CPNE1 Antibody - BSA Free

Certificate of Analysis

To download a Certificate of Analysis, please enter a lot number in the search box below.

Product Specific Notices for CPNE1 Antibody - BSA Free

This product is for research use only and is not approved for use in humans or in clinical diagnosis. Primary Antibodies are guaranteed for 1 year from date of receipt.

Loading...
Loading...
Loading...
Loading...